Flow diversion of a middle cerebral artery pseudoaneurysm secondary to a gunshot wound: A case report.

Justin C Gelman, Max Shutran, Michael Young, Philipp Taussky, Rafael A Vega, Rocco Armonda, Christopher S Ogilvy
{"title":"Flow diversion of a middle cerebral artery pseudoaneurysm secondary to a gunshot wound: A case report.","authors":"Justin C Gelman, Max Shutran, Michael Young, Philipp Taussky, Rafael A Vega, Rocco Armonda, Christopher S Ogilvy","doi":"10.7461/jcen.2023.E2022.11.001","DOIUrl":null,"url":null,"abstract":"<p><p>Pseudoaneurysms are rare but devastating complications of penetrating head traumas. They require rapid surgical or endovascular intervention due to their high risk of rupture; however, complex presentations may limit treatment options. Our objective is to report a case of severe vasospasm, flow diversion, and in-stent stenosis complicating the treatment of a middle cerebral artery pseudoaneurysm following a gunshot wound. A 33-year-old woman presented with multiple calvarial and bullet fragments within the right frontotemporal lobes and a large right frontotemporal intraparenchymal hemorrhage with significant cerebral edema. She underwent an emergent right hemicraniectomy for decompression, removal of bullet fragments, and evacuation of hemorrhage. Once stable enough for diagnostic cerebral angiography, she was found to have an M1 pseudoaneurysm with severe vasospasm that precluded endovascular treatment until the vasospasm resolved. The pseudoaneurysm was treated with flow diversion and in-stent stenosis was found at 4-month follow-up angiography that resolved by 8 months post-embolization. We report the successful flow diversion of an middle cerebral artery (MCA) pseudoaneurysm complicated by severe vasospasm and later in-stent stenosis. The presence of asymptomatic stenosis is believed to be reversible intimal hyperplasia and a normal aspect of endothelial healing. We suggest careful observation and dual-antiplatelet therapy as a justified approach.</p>","PeriodicalId":15359,"journal":{"name":"Journal of Cerebrovascular and Endovascular Neurosurgery","volume":" ","pages":"434-439"},"PeriodicalIF":0.0000,"publicationDate":"2023-12-01","publicationTypes":"Journal Article","fieldsOfStudy":null,"isOpenAccess":false,"openAccessPdf":"https://www.ncbi.nlm.nih.gov/pmc/articles/PMC10774673/pdf/","citationCount":"0","resultStr":null,"platform":"Semanticscholar","paperid":null,"PeriodicalName":"Journal of Cerebrovascular and Endovascular Neurosurgery","FirstCategoryId":"1085","ListUrlMain":"https://doi.org/10.7461/jcen.2023.E2022.11.001","RegionNum":0,"RegionCategory":null,"ArticlePicture":[],"TitleCN":null,"AbstractTextCN":null,"PMCID":null,"EPubDate":"2023/5/24 0:00:00","PubModel":"Epub","JCR":"","JCRName":"","Score":null,"Total":0}
引用次数: 0

Abstract

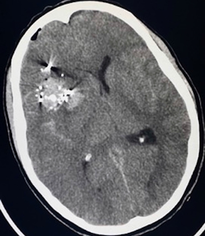
Pseudoaneurysms are rare but devastating complications of penetrating head traumas. They require rapid surgical or endovascular intervention due to their high risk of rupture; however, complex presentations may limit treatment options. Our objective is to report a case of severe vasospasm, flow diversion, and in-stent stenosis complicating the treatment of a middle cerebral artery pseudoaneurysm following a gunshot wound. A 33-year-old woman presented with multiple calvarial and bullet fragments within the right frontotemporal lobes and a large right frontotemporal intraparenchymal hemorrhage with significant cerebral edema. She underwent an emergent right hemicraniectomy for decompression, removal of bullet fragments, and evacuation of hemorrhage. Once stable enough for diagnostic cerebral angiography, she was found to have an M1 pseudoaneurysm with severe vasospasm that precluded endovascular treatment until the vasospasm resolved. The pseudoaneurysm was treated with flow diversion and in-stent stenosis was found at 4-month follow-up angiography that resolved by 8 months post-embolization. We report the successful flow diversion of an middle cerebral artery (MCA) pseudoaneurysm complicated by severe vasospasm and later in-stent stenosis. The presence of asymptomatic stenosis is believed to be reversible intimal hyperplasia and a normal aspect of endothelial healing. We suggest careful observation and dual-antiplatelet therapy as a justified approach.

Abstract Image

Abstract Image

Abstract Image

继发于枪伤的大脑中动脉假性动脉瘤的血流转向:病例报告。
假性动脉瘤是头部穿透性创伤的罕见并发症,但却具有破坏性。由于假性动脉瘤破裂的风险很高,因此需要快速进行手术或血管内介入治疗;然而,复杂的表现形式可能会限制治疗方案的选择。我们的目的是报告一例在治疗枪伤后大脑中动脉假性动脉瘤时并发严重血管痉挛、血流分流和支架内狭窄的病例。一名 33 岁的女性患者右额颞叶内有多块颅骨和子弹碎片,右额颞叶大面积实质内出血并伴有明显的脑水肿。她紧急接受了右侧颅骨切除术,以减压、取出子弹碎片并清除出血。病情稳定后进行了脑血管造影诊断,发现她患有 M1 假性动脉瘤,并伴有严重的血管痉挛,在血管痉挛缓解之前无法进行血管内治疗。该假性动脉瘤接受了血流改道治疗,4 个月的随访血管造影发现支架内狭窄,栓塞后 8 个月狭窄消除。我们报告了对并发严重血管痉挛和支架内狭窄的大脑中动脉(MCA)假性动脉瘤进行血流改道的成功案例。无症状狭窄的存在被认为是可逆的内膜增生,是内皮愈合的一个正常方面。我们建议采用仔细观察和双重抗血小板治疗的合理方法。
本文章由计算机程序翻译,如有差异,请以英文原文为准。
求助全文
约1分钟内获得全文 求助全文
来源期刊
自引率
0.00%
发文量
0
×
引用
GB/T 7714-2015
复制
MLA
复制
APA
复制
导出至
BibTeX EndNote RefMan NoteFirst NoteExpress
×
提示
您的信息不完整,为了账户安全,请先补充。
现在去补充
×
提示
您因"违规操作"
具体请查看互助需知
我知道了
×
提示
确定
请完成安全验证×
copy
已复制链接
快去分享给好友吧!
我知道了
右上角分享
点击右上角分享
0
联系我们:info@booksci.cn Book学术提供免费学术资源搜索服务,方便国内外学者检索中英文文献。致力于提供最便捷和优质的服务体验。 Copyright © 2023 布克学术 All rights reserved.
京ICP备2023020795号-1
ghs 京公网安备 11010802042870号
Book学术文献互助
Book学术文献互助群
群 号:604180095
Book学术官方微信