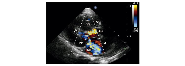
1例4岁儿童明显的同心心肌肥厚,术后进展良好。

IF 2 4区 医学 Q3 CARDIAC & CARDIOVASCULAR SYSTEMS
Arquivos Brasileiros de Cardiologia Pub Date : 2023-06-19 eCollection Date: 2023-01-01 DOI:10.36660/abc.20220869
Edmar Atik, Gabriela Nunes Leal, Marcelo B Jatene
{"title":"1例4岁儿童明显的同心心肌肥厚,术后进展良好。","authors":"Edmar Atik, Gabriela Nunes Leal, Marcelo B Jatene","doi":"10.36660/abc.20220869","DOIUrl":null,"url":null,"abstract":"","PeriodicalId":8399,"journal":{"name":"Arquivos Brasileiros de Cardiologia","volume":"120 5","pages":"e20220869"},"PeriodicalIF":2.0000,"publicationDate":"2023-06-19","publicationTypes":"Journal Article","fieldsOfStudy":null,"isOpenAccess":false,"openAccessPdf":"https://www.ncbi.nlm.nih.gov/pmc/articles/PMC12092034/pdf/","citationCount":"0","resultStr":"{\"title\":\"Marked Concentric Myocardial Hypertrophy with Good Postoperative Evolution in a 4 Years Old Child.\",\"authors\":\"Edmar Atik, Gabriela Nunes Leal, Marcelo B Jatene\",\"doi\":\"10.36660/abc.20220869\",\"DOIUrl\":null,\"url\":null,\"abstract\":\"\",\"PeriodicalId\":8399,\"journal\":{\"name\":\"Arquivos Brasileiros de Cardiologia\",\"volume\":\"120 5\",\"pages\":\"e20220869\"},\"PeriodicalIF\":2.0000,\"publicationDate\":\"2023-06-19\",\"publicationTypes\":\"Journal Article\",\"fieldsOfStudy\":null,\"isOpenAccess\":false,\"openAccessPdf\":\"https://www.ncbi.nlm.nih.gov/pmc/articles/PMC12092034/pdf/\",\"citationCount\":\"0\",\"resultStr\":null,\"platform\":\"Semanticscholar\",\"paperid\":null,\"PeriodicalName\":\"Arquivos Brasileiros de Cardiologia\",\"FirstCategoryId\":\"3\",\"ListUrlMain\":\"https://doi.org/10.36660/abc.20220869\",\"RegionNum\":4,\"RegionCategory\":\"医学\",\"ArticlePicture\":[],\"TitleCN\":null,\"AbstractTextCN\":null,\"PMCID\":null,\"EPubDate\":\"2023/1/1 0:00:00\",\"PubModel\":\"eCollection\",\"JCR\":\"Q3\",\"JCRName\":\"CARDIAC & CARDIOVASCULAR SYSTEMS\",\"Score\":null,\"Total\":0}","platform":"Semanticscholar","paperid":null,"PeriodicalName":"Arquivos Brasileiros de Cardiologia","FirstCategoryId":"3","ListUrlMain":"https://doi.org/10.36660/abc.20220869","RegionNum":4,"RegionCategory":"医学","ArticlePicture":[],"TitleCN":null,"AbstractTextCN":null,"PMCID":null,"EPubDate":"2023/1/1 0:00:00","PubModel":"eCollection","JCR":"Q3","JCRName":"CARDIAC & CARDIOVASCULAR SYSTEMS","Score":null,"Total":0}
引用次数: 0

摘要

本文章由计算机程序翻译,如有差异,请以英文原文为准。

Marked Concentric Myocardial Hypertrophy with Good Postoperative Evolution in a 4 Years Old Child.

Marked Concentric Myocardial Hypertrophy with Good Postoperative Evolution in a 4 Years Old Child.

Marked Concentric Myocardial Hypertrophy with Good Postoperative Evolution in a 4 Years Old Child.

Marked Concentric Myocardial Hypertrophy with Good Postoperative Evolution in a 4 Years Old Child.
求助全文
通过发布文献求助,成功后即可免费获取论文全文。 去求助
来源期刊
Arquivos Brasileiros de Cardiologia
Arquivos Brasileiros de Cardiologia 医学-心血管系统
CiteScore
3.70
自引率
30.80%
发文量
234
审稿时长
3-8 weeks
期刊介绍: With more than 70 years of existence, Arquivos Brasileiros de Cardiologia is the main channel for the dissemination of Brazilian scientific research on cardiovascular sciences. Published in two languages and indexed in major international databases, all scientific contributions are peer-reviewed and reviewed by editorial board members selected among the most reputable researchers in Brazil and abroad. The manuscripts are reviewed according to their relevance and originality, scientific accuracy and level of importance for the advancement of science. With an average time of nine months between the initial submission and the effective publication of the manuscripts, and less than seven months until they are published on PubMed, Arquivos Brasileiros de Cardiologia can ensure the quick inclusion of the researchers’ papers in the international literature.
×
引用
GB/T 7714-2015
复制
MLA
复制
APA
复制
导出至
BibTeX EndNote RefMan NoteFirst NoteExpress
×
提示
您的信息不完整,为了账户安全,请先补充。
现在去补充
×
提示
您因"违规操作"
具体请查看互助需知
我知道了
×
提示
确定
请完成安全验证×
copy
已复制链接
快去分享给好友吧!
我知道了
右上角分享
点击右上角分享
0
联系我们:info@booksci.cn Book学术提供免费学术资源搜索服务,方便国内外学者检索中英文文献。致力于提供最便捷和优质的服务体验。 Copyright © 2023 布克学术 All rights reserved.
京ICP备2023020795号-1
ghs 京公网安备 11010802042870号
Book学术文献互助
Book学术文献互助群
群 号:604180095
Book学术官方微信