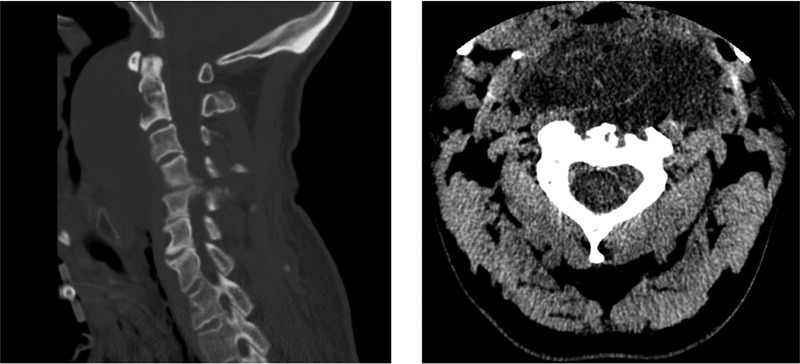
C2脊索瘤多灶异位复发。

IF 0.7 Q4 CLINICAL NEUROLOGY
Journal of Neurological Surgery Reports Pub Date : 2023-11-24 eCollection Date: 2023-10-01 DOI:10.1055/s-0043-1777073
Maikerly Reyes, Allison Kayne, Sarah Collopy, Giyarpuram Prashant, Patrick Kelly, James J Evans
{"title":"C2脊索瘤多灶异位复发。","authors":"Maikerly Reyes, Allison Kayne, Sarah Collopy, Giyarpuram Prashant, Patrick Kelly, James J Evans","doi":"10.1055/s-0043-1777073","DOIUrl":null,"url":null,"abstract":"<p><p><b>Background</b>  Chordomas are histologically benign but locally aggressive tumors with a high propensity to recur. Our case highlights the importance of long-term vigilance in patients who have undergone chordoma resection. <b>Case Report</b>  We report the case of a 47-year-old man with a cervical chordoma who developed multiple musculoskeletal ectopic recurrences in the left supraclavicular region, the proximal right bicep, and the left submandibular region without recurrence in the primary tumor site. Primary tumor resection was achieved via a combination of surgery, adjuvant radiation therapy, and imatinib. All recurrences were successfully resected and confirmed via pathology to be ectopic chordoma. <b>Discussion</b>  Ectopic recurrence of cervical chordoma is rare and lung is the most common site of distant spread. Chordoma recurrence in skeletal muscle is particularly rare, with only 10 cases described in the literature. A plausible mechanism of distant metastatic disease in chordoma patients suggests that tumor cells escape the surgical tract via a combination of cytokine release, vasodilation, and microtrauma induced during resection. <b>Conclusion</b>  Cervical chordoma with ectopic recurrence in skeletal muscle has not been previously described in the literature. Skull base surgeons should be aware of the phenomenon of chordoma ectopic recurrence in the absence of local recurrence.</p>","PeriodicalId":44256,"journal":{"name":"Journal of Neurological Surgery Reports","volume":"84 4","pages":"e146-e155"},"PeriodicalIF":0.7000,"publicationDate":"2023-11-24","publicationTypes":"Journal Article","fieldsOfStudy":null,"isOpenAccess":false,"openAccessPdf":"https://www.ncbi.nlm.nih.gov/pmc/articles/PMC10673705/pdf/","citationCount":"0","resultStr":"{\"title\":\"Multifocal Ectopic Recurrence of a C2 Chordoma.\",\"authors\":\"Maikerly Reyes, Allison Kayne, Sarah Collopy, Giyarpuram Prashant, Patrick Kelly, James J Evans\",\"doi\":\"10.1055/s-0043-1777073\",\"DOIUrl\":null,\"url\":null,\"abstract\":\"<p><p><b>Background</b>  Chordomas are histologically benign but locally aggressive tumors with a high propensity to recur. Our case highlights the importance of long-term vigilance in patients who have undergone chordoma resection. <b>Case Report</b>  We report the case of a 47-year-old man with a cervical chordoma who developed multiple musculoskeletal ectopic recurrences in the left supraclavicular region, the proximal right bicep, and the left submandibular region without recurrence in the primary tumor site. Primary tumor resection was achieved via a combination of surgery, adjuvant radiation therapy, and imatinib. All recurrences were successfully resected and confirmed via pathology to be ectopic chordoma. <b>Discussion</b>  Ectopic recurrence of cervical chordoma is rare and lung is the most common site of distant spread. Chordoma recurrence in skeletal muscle is particularly rare, with only 10 cases described in the literature. A plausible mechanism of distant metastatic disease in chordoma patients suggests that tumor cells escape the surgical tract via a combination of cytokine release, vasodilation, and microtrauma induced during resection. <b>Conclusion</b>  Cervical chordoma with ectopic recurrence in skeletal muscle has not been previously described in the literature. Skull base surgeons should be aware of the phenomenon of chordoma ectopic recurrence in the absence of local recurrence.</p>\",\"PeriodicalId\":44256,\"journal\":{\"name\":\"Journal of Neurological Surgery Reports\",\"volume\":\"84 4\",\"pages\":\"e146-e155\"},\"PeriodicalIF\":0.7000,\"publicationDate\":\"2023-11-24\",\"publicationTypes\":\"Journal Article\",\"fieldsOfStudy\":null,\"isOpenAccess\":false,\"openAccessPdf\":\"https://www.ncbi.nlm.nih.gov/pmc/articles/PMC10673705/pdf/\",\"citationCount\":\"0\",\"resultStr\":null,\"platform\":\"Semanticscholar\",\"paperid\":null,\"PeriodicalName\":\"Journal of Neurological Surgery Reports\",\"FirstCategoryId\":\"1085\",\"ListUrlMain\":\"https://doi.org/10.1055/s-0043-1777073\",\"RegionNum\":0,\"RegionCategory\":null,\"ArticlePicture\":[],\"TitleCN\":null,\"AbstractTextCN\":null,\"PMCID\":null,\"EPubDate\":\"2023/10/1 0:00:00\",\"PubModel\":\"eCollection\",\"JCR\":\"Q4\",\"JCRName\":\"CLINICAL NEUROLOGY\",\"Score\":null,\"Total\":0}","platform":"Semanticscholar","paperid":null,"PeriodicalName":"Journal of Neurological Surgery Reports","FirstCategoryId":"1085","ListUrlMain":"https://doi.org/10.1055/s-0043-1777073","RegionNum":0,"RegionCategory":null,"ArticlePicture":[],"TitleCN":null,"AbstractTextCN":null,"PMCID":null,"EPubDate":"2023/10/1 0:00:00","PubModel":"eCollection","JCR":"Q4","JCRName":"CLINICAL NEUROLOGY","Score":null,"Total":0}
引用次数: 0

摘要

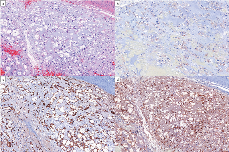
背景:脊索瘤是组织学上良性但局部侵袭性的肿瘤,易复发。我们的病例强调了在接受脊索瘤切除术的患者中长期警惕的重要性。病例报告我们报告一例47岁男性颈脊索瘤患者,在左侧锁骨上区、右侧二头肌近端和左侧下颌下区发生多发性肌肉骨骼异位复发,原发肿瘤部位无复发。原发性肿瘤切除是通过手术、辅助放射治疗和伊马替尼的联合治疗实现的。所有复发均成功切除,病理证实为异位脊索瘤。宫颈脊索瘤异位复发是罕见的,肺是最常见的远处扩散部位。骨骼肌脊索瘤复发尤其罕见,文献中仅报道了10例。脊索瘤患者远处转移的一种可能的机制表明,肿瘤细胞通过细胞因子释放、血管舒张和切除过程中引起的微创伤的结合而逃离手术道。结论颈椎脊索瘤伴骨骼肌异位复发的文献尚未见报道。颅底外科医生在没有局部复发的情况下,应注意脊索瘤异位复发的现象。
本文章由计算机程序翻译,如有差异,请以英文原文为准。

Multifocal Ectopic Recurrence of a C2 Chordoma.

Multifocal Ectopic Recurrence of a C2 Chordoma.

Multifocal Ectopic Recurrence of a C2 Chordoma.

Multifocal Ectopic Recurrence of a C2 Chordoma.

Background  Chordomas are histologically benign but locally aggressive tumors with a high propensity to recur. Our case highlights the importance of long-term vigilance in patients who have undergone chordoma resection. Case Report  We report the case of a 47-year-old man with a cervical chordoma who developed multiple musculoskeletal ectopic recurrences in the left supraclavicular region, the proximal right bicep, and the left submandibular region without recurrence in the primary tumor site. Primary tumor resection was achieved via a combination of surgery, adjuvant radiation therapy, and imatinib. All recurrences were successfully resected and confirmed via pathology to be ectopic chordoma. Discussion  Ectopic recurrence of cervical chordoma is rare and lung is the most common site of distant spread. Chordoma recurrence in skeletal muscle is particularly rare, with only 10 cases described in the literature. A plausible mechanism of distant metastatic disease in chordoma patients suggests that tumor cells escape the surgical tract via a combination of cytokine release, vasodilation, and microtrauma induced during resection. Conclusion  Cervical chordoma with ectopic recurrence in skeletal muscle has not been previously described in the literature. Skull base surgeons should be aware of the phenomenon of chordoma ectopic recurrence in the absence of local recurrence.

求助全文
通过发布文献求助,成功后即可免费获取论文全文。 去求助
来源期刊
自引率
0.00%
发文量
31
审稿时长
12 weeks
×
引用
GB/T 7714-2015
复制
MLA
复制
APA
复制
导出至
BibTeX EndNote RefMan NoteFirst NoteExpress
×
提示
您的信息不完整,为了账户安全,请先补充。
现在去补充
×
提示
您因"违规操作"
具体请查看互助需知
我知道了
×
提示
确定
请完成安全验证×
copy
已复制链接
快去分享给好友吧!
我知道了
右上角分享
点击右上角分享
0
联系我们:info@booksci.cn Book学术提供免费学术资源搜索服务,方便国内外学者检索中英文文献。致力于提供最便捷和优质的服务体验。 Copyright © 2023 布克学术 All rights reserved.
京ICP备2023020795号-1
ghs 京公网安备 11010802042870号
Book学术文献互助
Book学术文献互助群
群 号:604180095
Book学术官方微信