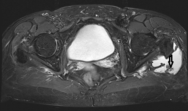
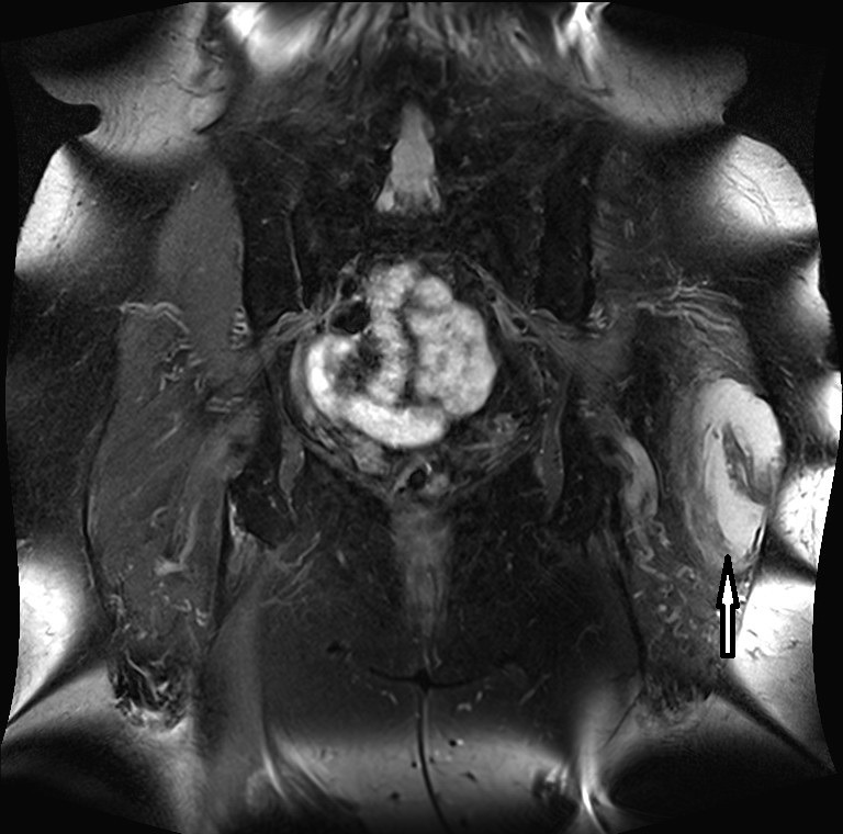
转子滑囊局部色素性结节性滑膜炎。

IF 1.5 Q3 SURGERY
Juergen Bruns, Benedikt Rosenbaum, Christoph Thorns
{"title":"转子滑囊局部色素性结节性滑膜炎。","authors":"Juergen Bruns, Benedikt Rosenbaum, Christoph Thorns","doi":"10.3205/iprs000178","DOIUrl":null,"url":null,"abstract":"<p><p>This is the first report on a localized pigmented villo-nodular synovitis (PVNS or TSGCT) occurring in the trochanteric bursa. Bursal involvement in PVNS is extremely rare. Most often PVNS occurs either as a localized or diffuse lesion in a major synovial joint, such as the knee, ankle joint or hip joint. In principle, all synovial structures can be involved. The case reported here is remarkable regarding the long period between the occurrence of the first symptoms and the final diagnosis as well as the age of the female patient (75 yrs). Therapeutically a complete resection was performed in order to avoid recurrence. More then three years later the patient did well and there has been no evidence of recurrence yet.</p>","PeriodicalId":43347,"journal":{"name":"GMS Interdisciplinary Plastic and Reconstructive Surgery DGPW","volume":"12 ","pages":"Doc08"},"PeriodicalIF":1.5000,"publicationDate":"2023-10-13","publicationTypes":"Journal Article","fieldsOfStudy":null,"isOpenAccess":false,"openAccessPdf":"https://www.ncbi.nlm.nih.gov/pmc/articles/PMC10665716/pdf/","citationCount":"0","resultStr":"{\"title\":\"Localized pigmented villo-nodular synovitis of trochanteric bursa.\",\"authors\":\"Juergen Bruns, Benedikt Rosenbaum, Christoph Thorns\",\"doi\":\"10.3205/iprs000178\",\"DOIUrl\":null,\"url\":null,\"abstract\":\"<p><p>This is the first report on a localized pigmented villo-nodular synovitis (PVNS or TSGCT) occurring in the trochanteric bursa. Bursal involvement in PVNS is extremely rare. Most often PVNS occurs either as a localized or diffuse lesion in a major synovial joint, such as the knee, ankle joint or hip joint. In principle, all synovial structures can be involved. The case reported here is remarkable regarding the long period between the occurrence of the first symptoms and the final diagnosis as well as the age of the female patient (75 yrs). Therapeutically a complete resection was performed in order to avoid recurrence. More then three years later the patient did well and there has been no evidence of recurrence yet.</p>\",\"PeriodicalId\":43347,\"journal\":{\"name\":\"GMS Interdisciplinary Plastic and Reconstructive Surgery DGPW\",\"volume\":\"12 \",\"pages\":\"Doc08\"},\"PeriodicalIF\":1.5000,\"publicationDate\":\"2023-10-13\",\"publicationTypes\":\"Journal Article\",\"fieldsOfStudy\":null,\"isOpenAccess\":false,\"openAccessPdf\":\"https://www.ncbi.nlm.nih.gov/pmc/articles/PMC10665716/pdf/\",\"citationCount\":\"0\",\"resultStr\":null,\"platform\":\"Semanticscholar\",\"paperid\":null,\"PeriodicalName\":\"GMS Interdisciplinary Plastic and Reconstructive Surgery DGPW\",\"FirstCategoryId\":\"1085\",\"ListUrlMain\":\"https://doi.org/10.3205/iprs000178\",\"RegionNum\":0,\"RegionCategory\":null,\"ArticlePicture\":[],\"TitleCN\":null,\"AbstractTextCN\":null,\"PMCID\":null,\"EPubDate\":\"2023/1/1 0:00:00\",\"PubModel\":\"eCollection\",\"JCR\":\"Q3\",\"JCRName\":\"SURGERY\",\"Score\":null,\"Total\":0}","platform":"Semanticscholar","paperid":null,"PeriodicalName":"GMS Interdisciplinary Plastic and Reconstructive Surgery DGPW","FirstCategoryId":"1085","ListUrlMain":"https://doi.org/10.3205/iprs000178","RegionNum":0,"RegionCategory":null,"ArticlePicture":[],"TitleCN":null,"AbstractTextCN":null,"PMCID":null,"EPubDate":"2023/1/1 0:00:00","PubModel":"eCollection","JCR":"Q3","JCRName":"SURGERY","Score":null,"Total":0}
引用次数: 0

摘要

本文首次报道了发生在转子滑囊的局部色素性绒毛结节滑膜炎(PVNS或TSGCT)。法氏囊受累于PVNS是极为罕见的。大多数情况下,PVNS发生在主要滑膜关节(如膝关节、踝关节或髋关节)的局部或弥漫性病变。原则上,所有滑膜结构均可受累。这里报告的病例值得注意的是,从出现最初症状到最终诊断之间的漫长时间,以及女性患者的年龄(75岁)。治疗上,为了避免复发,进行了完全切除。三年多以后,病人恢复得很好,至今没有复发的迹象。
本文章由计算机程序翻译,如有差异,请以英文原文为准。

Localized pigmented villo-nodular synovitis of trochanteric bursa.

Localized pigmented villo-nodular synovitis of trochanteric bursa.

Localized pigmented villo-nodular synovitis of trochanteric bursa.

Localized pigmented villo-nodular synovitis of trochanteric bursa.

This is the first report on a localized pigmented villo-nodular synovitis (PVNS or TSGCT) occurring in the trochanteric bursa. Bursal involvement in PVNS is extremely rare. Most often PVNS occurs either as a localized or diffuse lesion in a major synovial joint, such as the knee, ankle joint or hip joint. In principle, all synovial structures can be involved. The case reported here is remarkable regarding the long period between the occurrence of the first symptoms and the final diagnosis as well as the age of the female patient (75 yrs). Therapeutically a complete resection was performed in order to avoid recurrence. More then three years later the patient did well and there has been no evidence of recurrence yet.

求助全文
通过发布文献求助,成功后即可免费获取论文全文。 去求助
来源期刊
自引率
0.00%
发文量
5
审稿时长
11 weeks
×
引用
GB/T 7714-2015
复制
MLA
复制
APA
复制
导出至
BibTeX EndNote RefMan NoteFirst NoteExpress
×
提示
您的信息不完整,为了账户安全,请先补充。
现在去补充
×
提示
您因"违规操作"
具体请查看互助需知
我知道了
×
提示
确定
请完成安全验证×
copy
已复制链接
快去分享给好友吧!
我知道了
右上角分享
点击右上角分享
0
联系我们:info@booksci.cn Book学术提供免费学术资源搜索服务,方便国内外学者检索中英文文献。致力于提供最便捷和优质的服务体验。 Copyright © 2023 布克学术 All rights reserved.
京ICP备2023020795号-1
ghs 京公网安备 11010802042870号
Book学术文献互助
Book学术文献互助群
群 号:604180095
Book学术官方微信