儿童胃肠道异物:三级医院的经验。

Chukwubuike Kevin Emeka, Nduagubam Obinna Chukwuebuka, Enebe Joseph Tochukwu
{"title":"儿童胃肠道异物:三级医院的经验。","authors":"Chukwubuike Kevin Emeka,&nbsp;Nduagubam Obinna Chukwuebuka,&nbsp;Enebe Joseph Tochukwu","doi":"10.4103/ajps.AJPS_148_20","DOIUrl":null,"url":null,"abstract":"<p><strong>Background: </strong>Foreign body (FB) ingestion in the gastrointestinal tract (GIT) in children is common. Although most foreign bodies will pass spontaneously, surgical intervention is required when they fail to pass.</p><p><strong>Aims and objectives: </strong>The aim of this study was to evaluate our experience in the management of children who presented with FB in the GIT.</p><p><strong>Materials and methods: </strong>This was a retrospective study of children that underwent laparotomy for the removal of FB in the GIT at the paediatric surgery unit of Enugu State University Teaching Hospital, Enugu over a 10-year period.</p><p><strong>Results: </strong>A total of 272 children presented with FB in the GIT during the study period, out of which 30 patients had laparotomy. This gave an operative incidence rate of 11%. There was a slight male predominance and the ages of the patients ranged from 6 months to 5 years (median 3 years). About half of the patients had no symptoms and all the patients were investigated with an abdominal radiograph. Only one-third of the patients had a predisposing factor that could have led to FB impaction. FB impaction was the most common indication for surgery, and enterotomy with FB removal was the most performed surgical procedure. The most common FB removed were tiny parts of toys, and the most common post-operative complication was surgical site infection. There was no mortality.</p><p><strong>Conclusion: </strong>FB in GIT in children could be associated with complications that require surgical treatment. FB ingestion is preventable. Focus should be placed on caregivers preventing children from ingesting FB.</p>","PeriodicalId":72123,"journal":{"name":"African journal of paediatric surgery : AJPS","volume":"20 3","pages":"224-228"},"PeriodicalIF":0.0000,"publicationDate":"2023-07-01","publicationTypes":"Journal Article","fieldsOfStudy":null,"isOpenAccess":false,"openAccessPdf":"https://ftp.ncbi.nlm.nih.gov/pub/pmc/oa_pdf/32/ee/AJPS-20-224.PMC10450112.pdf","citationCount":"0","resultStr":"{\"title\":\"Foreign body in the gastrointestinal tract in children: A tertiary hospital experience.\",\"authors\":\"Chukwubuike Kevin Emeka,&nbsp;Nduagubam Obinna Chukwuebuka,&nbsp;Enebe Joseph Tochukwu\",\"doi\":\"10.4103/ajps.AJPS_148_20\",\"DOIUrl\":null,\"url\":null,\"abstract\":\"<p><strong>Background: </strong>Foreign body (FB) ingestion in the gastrointestinal tract (GIT) in children is common. Although most foreign bodies will pass spontaneously, surgical intervention is required when they fail to pass.</p><p><strong>Aims and objectives: </strong>The aim of this study was to evaluate our experience in the management of children who presented with FB in the GIT.</p><p><strong>Materials and methods: </strong>This was a retrospective study of children that underwent laparotomy for the removal of FB in the GIT at the paediatric surgery unit of Enugu State University Teaching Hospital, Enugu over a 10-year period.</p><p><strong>Results: </strong>A total of 272 children presented with FB in the GIT during the study period, out of which 30 patients had laparotomy. This gave an operative incidence rate of 11%. There was a slight male predominance and the ages of the patients ranged from 6 months to 5 years (median 3 years). About half of the patients had no symptoms and all the patients were investigated with an abdominal radiograph. Only one-third of the patients had a predisposing factor that could have led to FB impaction. FB impaction was the most common indication for surgery, and enterotomy with FB removal was the most performed surgical procedure. The most common FB removed were tiny parts of toys, and the most common post-operative complication was surgical site infection. There was no mortality.</p><p><strong>Conclusion: </strong>FB in GIT in children could be associated with complications that require surgical treatment. FB ingestion is preventable. Focus should be placed on caregivers preventing children from ingesting FB.</p>\",\"PeriodicalId\":72123,\"journal\":{\"name\":\"African journal of paediatric surgery : AJPS\",\"volume\":\"20 3\",\"pages\":\"224-228\"},\"PeriodicalIF\":0.0000,\"publicationDate\":\"2023-07-01\",\"publicationTypes\":\"Journal Article\",\"fieldsOfStudy\":null,\"isOpenAccess\":false,\"openAccessPdf\":\"https://ftp.ncbi.nlm.nih.gov/pub/pmc/oa_pdf/32/ee/AJPS-20-224.PMC10450112.pdf\",\"citationCount\":\"0\",\"resultStr\":null,\"platform\":\"Semanticscholar\",\"paperid\":null,\"PeriodicalName\":\"African journal of paediatric surgery : AJPS\",\"FirstCategoryId\":\"1085\",\"ListUrlMain\":\"https://doi.org/10.4103/ajps.AJPS_148_20\",\"RegionNum\":0,\"RegionCategory\":null,\"ArticlePicture\":[],\"TitleCN\":null,\"AbstractTextCN\":null,\"PMCID\":null,\"EPubDate\":\"\",\"PubModel\":\"\",\"JCR\":\"\",\"JCRName\":\"\",\"Score\":null,\"Total\":0}","platform":"Semanticscholar","paperid":null,"PeriodicalName":"African journal of paediatric surgery : AJPS","FirstCategoryId":"1085","ListUrlMain":"https://doi.org/10.4103/ajps.AJPS_148_20","RegionNum":0,"RegionCategory":null,"ArticlePicture":[],"TitleCN":null,"AbstractTextCN":null,"PMCID":null,"EPubDate":"","PubModel":"","JCR":"","JCRName":"","Score":null,"Total":0}
引用次数: 0

摘要

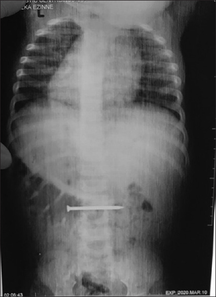
背景:儿童胃肠道异物(FB)摄入是常见的。尽管大多数异物会自发通过,但当它们无法通过时,需要进行手术干预。目的和目的:本研究的目的是评估我们在GIT中出现FB的儿童的管理经验。材料和方法:这是一项对在埃努古州立大学教学医院儿科手术室接受剖腹手术切除GIT中FB的儿童为期10年的回顾性研究。结果:在研究期间,共有272名儿童在GIT中出现FB,其中30名患者进行了剖腹手术。手术发生率为11%。患者年龄为6个月至5岁(中位3岁),男性占微弱优势。大约一半的患者没有任何症状,所有患者都接受了腹部X线片检查。只有三分之一的患者有可能导致FB嵌塞的诱发因素。FB嵌塞是最常见的手术指征,肠切开术和FB切除术是最常用的手术方法。最常见的FB切除是玩具的微小部件,最常见的术后并发症是手术部位感染。没有死亡。结论:儿童GIT中FB可能与需要手术治疗的并发症有关。FB摄入是可以预防的。应将重点放在护理人员身上,防止儿童摄入FB。
本文章由计算机程序翻译,如有差异,请以英文原文为准。

Foreign body in the gastrointestinal tract in children: A tertiary hospital experience.

Foreign body in the gastrointestinal tract in children: A tertiary hospital experience.

Foreign body in the gastrointestinal tract in children: A tertiary hospital experience.

Background: Foreign body (FB) ingestion in the gastrointestinal tract (GIT) in children is common. Although most foreign bodies will pass spontaneously, surgical intervention is required when they fail to pass.

Aims and objectives: The aim of this study was to evaluate our experience in the management of children who presented with FB in the GIT.

Materials and methods: This was a retrospective study of children that underwent laparotomy for the removal of FB in the GIT at the paediatric surgery unit of Enugu State University Teaching Hospital, Enugu over a 10-year period.

Results: A total of 272 children presented with FB in the GIT during the study period, out of which 30 patients had laparotomy. This gave an operative incidence rate of 11%. There was a slight male predominance and the ages of the patients ranged from 6 months to 5 years (median 3 years). About half of the patients had no symptoms and all the patients were investigated with an abdominal radiograph. Only one-third of the patients had a predisposing factor that could have led to FB impaction. FB impaction was the most common indication for surgery, and enterotomy with FB removal was the most performed surgical procedure. The most common FB removed were tiny parts of toys, and the most common post-operative complication was surgical site infection. There was no mortality.

Conclusion: FB in GIT in children could be associated with complications that require surgical treatment. FB ingestion is preventable. Focus should be placed on caregivers preventing children from ingesting FB.

求助全文
通过发布文献求助,成功后即可免费获取论文全文。 去求助
来源期刊
自引率
0.00%
发文量
0
×
引用
GB/T 7714-2015
复制
MLA
复制
APA
复制
导出至
BibTeX EndNote RefMan NoteFirst NoteExpress
×
提示
您的信息不完整,为了账户安全,请先补充。
现在去补充
×
提示
您因"违规操作"
具体请查看互助需知
我知道了
×
提示
确定
请完成安全验证×
copy
已复制链接
快去分享给好友吧!
我知道了
右上角分享
点击右上角分享
0
联系我们:info@booksci.cn Book学术提供免费学术资源搜索服务,方便国内外学者检索中英文文献。致力于提供最便捷和优质的服务体验。 Copyright © 2023 布克学术 All rights reserved.
京ICP备2023020795号-1
ghs 京公网安备 11010802042870号
Book学术文献互助
Book学术文献互助群
群 号:604180095
Book学术官方微信