腋窝乳腺化生癌伴异源间充质(软骨)分化:一例疑难病例及文献回顾。

IF 1.9 Q3 ONCOLOGY
Breast Cancer : Basic and Clinical Research Pub Date : 2023-11-24 eCollection Date: 2023-01-01 DOI:10.1177/11782234231215183
Chun-Ming Chang, Ho Yin Pekkle Lam
{"title":"腋窝乳腺化生癌伴异源间充质(软骨)分化:一例疑难病例及文献回顾。","authors":"Chun-Ming Chang, Ho Yin Pekkle Lam","doi":"10.1177/11782234231215183","DOIUrl":null,"url":null,"abstract":"<p><p>Metaplastic breast carcinoma is an invasive carcinoma with a high differentiation rate of the neoplastic epithelium toward mesenchymal-like epithelium. It comprises of only less than 1% of all breast cancers. Although 80% to 90% of metaplastic breast carcinomas are triple-negative cancers, they usually have worse outcomes than other triple-negative breast cancers (TNBCs). Metaplastic carcinoma is also often refractory to cytotoxic chemotherapy. Here, we reported a case of a 61-year-old female patient, presenting with a solitary and pedunculated mass in the right axillary tail breast tissue, whose biopsy revealed metaplastic breast carcinoma with chondroid differentiation. She had failed neoadjuvant chemotherapy and immunotherapy. Although she received debulking surgery, the tumor regrew even faster before surgery. Despite receiving palliative chemotherapy, the patient died 11 weeks after surgery. This case draws attention to physicians that early recognition and surgery may be more beneficial than chemotherapy in combating metaplastic breast carcinoma.</p>","PeriodicalId":9163,"journal":{"name":"Breast Cancer : Basic and Clinical Research","volume":"17 ","pages":"11782234231215183"},"PeriodicalIF":1.9000,"publicationDate":"2023-11-24","publicationTypes":"Journal Article","fieldsOfStudy":null,"isOpenAccess":false,"openAccessPdf":"https://www.ncbi.nlm.nih.gov/pmc/articles/PMC10676630/pdf/","citationCount":"0","resultStr":"{\"title\":\"Metaplastic Carcinoma of the Axillary Breast With Heterologous Mesenchymal (Chondroid) Differentiation: A Difficult Case and Literature Review.\",\"authors\":\"Chun-Ming Chang, Ho Yin Pekkle Lam\",\"doi\":\"10.1177/11782234231215183\",\"DOIUrl\":null,\"url\":null,\"abstract\":\"<p><p>Metaplastic breast carcinoma is an invasive carcinoma with a high differentiation rate of the neoplastic epithelium toward mesenchymal-like epithelium. It comprises of only less than 1% of all breast cancers. Although 80% to 90% of metaplastic breast carcinomas are triple-negative cancers, they usually have worse outcomes than other triple-negative breast cancers (TNBCs). Metaplastic carcinoma is also often refractory to cytotoxic chemotherapy. Here, we reported a case of a 61-year-old female patient, presenting with a solitary and pedunculated mass in the right axillary tail breast tissue, whose biopsy revealed metaplastic breast carcinoma with chondroid differentiation. She had failed neoadjuvant chemotherapy and immunotherapy. Although she received debulking surgery, the tumor regrew even faster before surgery. Despite receiving palliative chemotherapy, the patient died 11 weeks after surgery. This case draws attention to physicians that early recognition and surgery may be more beneficial than chemotherapy in combating metaplastic breast carcinoma.</p>\",\"PeriodicalId\":9163,\"journal\":{\"name\":\"Breast Cancer : Basic and Clinical Research\",\"volume\":\"17 \",\"pages\":\"11782234231215183\"},\"PeriodicalIF\":1.9000,\"publicationDate\":\"2023-11-24\",\"publicationTypes\":\"Journal Article\",\"fieldsOfStudy\":null,\"isOpenAccess\":false,\"openAccessPdf\":\"https://www.ncbi.nlm.nih.gov/pmc/articles/PMC10676630/pdf/\",\"citationCount\":\"0\",\"resultStr\":null,\"platform\":\"Semanticscholar\",\"paperid\":null,\"PeriodicalName\":\"Breast Cancer : Basic and Clinical Research\",\"FirstCategoryId\":\"1085\",\"ListUrlMain\":\"https://doi.org/10.1177/11782234231215183\",\"RegionNum\":0,\"RegionCategory\":null,\"ArticlePicture\":[],\"TitleCN\":null,\"AbstractTextCN\":null,\"PMCID\":null,\"EPubDate\":\"2023/1/1 0:00:00\",\"PubModel\":\"eCollection\",\"JCR\":\"Q3\",\"JCRName\":\"ONCOLOGY\",\"Score\":null,\"Total\":0}","platform":"Semanticscholar","paperid":null,"PeriodicalName":"Breast Cancer : Basic and Clinical Research","FirstCategoryId":"1085","ListUrlMain":"https://doi.org/10.1177/11782234231215183","RegionNum":0,"RegionCategory":null,"ArticlePicture":[],"TitleCN":null,"AbstractTextCN":null,"PMCID":null,"EPubDate":"2023/1/1 0:00:00","PubModel":"eCollection","JCR":"Q3","JCRName":"ONCOLOGY","Score":null,"Total":0}
引用次数: 0

摘要

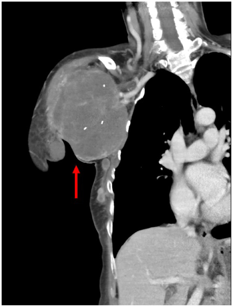
化生性乳腺癌是一种浸润性癌,肿瘤上皮向间质样上皮分化率高。它只占所有乳腺癌的不到1%。虽然80%至90%的化生性乳腺癌是三阴性癌症,但它们的预后通常比其他三阴性乳腺癌(tnbc)更差。化生癌对细胞毒性化疗也常常是难治的。在此,我们报告了一例61岁的女性患者,在右腋窝尾乳腺组织中表现为一个孤立的带梗肿块,活检显示化生性乳腺癌伴软骨样分化。新辅助化疗和免疫治疗均失败。尽管她接受了减体积手术,但手术前肿瘤的再生速度更快。尽管接受了姑息性化疗,患者还是在手术后11周死亡。这个病例引起医生的注意,早期识别和手术可能比化疗更有利于对抗化生乳腺癌。
本文章由计算机程序翻译,如有差异,请以英文原文为准。

Metaplastic Carcinoma of the Axillary Breast With Heterologous Mesenchymal (Chondroid) Differentiation: A Difficult Case and Literature Review.

Metaplastic Carcinoma of the Axillary Breast With Heterologous Mesenchymal (Chondroid) Differentiation: A Difficult Case and Literature Review.

Metaplastic Carcinoma of the Axillary Breast With Heterologous Mesenchymal (Chondroid) Differentiation: A Difficult Case and Literature Review.

Metaplastic Carcinoma of the Axillary Breast With Heterologous Mesenchymal (Chondroid) Differentiation: A Difficult Case and Literature Review.

Metaplastic breast carcinoma is an invasive carcinoma with a high differentiation rate of the neoplastic epithelium toward mesenchymal-like epithelium. It comprises of only less than 1% of all breast cancers. Although 80% to 90% of metaplastic breast carcinomas are triple-negative cancers, they usually have worse outcomes than other triple-negative breast cancers (TNBCs). Metaplastic carcinoma is also often refractory to cytotoxic chemotherapy. Here, we reported a case of a 61-year-old female patient, presenting with a solitary and pedunculated mass in the right axillary tail breast tissue, whose biopsy revealed metaplastic breast carcinoma with chondroid differentiation. She had failed neoadjuvant chemotherapy and immunotherapy. Although she received debulking surgery, the tumor regrew even faster before surgery. Despite receiving palliative chemotherapy, the patient died 11 weeks after surgery. This case draws attention to physicians that early recognition and surgery may be more beneficial than chemotherapy in combating metaplastic breast carcinoma.

求助全文
通过发布文献求助,成功后即可免费获取论文全文。 去求助
来源期刊
CiteScore
5.10
自引率
3.40%
发文量
22
审稿时长
8 weeks
期刊介绍: Breast Cancer: Basic and Clinical Research is an international, open access, peer-reviewed, journal which considers manuscripts on all areas of breast cancer research and treatment. We welcome original research, short notes, case studies and review articles related to breast cancer-related research. Specific areas of interest include, but are not limited to, breast cancer sub types, pathobiology, metastasis, genetics and epigenetics, mammary gland biology, breast cancer models, prevention, detection, therapy and clinical interventions, and epidemiology and population genetics.
×
引用
GB/T 7714-2015
复制
MLA
复制
APA
复制
导出至
BibTeX EndNote RefMan NoteFirst NoteExpress
×
提示
您的信息不完整,为了账户安全,请先补充。
现在去补充
×
提示
您因"违规操作"
具体请查看互助需知
我知道了
×
提示
确定
请完成安全验证×
copy
已复制链接
快去分享给好友吧!
我知道了
右上角分享
点击右上角分享
0
联系我们:info@booksci.cn Book学术提供免费学术资源搜索服务,方便国内外学者检索中英文文献。致力于提供最便捷和优质的服务体验。 Copyright © 2023 布克学术 All rights reserved.
京ICP备2023020795号-1
ghs 京公网安备 11010802042870号
Book学术文献互助
Book学术文献互助群
群 号:604180095
Book学术官方微信