过量膳食纤维摄入引起的结肠粪便嵌塞病例,内镜下用粪便内注射肠道清洁剂治疗。

Hideaki Kawabata, Kojiro Nakase, Tetsuya Yamamoto, Hiroaki Satake, Katsutoshi Yamaguchi, Yuji Okazaki, Masatoshi Miyata, Shigehiro Motoi
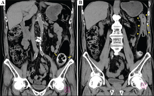
{"title":"过量膳食纤维摄入引起的结肠粪便嵌塞病例,内镜下用粪便内注射肠道清洁剂治疗。","authors":"Hideaki Kawabata,&nbsp;Kojiro Nakase,&nbsp;Tetsuya Yamamoto,&nbsp;Hiroaki Satake,&nbsp;Katsutoshi Yamaguchi,&nbsp;Yuji Okazaki,&nbsp;Masatoshi Miyata,&nbsp;Shigehiro Motoi","doi":"","DOIUrl":null,"url":null,"abstract":"<p><strong>Background and aim: </strong>A 75-year-old man who had eaten half a head of chopped raw cabbage (approximately 600 g) daily was suffering from the left lower pain, abdominal fullness, and constipation. He was diagnosed with colonic ileus and obstructive colitis due to a fecal impaction in the sigmoid-descending junction. During colonoscopy, a tapered catheter was repeatedly inserted into the impacted feces to inject a bowel-cleansing agent. Finally, the feces were broken to be fragmented enough to path the endoscope through. After the procedure, his symptoms were immediately relieved.</p><p><strong>Relevance for patients: </strong>Excessive dietary fiber intake can induce fecal ileus. Endoscopic treatment with intra-fecal injection of a bowel-cleansing agent is useful and worth attempting for disimpaction of feces.</p>","PeriodicalId":15482,"journal":{"name":"Journal of Clinical and Translational Research","volume":"9 1","pages":"33-36"},"PeriodicalIF":0.0000,"publicationDate":"2023-02-25","publicationTypes":"Journal Article","fieldsOfStudy":null,"isOpenAccess":false,"openAccessPdf":"https://ftp.ncbi.nlm.nih.gov/pub/pmc/oa_pdf/34/d5/jclintranslres-2023-9-1-33.PMC9844222.pdf","citationCount":"0","resultStr":"{\"title\":\"A case of colonic fecal impaction caused by excessive dietary fiber intake that was endoscopically treated with intra-fecal injection of a bowel-cleansing agent.\",\"authors\":\"Hideaki Kawabata,&nbsp;Kojiro Nakase,&nbsp;Tetsuya Yamamoto,&nbsp;Hiroaki Satake,&nbsp;Katsutoshi Yamaguchi,&nbsp;Yuji Okazaki,&nbsp;Masatoshi Miyata,&nbsp;Shigehiro Motoi\",\"doi\":\"\",\"DOIUrl\":null,\"url\":null,\"abstract\":\"<p><strong>Background and aim: </strong>A 75-year-old man who had eaten half a head of chopped raw cabbage (approximately 600 g) daily was suffering from the left lower pain, abdominal fullness, and constipation. He was diagnosed with colonic ileus and obstructive colitis due to a fecal impaction in the sigmoid-descending junction. During colonoscopy, a tapered catheter was repeatedly inserted into the impacted feces to inject a bowel-cleansing agent. Finally, the feces were broken to be fragmented enough to path the endoscope through. After the procedure, his symptoms were immediately relieved.</p><p><strong>Relevance for patients: </strong>Excessive dietary fiber intake can induce fecal ileus. Endoscopic treatment with intra-fecal injection of a bowel-cleansing agent is useful and worth attempting for disimpaction of feces.</p>\",\"PeriodicalId\":15482,\"journal\":{\"name\":\"Journal of Clinical and Translational Research\",\"volume\":\"9 1\",\"pages\":\"33-36\"},\"PeriodicalIF\":0.0000,\"publicationDate\":\"2023-02-25\",\"publicationTypes\":\"Journal Article\",\"fieldsOfStudy\":null,\"isOpenAccess\":false,\"openAccessPdf\":\"https://ftp.ncbi.nlm.nih.gov/pub/pmc/oa_pdf/34/d5/jclintranslres-2023-9-1-33.PMC9844222.pdf\",\"citationCount\":\"0\",\"resultStr\":null,\"platform\":\"Semanticscholar\",\"paperid\":null,\"PeriodicalName\":\"Journal of Clinical and Translational Research\",\"FirstCategoryId\":\"1085\",\"ListUrlMain\":\"\",\"RegionNum\":0,\"RegionCategory\":null,\"ArticlePicture\":[],\"TitleCN\":null,\"AbstractTextCN\":null,\"PMCID\":null,\"EPubDate\":\"\",\"PubModel\":\"\",\"JCR\":\"\",\"JCRName\":\"\",\"Score\":null,\"Total\":0}","platform":"Semanticscholar","paperid":null,"PeriodicalName":"Journal of Clinical and Translational Research","FirstCategoryId":"1085","ListUrlMain":"","RegionNum":0,"RegionCategory":null,"ArticlePicture":[],"TitleCN":null,"AbstractTextCN":null,"PMCID":null,"EPubDate":"","PubModel":"","JCR":"","JCRName":"","Score":null,"Total":0}
引用次数: 0

摘要

背景和目的:一名75岁的男子,每天吃半颗切碎的生卷心菜(约600克),患有左下疼痛,腹部充血和便秘。他被诊断为结肠肠梗阻和梗阻性结肠炎,原因是乙状结肠降结处的粪便阻塞。结肠镜检查时,将锥形导管反复插入受影响的粪便中,以注入肠道清洁剂。最后,将粪便打碎,使其足够破碎,以便内窥镜通过。手术后,他的症状立即缓解。患者相关性:膳食纤维摄入过多可诱发大便性肠梗阻。内窥镜下粪便内注射一种肠道清洗剂治疗是有用的,值得尝试大便排解。
本文章由计算机程序翻译,如有差异,请以英文原文为准。

A case of colonic fecal impaction caused by excessive dietary fiber intake that was endoscopically treated with intra-fecal injection of a bowel-cleansing agent.

A case of colonic fecal impaction caused by excessive dietary fiber intake that was endoscopically treated with intra-fecal injection of a bowel-cleansing agent.

A case of colonic fecal impaction caused by excessive dietary fiber intake that was endoscopically treated with intra-fecal injection of a bowel-cleansing agent.

A case of colonic fecal impaction caused by excessive dietary fiber intake that was endoscopically treated with intra-fecal injection of a bowel-cleansing agent.

Background and aim: A 75-year-old man who had eaten half a head of chopped raw cabbage (approximately 600 g) daily was suffering from the left lower pain, abdominal fullness, and constipation. He was diagnosed with colonic ileus and obstructive colitis due to a fecal impaction in the sigmoid-descending junction. During colonoscopy, a tapered catheter was repeatedly inserted into the impacted feces to inject a bowel-cleansing agent. Finally, the feces were broken to be fragmented enough to path the endoscope through. After the procedure, his symptoms were immediately relieved.

Relevance for patients: Excessive dietary fiber intake can induce fecal ileus. Endoscopic treatment with intra-fecal injection of a bowel-cleansing agent is useful and worth attempting for disimpaction of feces.

求助全文
通过发布文献求助,成功后即可免费获取论文全文。 去求助
来源期刊
自引率
0.00%
发文量
0
×
引用
GB/T 7714-2015
复制
MLA
复制
APA
复制
导出至
BibTeX EndNote RefMan NoteFirst NoteExpress
×
提示
您的信息不完整,为了账户安全,请先补充。
现在去补充
×
提示
您因"违规操作"
具体请查看互助需知
我知道了
×
提示
确定
请完成安全验证×
copy
已复制链接
快去分享给好友吧!
我知道了
右上角分享
点击右上角分享
0
联系我们:info@booksci.cn Book学术提供免费学术资源搜索服务,方便国内外学者检索中英文文献。致力于提供最便捷和优质的服务体验。 Copyright © 2023 布克学术 All rights reserved.
京ICP备2023020795号-1
ghs 京公网安备 11010802042870号
Book学术文献互助
Book学术文献互助群
群 号:604180095
Book学术官方微信