Emergency Cricothyrotomy in a Harsh Environment: A Case Report of Complete Airway Obstruction Following a Lightning Strike.

IF 0.5
A&A Practice Pub Date : 2023-06-19 eCollection Date: 2023-06-01 DOI:10.1213/XAA.0000000000001688
Barbara Pizzi, Emiliano Petrucci, Franco Marinangeli
{"title":"Emergency Cricothyrotomy in a Harsh Environment: A Case Report of Complete Airway Obstruction Following a Lightning Strike.","authors":"Barbara Pizzi, Emiliano Petrucci, Franco Marinangeli","doi":"10.1213/XAA.0000000000001688","DOIUrl":null,"url":null,"abstract":"<p><p>A lightning strike is an extreme event with the highest mortality rate among electrical injuries. Death from a lightning strike is caused by either cardiac arrest or respiratory arrest. It is rare for upper airway damage to occur, but in these cases, airway control is recommended. If transoral intubation is unsuccessful, an emergency cricothyrotomy should be considered. Our case report describes an emergency cricothyroidotomy performed in a harsh environment on a mountain 2300 m above sea level on a patient with extensive burns of his supraglottic structures, after being directly hit by a lightning strike.</p>","PeriodicalId":7307,"journal":{"name":"A&A Practice","volume":"17 6","pages":"e01688"},"PeriodicalIF":0.5000,"publicationDate":"2023-06-19","publicationTypes":"Journal Article","fieldsOfStudy":null,"isOpenAccess":false,"openAccessPdf":"https://www.ncbi.nlm.nih.gov/pmc/articles/PMC10977055/pdf/","citationCount":"0","resultStr":null,"platform":"Semanticscholar","paperid":null,"PeriodicalName":"A&A Practice","FirstCategoryId":"1085","ListUrlMain":"https://doi.org/10.1213/XAA.0000000000001688","RegionNum":0,"RegionCategory":null,"ArticlePicture":[],"TitleCN":null,"AbstractTextCN":null,"PMCID":null,"EPubDate":"2023/6/1 0:00:00","PubModel":"eCollection","JCR":"","JCRName":"","Score":null,"Total":0}
引用次数: 0

Abstract

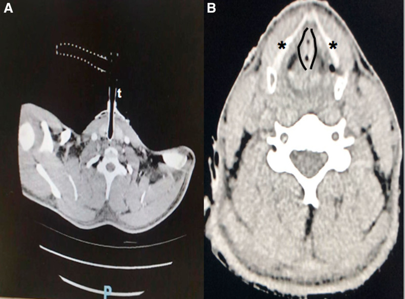
A lightning strike is an extreme event with the highest mortality rate among electrical injuries. Death from a lightning strike is caused by either cardiac arrest or respiratory arrest. It is rare for upper airway damage to occur, but in these cases, airway control is recommended. If transoral intubation is unsuccessful, an emergency cricothyrotomy should be considered. Our case report describes an emergency cricothyroidotomy performed in a harsh environment on a mountain 2300 m above sea level on a patient with extensive burns of his supraglottic structures, after being directly hit by a lightning strike.

Abstract Image

Abstract Image

恶劣环境下紧急环甲环甲切开术:雷击后气道完全阻塞1例报告。
雷击是电气伤害中死亡率最高的极端事件。雷击致死是由心脏骤停或呼吸骤停引起的。很少发生上呼吸道损伤,但在这些情况下,建议进行气道控制。如果经口插管不成功,应考虑紧急环甲环切开术。我们的病例报告描述了在海拔2300米的山区的恶劣环境中,对一位直接被雷击后声门上结构大面积烧伤的患者进行了紧急环甲环切开术。
本文章由计算机程序翻译,如有差异,请以英文原文为准。
求助全文
约1分钟内获得全文 求助全文
来源期刊
A&A Practice
A&A Practice ANESTHESIOLOGY-
自引率
0.00%
发文量
0
期刊介绍: A & A Case Reports, our new online journal publishing Case Reports, related Editorial Commentary, and Correspondence. Anesthesia & Analgesia 1 and Anesthesiology 2 recently announced that they were suspending publication of Case Reports. One reason is that Case Reports typically reduce the Impact Factor of a journal because they are rarely cited. Regardless of the merits of Impact Factor as a metric of journal worth, journals and their editors necessarily consider Impact Factor in strategic planning. At the same time, Case Reports are appreciated by readers for describing “real life” management of difficult or unusual cases not often encountered by practitioners. In a recent issue of Anesthesia & Analgesia, Steven Shafer1 identified many Case Reports whose publication launched productive careers dedicated to solving the puzzle posed by an unusual observation in a single patient.
×
引用
GB/T 7714-2015
复制
MLA
复制
APA
复制
导出至
BibTeX EndNote RefMan NoteFirst NoteExpress
×
提示
您的信息不完整,为了账户安全,请先补充。
现在去补充
×
提示
您因"违规操作"
具体请查看互助需知
我知道了
×
提示
确定
请完成安全验证×
copy
已复制链接
快去分享给好友吧!
我知道了
右上角分享
点击右上角分享
0
联系我们:info@booksci.cn Book学术提供免费学术资源搜索服务,方便国内外学者检索中英文文献。致力于提供最便捷和优质的服务体验。 Copyright © 2023 布克学术 All rights reserved.
京ICP备2023020795号-1
ghs 京公网安备 11010802042870号
Book学术文献互助
Book学术文献互助群
群 号:604180095
Book学术官方微信