刺蒺藜对睾丸形态和精子生成有何影响?大鼠模型实验研究。

IF 3 2区 医学 Q2 ANDROLOGY
Asian Journal of Andrology Pub Date : 2024-01-01 Epub Date: 2023-08-22 DOI:10.4103/aja202340
Marcello Henrique Araujo Da Silva, Gabriela Faria Buys-Gonçalves, João Henrique Duque Reis Estrada, Francisco José Barcellos Sampaio, Diogo Benchimol de Souza
{"title":"刺蒺藜对睾丸形态和精子生成有何影响?大鼠模型实验研究。","authors":"Marcello Henrique Araujo Da Silva, Gabriela Faria Buys-Gonçalves, João Henrique Duque Reis Estrada, Francisco José Barcellos Sampaio, Diogo Benchimol de Souza","doi":"10.4103/aja202340","DOIUrl":null,"url":null,"abstract":"<p><p>The objective of this study was to investigate whether treatment with Tribulus terrestris (Tt) has any impact on the testicular morphology and function in a rodent model. Twenty male rats were divided into a control group and a group receiving 100 mg kg -1 body weight of Tt supplementation. After 40 days of experiment, the animals were submitted to euthanasia; epididymal tail spermatozoa were collected; and spermatozoa concentration, motility, and viability were analyzed. In addition, testicles were collected and processed for histomorphometrical analyses. Data were compared using the Student's t -test and considered significant when P < 0.05. Spermatozoa concentration, motility, and viability showed no difference between the groups. Further, testicular weight and volume, seminiferous tubule diameter, tunica propria surface density, seminiferous epithelium surface density, and intertubular compartment surface density were statistically similar between the groups. However, seminiferous epithelium height and tubular lumen surface density were augmented in animals treated with Tt. Treatment with Tt does not cause a major impact on testicular morphology, promoting only subtle modifications. No difference on spermatozoa parameters was observed.</p>","PeriodicalId":8483,"journal":{"name":"Asian Journal of Andrology","volume":" ","pages":"67-70"},"PeriodicalIF":3.0000,"publicationDate":"2024-01-01","publicationTypes":"Journal Article","fieldsOfStudy":null,"isOpenAccess":false,"openAccessPdf":"https://www.ncbi.nlm.nih.gov/pmc/articles/PMC10846837/pdf/","citationCount":"0","resultStr":"{\"title\":\"What is the effect of Tribulus terrestris on testicular morphology and sperm production? An experimental study in the rat model.\",\"authors\":\"Marcello Henrique Araujo Da Silva, Gabriela Faria Buys-Gonçalves, João Henrique Duque Reis Estrada, Francisco José Barcellos Sampaio, Diogo Benchimol de Souza\",\"doi\":\"10.4103/aja202340\",\"DOIUrl\":null,\"url\":null,\"abstract\":\"<p><p>The objective of this study was to investigate whether treatment with Tribulus terrestris (Tt) has any impact on the testicular morphology and function in a rodent model. Twenty male rats were divided into a control group and a group receiving 100 mg kg -1 body weight of Tt supplementation. After 40 days of experiment, the animals were submitted to euthanasia; epididymal tail spermatozoa were collected; and spermatozoa concentration, motility, and viability were analyzed. In addition, testicles were collected and processed for histomorphometrical analyses. Data were compared using the Student's t -test and considered significant when P < 0.05. Spermatozoa concentration, motility, and viability showed no difference between the groups. Further, testicular weight and volume, seminiferous tubule diameter, tunica propria surface density, seminiferous epithelium surface density, and intertubular compartment surface density were statistically similar between the groups. However, seminiferous epithelium height and tubular lumen surface density were augmented in animals treated with Tt. Treatment with Tt does not cause a major impact on testicular morphology, promoting only subtle modifications. No difference on spermatozoa parameters was observed.</p>\",\"PeriodicalId\":8483,\"journal\":{\"name\":\"Asian Journal of Andrology\",\"volume\":\" \",\"pages\":\"67-70\"},\"PeriodicalIF\":3.0000,\"publicationDate\":\"2024-01-01\",\"publicationTypes\":\"Journal Article\",\"fieldsOfStudy\":null,\"isOpenAccess\":false,\"openAccessPdf\":\"https://www.ncbi.nlm.nih.gov/pmc/articles/PMC10846837/pdf/\",\"citationCount\":\"0\",\"resultStr\":null,\"platform\":\"Semanticscholar\",\"paperid\":null,\"PeriodicalName\":\"Asian Journal of Andrology\",\"FirstCategoryId\":\"3\",\"ListUrlMain\":\"https://doi.org/10.4103/aja202340\",\"RegionNum\":2,\"RegionCategory\":\"医学\",\"ArticlePicture\":[],\"TitleCN\":null,\"AbstractTextCN\":null,\"PMCID\":null,\"EPubDate\":\"2023/8/22 0:00:00\",\"PubModel\":\"Epub\",\"JCR\":\"Q2\",\"JCRName\":\"ANDROLOGY\",\"Score\":null,\"Total\":0}","platform":"Semanticscholar","paperid":null,"PeriodicalName":"Asian Journal of Andrology","FirstCategoryId":"3","ListUrlMain":"https://doi.org/10.4103/aja202340","RegionNum":2,"RegionCategory":"医学","ArticlePicture":[],"TitleCN":null,"AbstractTextCN":null,"PMCID":null,"EPubDate":"2023/8/22 0:00:00","PubModel":"Epub","JCR":"Q2","JCRName":"ANDROLOGY","Score":null,"Total":0}
引用次数: 0

摘要

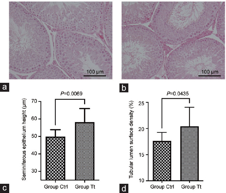
本研究的目的是调查蒺藜(Tt)是否会对啮齿动物模型的睾丸形态和功能产生影响。20 只雄性大鼠被分为对照组和补充 100 毫克/公斤体重 Tt 的组。实验 40 天后,对动物实施安乐死,收集附睾尾部精子,分析精子浓度、活力和存活率。此外,还收集睾丸并进行组织形态学分析。数据比较采用学生 t 检验,当 P < 0.05 时认为差异显著。各组间的精子浓度、活力和存活率均无差异。此外,各组间的睾丸重量和体积、曲细精管直径、固有膜表面密度、曲细精管上皮表面密度和管间室表面密度在统计学上相似。然而,使用 Tt 治疗的动物的曲细精管上皮高度和管腔表面密度均有所增加。用 Tt 治疗不会对睾丸形态产生重大影响,只会促进细微的改变。在精子参数方面没有观察到差异。
本文章由计算机程序翻译,如有差异,请以英文原文为准。

What is the effect of Tribulus terrestris on testicular morphology and sperm production? An experimental study in the rat model.

What is the effect of Tribulus terrestris on testicular morphology and sperm production? An experimental study in the rat model.

The objective of this study was to investigate whether treatment with Tribulus terrestris (Tt) has any impact on the testicular morphology and function in a rodent model. Twenty male rats were divided into a control group and a group receiving 100 mg kg -1 body weight of Tt supplementation. After 40 days of experiment, the animals were submitted to euthanasia; epididymal tail spermatozoa were collected; and spermatozoa concentration, motility, and viability were analyzed. In addition, testicles were collected and processed for histomorphometrical analyses. Data were compared using the Student's t -test and considered significant when P < 0.05. Spermatozoa concentration, motility, and viability showed no difference between the groups. Further, testicular weight and volume, seminiferous tubule diameter, tunica propria surface density, seminiferous epithelium surface density, and intertubular compartment surface density were statistically similar between the groups. However, seminiferous epithelium height and tubular lumen surface density were augmented in animals treated with Tt. Treatment with Tt does not cause a major impact on testicular morphology, promoting only subtle modifications. No difference on spermatozoa parameters was observed.

求助全文
通过发布文献求助,成功后即可免费获取论文全文。 去求助
来源期刊
Asian Journal of Andrology
Asian Journal of Andrology 医学-泌尿学与肾脏学
CiteScore
4.90
自引率
3.40%
发文量
2252
审稿时长
2.2 months
期刊介绍: Fields of particular interest to the journal include, but are not limited to: -Sperm biology: cellular and molecular mechanisms- Male reproductive system: structure and function- Hormonal regulation of male reproduction- Male infertility: etiology, pathogenesis, diagnosis, treatment and prevention- Semen analysis & sperm functional assays- Sperm selection & quality and ART outcomes- Male sexual dysfunction- Male puberty development- Male ageing- Prostate diseases- Operational andrology- HIV & male reproductive tract infection- Male contraception- Environmental, lifestyle, genetic factors and male health- Male reproductive toxicology- Male sexual and reproductive health.
×
引用
GB/T 7714-2015
复制
MLA
复制
APA
复制
导出至
BibTeX EndNote RefMan NoteFirst NoteExpress
×
提示
您的信息不完整,为了账户安全,请先补充。
现在去补充
×
提示
您因"违规操作"
具体请查看互助需知
我知道了
×
提示
确定
请完成安全验证×
copy
已复制链接
快去分享给好友吧!
我知道了
右上角分享
点击右上角分享
0
联系我们:info@booksci.cn Book学术提供免费学术资源搜索服务,方便国内外学者检索中英文文献。致力于提供最便捷和优质的服务体验。 Copyright © 2023 布克学术 All rights reserved.
京ICP备2023020795号-1
ghs 京公网安备 11010802042870号
Book学术文献互助
Book学术文献互助群
群 号:604180095
Book学术官方微信