采用翼管法手术切除未破裂的颅内动脉瘤后慢性硬膜下血肿的自然病程。

Su-Bin Kweon, Suchel Kim, Min-Yong Kwon, Chang-Hyun Kim, Sae Min Kwon, Yong San Ko, Chang-Young Lee
{"title":"采用翼管法手术切除未破裂的颅内动脉瘤后慢性硬膜下血肿的自然病程。","authors":"Su-Bin Kweon, Suchel Kim, Min-Yong Kwon, Chang-Hyun Kim, Sae Min Kwon, Yong San Ko, Chang-Young Lee","doi":"10.7461/jcen.2023.E2023.04.017","DOIUrl":null,"url":null,"abstract":"<p><strong>Objective: </strong>Chronic subdural hematoma (CSDH) is a neurological complication following clipping surgery. However, the natural course and ideal approach for the treatment of clipping-related-CSDH (CR-CSDH) have not been clearly established. We aimed to investigate the course of CR-CSDH using chronological radiological findings.</p><p><strong>Methods: </strong>We performed a retrospective analysis of 28 (3.8%) patients who developed CSDH among 736 patients who underwent surgical clipping using pterional approach for unruptured aneurysms at our institution between December 2010 and December 2018. Patients underwent follow-up CT scan 6-8 weeks after clipping surgery and decision to pursue surgical intervention rests upon the patient's symptom based on the Markwalder's grading scale (MGS) and numeric rating scale (NRS).</p><p><strong>Results: </strong>Of the 28 patients, 3 patients (10.7%) underwent surgery, while 25 (89.2%) showed spontaneous resolution of CR-CSDH. Eighteen patients (64.2%) had mild headache with MGS of 0-1. The mean maximum hematoma volume was 41.9±30.9 ml (5.8-135 ml), and 26 patients (92.8%) had homogeneous hematoma. The mean time to hematoma resolution was 126.7±52.9 days (46-228 days). Comparing group of CR-CSDH volume ≥43 ml or a midline shift ≥5 mm, the difference in presence of linear low-density area (p=0.002) and age (p=0.026) between the conservative and operative groups were found to be statistically significant.</p><p><strong>Conclusions: </strong>Most CR-CSDH cases spontaneously resolved within 4 months. Therefore, we suggest that close observation should be performed if patient's symptoms are mild and special radiologic findings are present, despite its relatively large volume and midline shifting.</p>","PeriodicalId":15359,"journal":{"name":"Journal of Cerebrovascular and Endovascular Neurosurgery","volume":" ","pages":"390-402"},"PeriodicalIF":0.0000,"publicationDate":"2023-12-01","publicationTypes":"Journal Article","fieldsOfStudy":null,"isOpenAccess":false,"openAccessPdf":"https://www.ncbi.nlm.nih.gov/pmc/articles/PMC10774672/pdf/","citationCount":"0","resultStr":"{\"title\":\"Natural course of chronic subdural hematoma following surgical clipping of unruptured intracranial aneurysm by pterional approach.\",\"authors\":\"Su-Bin Kweon, Suchel Kim, Min-Yong Kwon, Chang-Hyun Kim, Sae Min Kwon, Yong San Ko, Chang-Young Lee\",\"doi\":\"10.7461/jcen.2023.E2023.04.017\",\"DOIUrl\":null,\"url\":null,\"abstract\":\"<p><strong>Objective: </strong>Chronic subdural hematoma (CSDH) is a neurological complication following clipping surgery. However, the natural course and ideal approach for the treatment of clipping-related-CSDH (CR-CSDH) have not been clearly established. We aimed to investigate the course of CR-CSDH using chronological radiological findings.</p><p><strong>Methods: </strong>We performed a retrospective analysis of 28 (3.8%) patients who developed CSDH among 736 patients who underwent surgical clipping using pterional approach for unruptured aneurysms at our institution between December 2010 and December 2018. Patients underwent follow-up CT scan 6-8 weeks after clipping surgery and decision to pursue surgical intervention rests upon the patient's symptom based on the Markwalder's grading scale (MGS) and numeric rating scale (NRS).</p><p><strong>Results: </strong>Of the 28 patients, 3 patients (10.7%) underwent surgery, while 25 (89.2%) showed spontaneous resolution of CR-CSDH. Eighteen patients (64.2%) had mild headache with MGS of 0-1. The mean maximum hematoma volume was 41.9±30.9 ml (5.8-135 ml), and 26 patients (92.8%) had homogeneous hematoma. The mean time to hematoma resolution was 126.7±52.9 days (46-228 days). Comparing group of CR-CSDH volume ≥43 ml or a midline shift ≥5 mm, the difference in presence of linear low-density area (p=0.002) and age (p=0.026) between the conservative and operative groups were found to be statistically significant.</p><p><strong>Conclusions: </strong>Most CR-CSDH cases spontaneously resolved within 4 months. Therefore, we suggest that close observation should be performed if patient's symptoms are mild and special radiologic findings are present, despite its relatively large volume and midline shifting.</p>\",\"PeriodicalId\":15359,\"journal\":{\"name\":\"Journal of Cerebrovascular and Endovascular Neurosurgery\",\"volume\":\" \",\"pages\":\"390-402\"},\"PeriodicalIF\":0.0000,\"publicationDate\":\"2023-12-01\",\"publicationTypes\":\"Journal Article\",\"fieldsOfStudy\":null,\"isOpenAccess\":false,\"openAccessPdf\":\"https://www.ncbi.nlm.nih.gov/pmc/articles/PMC10774672/pdf/\",\"citationCount\":\"0\",\"resultStr\":null,\"platform\":\"Semanticscholar\",\"paperid\":null,\"PeriodicalName\":\"Journal of Cerebrovascular and Endovascular Neurosurgery\",\"FirstCategoryId\":\"1085\",\"ListUrlMain\":\"https://doi.org/10.7461/jcen.2023.E2023.04.017\",\"RegionNum\":0,\"RegionCategory\":null,\"ArticlePicture\":[],\"TitleCN\":null,\"AbstractTextCN\":null,\"PMCID\":null,\"EPubDate\":\"2023/8/14 0:00:00\",\"PubModel\":\"Epub\",\"JCR\":\"\",\"JCRName\":\"\",\"Score\":null,\"Total\":0}","platform":"Semanticscholar","paperid":null,"PeriodicalName":"Journal of Cerebrovascular and Endovascular Neurosurgery","FirstCategoryId":"1085","ListUrlMain":"https://doi.org/10.7461/jcen.2023.E2023.04.017","RegionNum":0,"RegionCategory":null,"ArticlePicture":[],"TitleCN":null,"AbstractTextCN":null,"PMCID":null,"EPubDate":"2023/8/14 0:00:00","PubModel":"Epub","JCR":"","JCRName":"","Score":null,"Total":0}
引用次数: 0

摘要

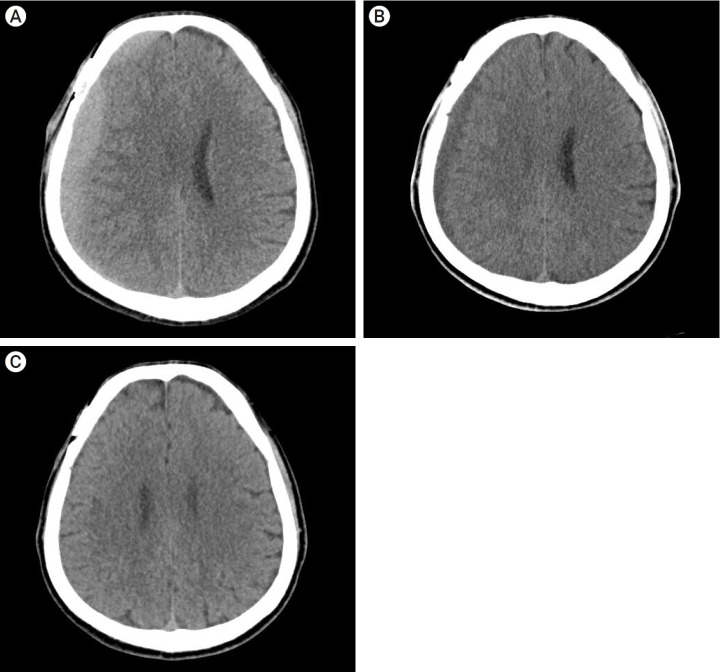
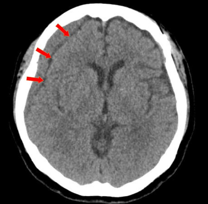
目的:慢性硬膜下血肿(CSDH)是剪切手术后的一种神经并发症。然而,与剪切相关的慢性硬膜下血肿(CSDH)的自然病程和理想治疗方法尚未明确。我们的目的是利用年代学影像学结果研究 CR-CSDH 的病程:我们对 2010 年 12 月至 2018 年 12 月期间在我院接受手术剪切的 736 例未破裂动脉瘤患者中的 28 例(3.8%)发生 CSDH 的患者进行了回顾性分析。患者在夹闭手术后6-8周接受随访CT扫描,并根据患者的症状(基于马克瓦尔德分级量表(MGS)和数字评分量表(NRS))决定是否进行手术干预:在28名患者中,3名患者(10.7%)接受了手术治疗,25名患者(89.2%)的CR-CSDH症状自行缓解。18名患者(64.2%)有轻微头痛,MGS为0-1。平均最大血肿量为 41.9±30.9 毫升(5.8-135 毫升),26 例患者(92.8%)的血肿为均质血肿。血肿消退的平均时间为(126.7±52.9)天(46-228 天)。比较CR-CSDH体积≥43毫升或中线移位≥5毫米的组别,发现保守组和手术组在是否存在线性低密度区(P=0.002)和年龄(P=0.026)方面差异有统计学意义:大多数CR-CSDH病例在4个月内自发缓解。因此,我们建议,尽管CR-CSDH体积相对较大且中线移位,但如果患者症状轻微且有特殊的影像学发现,则应密切观察。
本文章由计算机程序翻译,如有差异,请以英文原文为准。

Natural course of chronic subdural hematoma following surgical clipping of unruptured intracranial aneurysm by pterional approach.

Natural course of chronic subdural hematoma following surgical clipping of unruptured intracranial aneurysm by pterional approach.

Natural course of chronic subdural hematoma following surgical clipping of unruptured intracranial aneurysm by pterional approach.

Natural course of chronic subdural hematoma following surgical clipping of unruptured intracranial aneurysm by pterional approach.

Objective: Chronic subdural hematoma (CSDH) is a neurological complication following clipping surgery. However, the natural course and ideal approach for the treatment of clipping-related-CSDH (CR-CSDH) have not been clearly established. We aimed to investigate the course of CR-CSDH using chronological radiological findings.

Methods: We performed a retrospective analysis of 28 (3.8%) patients who developed CSDH among 736 patients who underwent surgical clipping using pterional approach for unruptured aneurysms at our institution between December 2010 and December 2018. Patients underwent follow-up CT scan 6-8 weeks after clipping surgery and decision to pursue surgical intervention rests upon the patient's symptom based on the Markwalder's grading scale (MGS) and numeric rating scale (NRS).

Results: Of the 28 patients, 3 patients (10.7%) underwent surgery, while 25 (89.2%) showed spontaneous resolution of CR-CSDH. Eighteen patients (64.2%) had mild headache with MGS of 0-1. The mean maximum hematoma volume was 41.9±30.9 ml (5.8-135 ml), and 26 patients (92.8%) had homogeneous hematoma. The mean time to hematoma resolution was 126.7±52.9 days (46-228 days). Comparing group of CR-CSDH volume ≥43 ml or a midline shift ≥5 mm, the difference in presence of linear low-density area (p=0.002) and age (p=0.026) between the conservative and operative groups were found to be statistically significant.

Conclusions: Most CR-CSDH cases spontaneously resolved within 4 months. Therefore, we suggest that close observation should be performed if patient's symptoms are mild and special radiologic findings are present, despite its relatively large volume and midline shifting.

求助全文
通过发布文献求助,成功后即可免费获取论文全文。 去求助
来源期刊
自引率
0.00%
发文量
0
×
引用
GB/T 7714-2015
复制
MLA
复制
APA
复制
导出至
BibTeX EndNote RefMan NoteFirst NoteExpress
×
提示
您的信息不完整,为了账户安全,请先补充。
现在去补充
×
提示
您因"违规操作"
具体请查看互助需知
我知道了
×
提示
确定
请完成安全验证×
copy
已复制链接
快去分享给好友吧!
我知道了
右上角分享
点击右上角分享
0
联系我们:info@booksci.cn Book学术提供免费学术资源搜索服务,方便国内外学者检索中英文文献。致力于提供最便捷和优质的服务体验。 Copyright © 2023 布克学术 All rights reserved.
京ICP备2023020795号-1
ghs 京公网安备 11010802042870号
Book学术文献互助
Book学术文献互助群
群 号:604180095
Book学术官方微信