老年患者坏死性阿米巴结肠炎:意外的尸检发现。

Q4 Medicine
Autopsy and Case Reports Pub Date : 2023-11-27 eCollection Date: 2023-01-01 DOI:10.4322/acr.2023.456
Maria Aparecida Marchesan Rodrigues, Bruno Miamoto, Rosa Marlene Viero
{"title":"老年患者坏死性阿米巴结肠炎:意外的尸检发现。","authors":"Maria Aparecida Marchesan Rodrigues, Bruno Miamoto, Rosa Marlene Viero","doi":"10.4322/acr.2023.456","DOIUrl":null,"url":null,"abstract":"<p><p>Necrotizing amebic colitis is an uncommon amebiasis complication associated with high mortality. We present a case of necrotizing amebic colitis in an old patient whose diagnosis was revealed at postmortem examination. An 81-year-old man died at home without medical attention. The postmortem examination revealed ulcers involving the entire colon and intestinal perforation. The ulcers were large, geographic, and necrotizing, extending from the cecum to the rectum. The histological examination disclosed the infectious etiology by showing amebic trophozoites at the base of the ulcers. No extra-intestinal lesions were found. No information about previous episodes of dysentery or travel could be obtained. The potential role of aging or drug-causing immunosuppression and the evolution of chronic and latent intestinal infection to a severe and invasive form of amebiasis is discussed. This case reinforces the value of postmortem examination for diagnosing diseases not clinically identified.</p>","PeriodicalId":53117,"journal":{"name":"Autopsy and Case Reports","volume":"13 ","pages":"e2023456"},"PeriodicalIF":0.0000,"publicationDate":"2023-11-27","publicationTypes":"Journal Article","fieldsOfStudy":null,"isOpenAccess":false,"openAccessPdf":"https://www.ncbi.nlm.nih.gov/pmc/articles/PMC10687792/pdf/","citationCount":"0","resultStr":"{\"title\":\"Necrotizing amebic colitis in an elder patient: an unexpected autopsy finding.\",\"authors\":\"Maria Aparecida Marchesan Rodrigues, Bruno Miamoto, Rosa Marlene Viero\",\"doi\":\"10.4322/acr.2023.456\",\"DOIUrl\":null,\"url\":null,\"abstract\":\"<p><p>Necrotizing amebic colitis is an uncommon amebiasis complication associated with high mortality. We present a case of necrotizing amebic colitis in an old patient whose diagnosis was revealed at postmortem examination. An 81-year-old man died at home without medical attention. The postmortem examination revealed ulcers involving the entire colon and intestinal perforation. The ulcers were large, geographic, and necrotizing, extending from the cecum to the rectum. The histological examination disclosed the infectious etiology by showing amebic trophozoites at the base of the ulcers. No extra-intestinal lesions were found. No information about previous episodes of dysentery or travel could be obtained. The potential role of aging or drug-causing immunosuppression and the evolution of chronic and latent intestinal infection to a severe and invasive form of amebiasis is discussed. This case reinforces the value of postmortem examination for diagnosing diseases not clinically identified.</p>\",\"PeriodicalId\":53117,\"journal\":{\"name\":\"Autopsy and Case Reports\",\"volume\":\"13 \",\"pages\":\"e2023456\"},\"PeriodicalIF\":0.0000,\"publicationDate\":\"2023-11-27\",\"publicationTypes\":\"Journal Article\",\"fieldsOfStudy\":null,\"isOpenAccess\":false,\"openAccessPdf\":\"https://www.ncbi.nlm.nih.gov/pmc/articles/PMC10687792/pdf/\",\"citationCount\":\"0\",\"resultStr\":null,\"platform\":\"Semanticscholar\",\"paperid\":null,\"PeriodicalName\":\"Autopsy and Case Reports\",\"FirstCategoryId\":\"1085\",\"ListUrlMain\":\"https://doi.org/10.4322/acr.2023.456\",\"RegionNum\":0,\"RegionCategory\":null,\"ArticlePicture\":[],\"TitleCN\":null,\"AbstractTextCN\":null,\"PMCID\":null,\"EPubDate\":\"2023/1/1 0:00:00\",\"PubModel\":\"eCollection\",\"JCR\":\"Q4\",\"JCRName\":\"Medicine\",\"Score\":null,\"Total\":0}","platform":"Semanticscholar","paperid":null,"PeriodicalName":"Autopsy and Case Reports","FirstCategoryId":"1085","ListUrlMain":"https://doi.org/10.4322/acr.2023.456","RegionNum":0,"RegionCategory":null,"ArticlePicture":[],"TitleCN":null,"AbstractTextCN":null,"PMCID":null,"EPubDate":"2023/1/1 0:00:00","PubModel":"eCollection","JCR":"Q4","JCRName":"Medicine","Score":null,"Total":0}
引用次数: 0

摘要

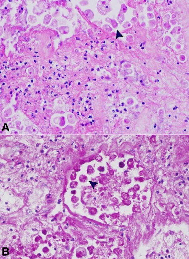
坏死性阿米巴结肠炎是一种罕见的阿米巴病并发症,死亡率高。我们提出一个坏死性阿米巴结肠炎的病例在一个老病人的诊断是在尸检中发现的。一名81岁的男子在没有得到治疗的情况下在家中死亡。尸检发现溃疡累及整个结肠和肠道穿孔。溃疡很大,有地域性,坏死性,从盲肠延伸到直肠。组织学检查显示溃疡底部有阿米巴滋养体,表明感染病因。未见肠外病变。没有关于既往痢疾发作或旅行的信息。讨论了衰老或药物引起的免疫抑制的潜在作用以及慢性和潜伏性肠道感染向严重和侵袭性阿米巴病的演变。本病例强化了尸检对诊断临床未发现疾病的价值。
本文章由计算机程序翻译,如有差异,请以英文原文为准。

Necrotizing amebic colitis in an elder patient: an unexpected autopsy finding.

Necrotizing amebic colitis in an elder patient: an unexpected autopsy finding.

Necrotizing amebic colitis in an elder patient: an unexpected autopsy finding.

Necrotizing amebic colitis is an uncommon amebiasis complication associated with high mortality. We present a case of necrotizing amebic colitis in an old patient whose diagnosis was revealed at postmortem examination. An 81-year-old man died at home without medical attention. The postmortem examination revealed ulcers involving the entire colon and intestinal perforation. The ulcers were large, geographic, and necrotizing, extending from the cecum to the rectum. The histological examination disclosed the infectious etiology by showing amebic trophozoites at the base of the ulcers. No extra-intestinal lesions were found. No information about previous episodes of dysentery or travel could be obtained. The potential role of aging or drug-causing immunosuppression and the evolution of chronic and latent intestinal infection to a severe and invasive form of amebiasis is discussed. This case reinforces the value of postmortem examination for diagnosing diseases not clinically identified.

求助全文
通过发布文献求助,成功后即可免费获取论文全文。 去求助
来源期刊
Autopsy and Case Reports
Autopsy and Case Reports Medicine-Internal Medicine
CiteScore
1.20
自引率
0.00%
发文量
60
审稿时长
9 weeks
×
引用
GB/T 7714-2015
复制
MLA
复制
APA
复制
导出至
BibTeX EndNote RefMan NoteFirst NoteExpress
×
提示
您的信息不完整,为了账户安全,请先补充。
现在去补充
×
提示
您因"违规操作"
具体请查看互助需知
我知道了
×
提示
确定
请完成安全验证×
copy
已复制链接
快去分享给好友吧!
我知道了
右上角分享
点击右上角分享
0
联系我们:info@booksci.cn Book学术提供免费学术资源搜索服务,方便国内外学者检索中英文文献。致力于提供最便捷和优质的服务体验。 Copyright © 2023 布克学术 All rights reserved.
京ICP备2023020795号-1
ghs 京公网安备 11010802042870号
Book学术文献互助
Book学术文献互助群
群 号:604180095
Book学术官方微信