阿斯伯格综合征儿童海绵状牙龈增生1例。

IF 1 Q3 DENTISTRY, ORAL SURGERY & MEDICINE
eJournal of Oral Maxillofacial Research Pub Date : 2023-09-30 eCollection Date: 2023-07-01 DOI:10.5037/jomr.2023.14305
Aikaterini Aktypi-Bampouranou, Eleni-Marina Kalogirou, Ioannis Skamnakis, Dimitrios Vlachodimitropoulos, Konstantinos I Tosios
{"title":"阿斯伯格综合征儿童海绵状牙龈增生1例。","authors":"Aikaterini Aktypi-Bampouranou, Eleni-Marina Kalogirou, Ioannis Skamnakis, Dimitrios Vlachodimitropoulos, Konstantinos I Tosios","doi":"10.5037/jomr.2023.14305","DOIUrl":null,"url":null,"abstract":"<p><strong>Background: </strong>Asperger syndrome is a type of autism spectrum disorder that may affect oral health and dental management. Spongiotic gingival hyperplasia is a rare lesion with unique clinicopathological features and unknown pathogenesis that has not been previously reported in a patient with autism spectrum disorder. The purpose of this case report is to present the first case of spongiotic gingival hyperplasia in a child with Asperger syndrome.</p><p><strong>Methods: </strong>A 14-year-old boy with Asperger syndrome was referred for diagnosis and management of bright red granular overgrowths of the marginal gingiva and interdental papilla of the mandibular right incisors and marginal gingiva of the mandibular left incisor. A biopsy was performed on the interdental papilla between the mandibular right incisors.</p><p><strong>Results: </strong>Microscopic examination and cytokeratin 19 immunopositivity confirmed the diagnosis of spongiotic gingival hyperplasia. The parents of the patient declined any further intervention, and four months later the gingival lesions, including the biopsied area, did not show any significant difference from the initial examination.</p><p><strong>Conclusions: </strong>Patients with autism spectrum diseases, such as Asperger syndrome, cannot achieve a good level of oral hygiene. Thus, it is expected that the incidence of spongiotic gingival hyperplasia should be higher in this group of patients, in case oral microbiome participates in its pathogenesis. Management of such lesions is challenging, as such patients do not comply with a proper oral hygiene program and do not cooperate with surgical excision.</p>","PeriodicalId":53254,"journal":{"name":"eJournal of Oral Maxillofacial Research","volume":"14 3","pages":"e5"},"PeriodicalIF":1.0000,"publicationDate":"2023-09-30","publicationTypes":"Journal Article","fieldsOfStudy":null,"isOpenAccess":false,"openAccessPdf":"https://www.ncbi.nlm.nih.gov/pmc/articles/PMC10645472/pdf/","citationCount":"0","resultStr":"{\"title\":\"Spongiotic Gingival Hyperplasia in a Child with Asperger Syndrome: a Case Report.\",\"authors\":\"Aikaterini Aktypi-Bampouranou, Eleni-Marina Kalogirou, Ioannis Skamnakis, Dimitrios Vlachodimitropoulos, Konstantinos I Tosios\",\"doi\":\"10.5037/jomr.2023.14305\",\"DOIUrl\":null,\"url\":null,\"abstract\":\"<p><strong>Background: </strong>Asperger syndrome is a type of autism spectrum disorder that may affect oral health and dental management. Spongiotic gingival hyperplasia is a rare lesion with unique clinicopathological features and unknown pathogenesis that has not been previously reported in a patient with autism spectrum disorder. The purpose of this case report is to present the first case of spongiotic gingival hyperplasia in a child with Asperger syndrome.</p><p><strong>Methods: </strong>A 14-year-old boy with Asperger syndrome was referred for diagnosis and management of bright red granular overgrowths of the marginal gingiva and interdental papilla of the mandibular right incisors and marginal gingiva of the mandibular left incisor. A biopsy was performed on the interdental papilla between the mandibular right incisors.</p><p><strong>Results: </strong>Microscopic examination and cytokeratin 19 immunopositivity confirmed the diagnosis of spongiotic gingival hyperplasia. The parents of the patient declined any further intervention, and four months later the gingival lesions, including the biopsied area, did not show any significant difference from the initial examination.</p><p><strong>Conclusions: </strong>Patients with autism spectrum diseases, such as Asperger syndrome, cannot achieve a good level of oral hygiene. Thus, it is expected that the incidence of spongiotic gingival hyperplasia should be higher in this group of patients, in case oral microbiome participates in its pathogenesis. Management of such lesions is challenging, as such patients do not comply with a proper oral hygiene program and do not cooperate with surgical excision.</p>\",\"PeriodicalId\":53254,\"journal\":{\"name\":\"eJournal of Oral Maxillofacial Research\",\"volume\":\"14 3\",\"pages\":\"e5\"},\"PeriodicalIF\":1.0000,\"publicationDate\":\"2023-09-30\",\"publicationTypes\":\"Journal Article\",\"fieldsOfStudy\":null,\"isOpenAccess\":false,\"openAccessPdf\":\"https://www.ncbi.nlm.nih.gov/pmc/articles/PMC10645472/pdf/\",\"citationCount\":\"0\",\"resultStr\":null,\"platform\":\"Semanticscholar\",\"paperid\":null,\"PeriodicalName\":\"eJournal of Oral Maxillofacial Research\",\"FirstCategoryId\":\"1085\",\"ListUrlMain\":\"https://doi.org/10.5037/jomr.2023.14305\",\"RegionNum\":0,\"RegionCategory\":null,\"ArticlePicture\":[],\"TitleCN\":null,\"AbstractTextCN\":null,\"PMCID\":null,\"EPubDate\":\"2023/7/1 0:00:00\",\"PubModel\":\"eCollection\",\"JCR\":\"Q3\",\"JCRName\":\"DENTISTRY, ORAL SURGERY & MEDICINE\",\"Score\":null,\"Total\":0}","platform":"Semanticscholar","paperid":null,"PeriodicalName":"eJournal of Oral Maxillofacial Research","FirstCategoryId":"1085","ListUrlMain":"https://doi.org/10.5037/jomr.2023.14305","RegionNum":0,"RegionCategory":null,"ArticlePicture":[],"TitleCN":null,"AbstractTextCN":null,"PMCID":null,"EPubDate":"2023/7/1 0:00:00","PubModel":"eCollection","JCR":"Q3","JCRName":"DENTISTRY, ORAL SURGERY & MEDICINE","Score":null,"Total":0}
引用次数: 0

摘要

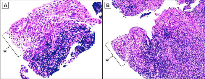
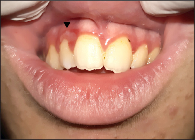
背景:阿斯伯格综合症是一种可能影响口腔健康和牙齿管理的自闭症谱系障碍。海绵状牙龈增生是一种罕见的病变,具有独特的临床病理特征和未知的发病机制,在自闭症谱系障碍患者中尚未报道。本病例报告的目的是提出第一例海绵状牙龈增生的儿童与阿斯伯格综合症。方法:对1例14岁的阿斯伯格综合征男孩进行诊断和治疗,诊断为下颌骨右切牙边缘牙龈、牙间乳头和下颌骨左切牙边缘牙龈亮红色颗粒增生。对下颌骨右切牙间的牙间乳头进行活组织检查。结果:镜检及细胞角蛋白19免疫阳性诊断为海绵状牙龈增生。患者的父母拒绝任何进一步的干预,四个月后,牙龈病变,包括活检区域,与最初的检查没有任何显着差异。结论:亚斯伯格综合征等自闭症谱系疾病患者口腔卫生水平不高。因此,如果口腔微生物群参与了其发病机制,预计这组患者的海绵状牙龈增生的发病率应该更高。由于这些患者不遵守适当的口腔卫生计划,也不配合手术切除,因此此类病变的管理具有挑战性。
本文章由计算机程序翻译,如有差异,请以英文原文为准。

Spongiotic Gingival Hyperplasia in a Child with Asperger Syndrome: a Case Report.

Spongiotic Gingival Hyperplasia in a Child with Asperger Syndrome: a Case Report.

Spongiotic Gingival Hyperplasia in a Child with Asperger Syndrome: a Case Report.

Spongiotic Gingival Hyperplasia in a Child with Asperger Syndrome: a Case Report.

Background: Asperger syndrome is a type of autism spectrum disorder that may affect oral health and dental management. Spongiotic gingival hyperplasia is a rare lesion with unique clinicopathological features and unknown pathogenesis that has not been previously reported in a patient with autism spectrum disorder. The purpose of this case report is to present the first case of spongiotic gingival hyperplasia in a child with Asperger syndrome.

Methods: A 14-year-old boy with Asperger syndrome was referred for diagnosis and management of bright red granular overgrowths of the marginal gingiva and interdental papilla of the mandibular right incisors and marginal gingiva of the mandibular left incisor. A biopsy was performed on the interdental papilla between the mandibular right incisors.

Results: Microscopic examination and cytokeratin 19 immunopositivity confirmed the diagnosis of spongiotic gingival hyperplasia. The parents of the patient declined any further intervention, and four months later the gingival lesions, including the biopsied area, did not show any significant difference from the initial examination.

Conclusions: Patients with autism spectrum diseases, such as Asperger syndrome, cannot achieve a good level of oral hygiene. Thus, it is expected that the incidence of spongiotic gingival hyperplasia should be higher in this group of patients, in case oral microbiome participates in its pathogenesis. Management of such lesions is challenging, as such patients do not comply with a proper oral hygiene program and do not cooperate with surgical excision.

求助全文
通过发布文献求助,成功后即可免费获取论文全文。 去求助
来源期刊
自引率
0.00%
发文量
19
审稿时长
12 weeks
×
引用
GB/T 7714-2015
复制
MLA
复制
APA
复制
导出至
BibTeX EndNote RefMan NoteFirst NoteExpress
×
提示
您的信息不完整,为了账户安全,请先补充。
现在去补充
×
提示
您因"违规操作"
具体请查看互助需知
我知道了
×
提示
确定
请完成安全验证×
copy
已复制链接
快去分享给好友吧!
我知道了
右上角分享
点击右上角分享
0
联系我们:info@booksci.cn Book学术提供免费学术资源搜索服务,方便国内外学者检索中英文文献。致力于提供最便捷和优质的服务体验。 Copyright © 2023 布克学术 All rights reserved.
京ICP备2023020795号-1
ghs 京公网安备 11010802042870号
Book学术文献互助
Book学术文献互助群
群 号:604180095
Book学术官方微信