颈动脉和冠状动脉粥样硬化斑块形态之间的关系:血管内超声研究的虚拟组织学。

Dace Sondore, Kārlis Trušinskis, Matīss Linde, Ieva Briede, Inga Narbute, Sanda Jēgere, Kārlis Griķis, Kārlis Štrenge, Andrejs Ērglis
{"title":"颈动脉和冠状动脉粥样硬化斑块形态之间的关系:血管内超声研究的虚拟组织学。","authors":"Dace Sondore,&nbsp;Kārlis Trušinskis,&nbsp;Matīss Linde,&nbsp;Ieva Briede,&nbsp;Inga Narbute,&nbsp;Sanda Jēgere,&nbsp;Kārlis Griķis,&nbsp;Kārlis Štrenge,&nbsp;Andrejs Ērglis","doi":"","DOIUrl":null,"url":null,"abstract":"<p><strong>Background and aim: </strong>Atherosclerosis is considered to be a systemic disease; however, evidence exists on the heterogeneous nature of atherosclerotic disease. To date, continuous research seeks to determine the morphological differences between carotid and coronary artery disease. This study aimed to evaluate the relationship of morphological characteristics assessed by virtual histology intravascular ultrasound (VH-IVUS) between carotid and coronary plaque composition among patients with and without a history of cerebrovascular events.</p><p><strong>Methods: </strong>This study was a single-center prospective study (<i>n</i> = 100; age 69.6 ± 8.4). All patients were scheduled for carotid or coronary artery stenting and underwent VH-IVUS examination of the carotid and coronary arteries before intervention.</p><p><strong>Results: </strong>There was a modest, but statistically significant correlation between the carotid and coronary necrotic core ([NC] r = 0.46, <i>P</i> < 0.01), fibrofatty ([FF] r = 0.38, <i>P</i> < 0.01), dense calcium (r = 0.56, <i>P</i> < 0.01), and fibrous (r = 0.42, <i>P</i> < 0.01) plaque composition. The high amount of NC was detected in both arteries of the carotid artery stenting (CAS) group with higher proportion in the coronary artery (20.2% ± 9.4 % vs. 22.7% ± 6.8%, <i>P</i> = 0.02). More fibrolipid content was observed in carotid plaque compared to coronary (19.6% ± 9.9% vs. 12.2% ± 8.1%, <i>P</i> < 0.01). Patients with a history of cerebrovascular events had a numerically greater proportion of necrotic tissue in the carotid artery compared to asymptomatic and symptomatic CAS group patients (23.5% ± 10.7% vs. 18.9% ± 8.2% and 18.7% ± 9.5%, <i>P</i> = 0.11).</p><p><strong>Conclusion: </strong>The percentage of all analyzed plaque components was moderately correlated between coronary and carotid artery plaques. Nevertheless, the proportion of NC plaque tissue was greater in the coronary arteries, while the carotid arteries showed more %FF atherosclerotic lesions. CAS group patients with a history of cerebrovascular events had a tendency of greater proportion of necrotic tissue in analyzed carotid plaques compared to others in the CAS group.</p><p><strong>Relevance for patients: </strong>In this study, we found that patients with a history of cerebrovascular event had a tendency of increased NC content in culprit lesion of carotid artery. Complementary use of non-invasive and invasive imaging modalities allows to detect high-risk atherosclerotic plaques and adjust treatment strategy.</p>","PeriodicalId":15482,"journal":{"name":"Journal of Clinical and Translational Research","volume":"9 4","pages":"253-260"},"PeriodicalIF":0.0000,"publicationDate":"2023-08-31","publicationTypes":"Journal Article","fieldsOfStudy":null,"isOpenAccess":false,"openAccessPdf":"https://ftp.ncbi.nlm.nih.gov/pub/pmc/oa_pdf/56/5a/jclintranslres-2023-9-4-253.PMC10431194.pdf","citationCount":"0","resultStr":"{\"title\":\"Association between carotid and coronary atherosclerotic plaque morphology: a virtual histology intravascular ultrasound study.\",\"authors\":\"Dace Sondore,&nbsp;Kārlis Trušinskis,&nbsp;Matīss Linde,&nbsp;Ieva Briede,&nbsp;Inga Narbute,&nbsp;Sanda Jēgere,&nbsp;Kārlis Griķis,&nbsp;Kārlis Štrenge,&nbsp;Andrejs Ērglis\",\"doi\":\"\",\"DOIUrl\":null,\"url\":null,\"abstract\":\"<p><strong>Background and aim: </strong>Atherosclerosis is considered to be a systemic disease; however, evidence exists on the heterogeneous nature of atherosclerotic disease. To date, continuous research seeks to determine the morphological differences between carotid and coronary artery disease. This study aimed to evaluate the relationship of morphological characteristics assessed by virtual histology intravascular ultrasound (VH-IVUS) between carotid and coronary plaque composition among patients with and without a history of cerebrovascular events.</p><p><strong>Methods: </strong>This study was a single-center prospective study (<i>n</i> = 100; age 69.6 ± 8.4). All patients were scheduled for carotid or coronary artery stenting and underwent VH-IVUS examination of the carotid and coronary arteries before intervention.</p><p><strong>Results: </strong>There was a modest, but statistically significant correlation between the carotid and coronary necrotic core ([NC] r = 0.46, <i>P</i> < 0.01), fibrofatty ([FF] r = 0.38, <i>P</i> < 0.01), dense calcium (r = 0.56, <i>P</i> < 0.01), and fibrous (r = 0.42, <i>P</i> < 0.01) plaque composition. The high amount of NC was detected in both arteries of the carotid artery stenting (CAS) group with higher proportion in the coronary artery (20.2% ± 9.4 % vs. 22.7% ± 6.8%, <i>P</i> = 0.02). More fibrolipid content was observed in carotid plaque compared to coronary (19.6% ± 9.9% vs. 12.2% ± 8.1%, <i>P</i> < 0.01). Patients with a history of cerebrovascular events had a numerically greater proportion of necrotic tissue in the carotid artery compared to asymptomatic and symptomatic CAS group patients (23.5% ± 10.7% vs. 18.9% ± 8.2% and 18.7% ± 9.5%, <i>P</i> = 0.11).</p><p><strong>Conclusion: </strong>The percentage of all analyzed plaque components was moderately correlated between coronary and carotid artery plaques. Nevertheless, the proportion of NC plaque tissue was greater in the coronary arteries, while the carotid arteries showed more %FF atherosclerotic lesions. CAS group patients with a history of cerebrovascular events had a tendency of greater proportion of necrotic tissue in analyzed carotid plaques compared to others in the CAS group.</p><p><strong>Relevance for patients: </strong>In this study, we found that patients with a history of cerebrovascular event had a tendency of increased NC content in culprit lesion of carotid artery. Complementary use of non-invasive and invasive imaging modalities allows to detect high-risk atherosclerotic plaques and adjust treatment strategy.</p>\",\"PeriodicalId\":15482,\"journal\":{\"name\":\"Journal of Clinical and Translational Research\",\"volume\":\"9 4\",\"pages\":\"253-260\"},\"PeriodicalIF\":0.0000,\"publicationDate\":\"2023-08-31\",\"publicationTypes\":\"Journal Article\",\"fieldsOfStudy\":null,\"isOpenAccess\":false,\"openAccessPdf\":\"https://ftp.ncbi.nlm.nih.gov/pub/pmc/oa_pdf/56/5a/jclintranslres-2023-9-4-253.PMC10431194.pdf\",\"citationCount\":\"0\",\"resultStr\":null,\"platform\":\"Semanticscholar\",\"paperid\":null,\"PeriodicalName\":\"Journal of Clinical and Translational Research\",\"FirstCategoryId\":\"1085\",\"ListUrlMain\":\"\",\"RegionNum\":0,\"RegionCategory\":null,\"ArticlePicture\":[],\"TitleCN\":null,\"AbstractTextCN\":null,\"PMCID\":null,\"EPubDate\":\"\",\"PubModel\":\"\",\"JCR\":\"\",\"JCRName\":\"\",\"Score\":null,\"Total\":0}","platform":"Semanticscholar","paperid":null,"PeriodicalName":"Journal of Clinical and Translational Research","FirstCategoryId":"1085","ListUrlMain":"","RegionNum":0,"RegionCategory":null,"ArticlePicture":[],"TitleCN":null,"AbstractTextCN":null,"PMCID":null,"EPubDate":"","PubModel":"","JCR":"","JCRName":"","Score":null,"Total":0}
引用次数: 0

摘要

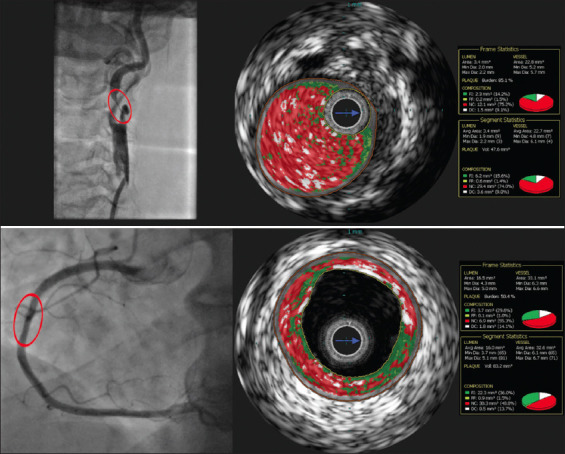
背景与目的:动脉粥样硬化被认为是一种全身性疾病;然而,有证据表明动脉粥样硬化性疾病具有异质性。迄今为止,持续的研究试图确定颈动脉和冠状动脉疾病之间的形态学差异。本研究旨在评估有和无脑血管事件史患者的颈动脉和冠状动脉斑块组成之间的形态学特征与虚拟组织学血管内超声(VH-IVUS)的关系。方法:本研究为单中心前瞻性研究(n = 100;年龄(69.6±8.4)。所有患者均计划行颈动脉或冠状动脉支架植入术,干预前行颈动脉和冠状动脉VH-IVUS检查。结果:颈动脉与冠状动脉坏死核心([NC] r = 0.46, P < 0.01)、纤维脂肪([FF] r = 0.38, P < 0.01)、致密钙(r = 0.56, P < 0.01)、纤维斑块(r = 0.42, P < 0.01)组成相关性不高,但有统计学意义。颈动脉支架置入术(CAS)组两支动脉均可见高含量的NC,冠状动脉比例更高(20.2%±9.4% vs. 22.7%±6.8%,P = 0.02)。颈动脉斑块纤维脂含量高于冠状动脉(19.6%±9.9%比12.2%±8.1%,P < 0.01)。与无症状和有症状的CAS组患者相比,有脑血管事件史的患者颈动脉坏死组织的比例更高(23.5%±10.7% vs. 18.9%±8.2%和18.7%±9.5%,P = 0.11)。结论:所有分析斑块成分的百分比在冠状动脉斑块和颈动脉斑块之间有中度相关性。然而,冠状动脉中NC斑块组织的比例更大,而颈动脉显示更多的%FF动脉粥样硬化病变。与CAS组其他患者相比,有脑血管事件史的CAS组患者在分析的颈动脉斑块中坏死组织的比例更大。患者相关性:在本研究中,我们发现有脑血管事件史的患者颈动脉罪魁病变NC含量有升高的趋势。非侵入性和侵入性成像方式的互补使用可以发现高危动脉粥样硬化斑块并调整治疗策略。
本文章由计算机程序翻译,如有差异,请以英文原文为准。

Association between carotid and coronary atherosclerotic plaque morphology: a virtual histology intravascular ultrasound study.

Association between carotid and coronary atherosclerotic plaque morphology: a virtual histology intravascular ultrasound study.

Association between carotid and coronary atherosclerotic plaque morphology: a virtual histology intravascular ultrasound study.

Background and aim: Atherosclerosis is considered to be a systemic disease; however, evidence exists on the heterogeneous nature of atherosclerotic disease. To date, continuous research seeks to determine the morphological differences between carotid and coronary artery disease. This study aimed to evaluate the relationship of morphological characteristics assessed by virtual histology intravascular ultrasound (VH-IVUS) between carotid and coronary plaque composition among patients with and without a history of cerebrovascular events.

Methods: This study was a single-center prospective study (n = 100; age 69.6 ± 8.4). All patients were scheduled for carotid or coronary artery stenting and underwent VH-IVUS examination of the carotid and coronary arteries before intervention.

Results: There was a modest, but statistically significant correlation between the carotid and coronary necrotic core ([NC] r = 0.46, P < 0.01), fibrofatty ([FF] r = 0.38, P < 0.01), dense calcium (r = 0.56, P < 0.01), and fibrous (r = 0.42, P < 0.01) plaque composition. The high amount of NC was detected in both arteries of the carotid artery stenting (CAS) group with higher proportion in the coronary artery (20.2% ± 9.4 % vs. 22.7% ± 6.8%, P = 0.02). More fibrolipid content was observed in carotid plaque compared to coronary (19.6% ± 9.9% vs. 12.2% ± 8.1%, P < 0.01). Patients with a history of cerebrovascular events had a numerically greater proportion of necrotic tissue in the carotid artery compared to asymptomatic and symptomatic CAS group patients (23.5% ± 10.7% vs. 18.9% ± 8.2% and 18.7% ± 9.5%, P = 0.11).

Conclusion: The percentage of all analyzed plaque components was moderately correlated between coronary and carotid artery plaques. Nevertheless, the proportion of NC plaque tissue was greater in the coronary arteries, while the carotid arteries showed more %FF atherosclerotic lesions. CAS group patients with a history of cerebrovascular events had a tendency of greater proportion of necrotic tissue in analyzed carotid plaques compared to others in the CAS group.

Relevance for patients: In this study, we found that patients with a history of cerebrovascular event had a tendency of increased NC content in culprit lesion of carotid artery. Complementary use of non-invasive and invasive imaging modalities allows to detect high-risk atherosclerotic plaques and adjust treatment strategy.

求助全文
通过发布文献求助,成功后即可免费获取论文全文。 去求助
来源期刊
自引率
0.00%
发文量
0
×
引用
GB/T 7714-2015
复制
MLA
复制
APA
复制
导出至
BibTeX EndNote RefMan NoteFirst NoteExpress
×
提示
您的信息不完整,为了账户安全,请先补充。
现在去补充
×
提示
您因"违规操作"
具体请查看互助需知
我知道了
×
提示
确定
请完成安全验证×
copy
已复制链接
快去分享给好友吧!
我知道了
右上角分享
点击右上角分享
0
联系我们:info@booksci.cn Book学术提供免费学术资源搜索服务,方便国内外学者检索中英文文献。致力于提供最便捷和优质的服务体验。 Copyright © 2023 布克学术 All rights reserved.
京ICP备2023020795号-1
ghs 京公网安备 11010802042870号
Book学术文献互助
Book学术文献互助群
群 号:604180095
Book学术官方微信