自行车相关跌倒后髋臼骨折:需要高度的怀疑指数,以避免在x线平片上遗漏损伤。

Q3 Health Professions
J Swart, M Horak, R de Villiers, C Oberholzer, A Rotunno
{"title":"自行车相关跌倒后髋臼骨折:需要高度的怀疑指数,以避免在x线平片上遗漏损伤。","authors":"J Swart,&nbsp;M Horak,&nbsp;R de Villiers,&nbsp;C Oberholzer,&nbsp;A Rotunno","doi":"10.17159/2078-516X/2022/v34i1a14526","DOIUrl":null,"url":null,"abstract":"<p><p>Cycling participation as a medium of transport and as a competitive sport has steadily increased in recent decades. Traumatic injuries secondary to falls and collisions occur relatively frequently. Fractures of the hip and pelvis are uncommon with no studies to date reporting their exact incidence in this sport. Injuries specific to the acetabulum are reported even less frequently. We present four cases that highlight the insidious nature of acetabular fractures in cyclists and document their management and recovery. The number of acetabular fractures following falls from bicycles directly onto the lateral hip result in a relatively high number of fractures. Many of these may be missed due to the absence of findings on plain x-ray imaging.It is therefore important to have a high index of suspicion for hip and pelvis fractures when treating cycling related traumatic injuries.</p>","PeriodicalId":31065,"journal":{"name":"South African Journal of Sports Medicine","volume":"34 1","pages":"v34i1a14526"},"PeriodicalIF":0.0000,"publicationDate":"2022-01-01","publicationTypes":"Journal Article","fieldsOfStudy":null,"isOpenAccess":false,"openAccessPdf":"https://www.ncbi.nlm.nih.gov/pmc/articles/PMC9924554/pdf/","citationCount":"0","resultStr":"{\"title\":\"Acetabular fracture after cycling related falls: High index of suspicion is required to avoid missing the injury on plain radiographs.\",\"authors\":\"J Swart,&nbsp;M Horak,&nbsp;R de Villiers,&nbsp;C Oberholzer,&nbsp;A Rotunno\",\"doi\":\"10.17159/2078-516X/2022/v34i1a14526\",\"DOIUrl\":null,\"url\":null,\"abstract\":\"<p><p>Cycling participation as a medium of transport and as a competitive sport has steadily increased in recent decades. Traumatic injuries secondary to falls and collisions occur relatively frequently. Fractures of the hip and pelvis are uncommon with no studies to date reporting their exact incidence in this sport. Injuries specific to the acetabulum are reported even less frequently. We present four cases that highlight the insidious nature of acetabular fractures in cyclists and document their management and recovery. The number of acetabular fractures following falls from bicycles directly onto the lateral hip result in a relatively high number of fractures. Many of these may be missed due to the absence of findings on plain x-ray imaging.It is therefore important to have a high index of suspicion for hip and pelvis fractures when treating cycling related traumatic injuries.</p>\",\"PeriodicalId\":31065,\"journal\":{\"name\":\"South African Journal of Sports Medicine\",\"volume\":\"34 1\",\"pages\":\"v34i1a14526\"},\"PeriodicalIF\":0.0000,\"publicationDate\":\"2022-01-01\",\"publicationTypes\":\"Journal Article\",\"fieldsOfStudy\":null,\"isOpenAccess\":false,\"openAccessPdf\":\"https://www.ncbi.nlm.nih.gov/pmc/articles/PMC9924554/pdf/\",\"citationCount\":\"0\",\"resultStr\":null,\"platform\":\"Semanticscholar\",\"paperid\":null,\"PeriodicalName\":\"South African Journal of Sports Medicine\",\"FirstCategoryId\":\"1085\",\"ListUrlMain\":\"https://doi.org/10.17159/2078-516X/2022/v34i1a14526\",\"RegionNum\":0,\"RegionCategory\":null,\"ArticlePicture\":[],\"TitleCN\":null,\"AbstractTextCN\":null,\"PMCID\":null,\"EPubDate\":\"\",\"PubModel\":\"\",\"JCR\":\"Q3\",\"JCRName\":\"Health Professions\",\"Score\":null,\"Total\":0}","platform":"Semanticscholar","paperid":null,"PeriodicalName":"South African Journal of Sports Medicine","FirstCategoryId":"1085","ListUrlMain":"https://doi.org/10.17159/2078-516X/2022/v34i1a14526","RegionNum":0,"RegionCategory":null,"ArticlePicture":[],"TitleCN":null,"AbstractTextCN":null,"PMCID":null,"EPubDate":"","PubModel":"","JCR":"Q3","JCRName":"Health Professions","Score":null,"Total":0}
引用次数: 0

摘要

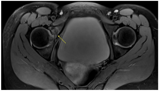
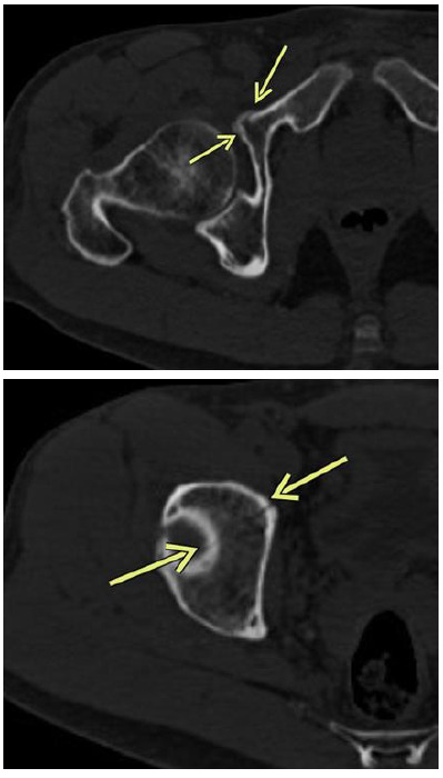
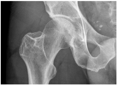
近几十年来,自行车作为一种交通工具和一项竞技运动的参与稳步增加。由跌落和碰撞引起的创伤性损伤发生的相对频繁。髋部和骨盆骨折并不常见,迄今为止没有研究报道其在这项运动中的确切发生率。髋臼特异性损伤的报道甚至更少。我们提出了四个病例,突出了骑自行车者髋臼骨折的隐伏性,并记录了他们的管理和恢复。从自行车上直接跌落到髋侧部导致髋臼骨折的数量相对较高。其中许多可能因x线平片未见发现而被遗漏。因此,在治疗与骑行相关的创伤性损伤时,高度怀疑髋部和骨盆骨折是很重要的。
本文章由计算机程序翻译,如有差异,请以英文原文为准。

Acetabular fracture after cycling related falls: High index of suspicion is required to avoid missing the injury on plain radiographs.

Acetabular fracture after cycling related falls: High index of suspicion is required to avoid missing the injury on plain radiographs.

Acetabular fracture after cycling related falls: High index of suspicion is required to avoid missing the injury on plain radiographs.

Acetabular fracture after cycling related falls: High index of suspicion is required to avoid missing the injury on plain radiographs.

Cycling participation as a medium of transport and as a competitive sport has steadily increased in recent decades. Traumatic injuries secondary to falls and collisions occur relatively frequently. Fractures of the hip and pelvis are uncommon with no studies to date reporting their exact incidence in this sport. Injuries specific to the acetabulum are reported even less frequently. We present four cases that highlight the insidious nature of acetabular fractures in cyclists and document their management and recovery. The number of acetabular fractures following falls from bicycles directly onto the lateral hip result in a relatively high number of fractures. Many of these may be missed due to the absence of findings on plain x-ray imaging.It is therefore important to have a high index of suspicion for hip and pelvis fractures when treating cycling related traumatic injuries.

求助全文
通过发布文献求助,成功后即可免费获取论文全文。 去求助
来源期刊
CiteScore
1.30
自引率
0.00%
发文量
30
审稿时长
12 weeks
×
引用
GB/T 7714-2015
复制
MLA
复制
APA
复制
导出至
BibTeX EndNote RefMan NoteFirst NoteExpress
×
提示
您的信息不完整,为了账户安全,请先补充。
现在去补充
×
提示
您因"违规操作"
具体请查看互助需知
我知道了
×
提示
确定
请完成安全验证×
copy
已复制链接
快去分享给好友吧!
我知道了
右上角分享
点击右上角分享
0
联系我们:info@booksci.cn Book学术提供免费学术资源搜索服务,方便国内外学者检索中英文文献。致力于提供最便捷和优质的服务体验。 Copyright © 2023 布克学术 All rights reserved.
京ICP备2023020795号-1
ghs 京公网安备 11010802042870号
Book学术文献互助
Book学术文献互助群
群 号:604180095
Book学术官方微信