Laparoscopic management of an ileal lipoma presenting with massive gastrointestinal haemorrhage.

IF 1.1 4区 医学 Q3 SURGERY
Journal of Minimal Access Surgery Pub Date : 2024-07-01 Epub Date: 2023-03-14 DOI:10.4103/jmas.jmas_152_22
Saket Kumar, A G Harisankar, Pankaj Kumar, Abhay Kumar, Rana Parween
{"title":"Laparoscopic management of an ileal lipoma presenting with massive gastrointestinal haemorrhage.","authors":"Saket Kumar, A G Harisankar, Pankaj Kumar, Abhay Kumar, Rana Parween","doi":"10.4103/jmas.jmas_152_22","DOIUrl":null,"url":null,"abstract":"<p><strong>Abstract: </strong>Small bowel lipomas are benign submucosal neoplasm composed mainly of mature adipose tissue. Despite their rare occurrence, lipomas are the second most common benign tumour of the small intestine. These tumours are mostly small in size and remain clinically asymptomatic. However, larger lesions tend to be more symptomatic, presenting with complications such as intussusception, bleeding or obstruction. Definitive surgical or endoscopic intervention is indicated in such symptomatic lipomas. Herein, we describe a rare case of ileal lipoma presenting with ileo-ileal intussusception and a life-threatening haemorrhage that was managed by laparoscopic-assisted ileal resection.</p>","PeriodicalId":48905,"journal":{"name":"Journal of Minimal Access Surgery","volume":" ","pages":"342-344"},"PeriodicalIF":1.1000,"publicationDate":"2024-07-01","publicationTypes":"Journal Article","fieldsOfStudy":null,"isOpenAccess":false,"openAccessPdf":"https://www.ncbi.nlm.nih.gov/pmc/articles/PMC11354948/pdf/","citationCount":"0","resultStr":null,"platform":"Semanticscholar","paperid":null,"PeriodicalName":"Journal of Minimal Access Surgery","FirstCategoryId":"3","ListUrlMain":"https://doi.org/10.4103/jmas.jmas_152_22","RegionNum":4,"RegionCategory":"医学","ArticlePicture":[],"TitleCN":null,"AbstractTextCN":null,"PMCID":null,"EPubDate":"2023/3/14 0:00:00","PubModel":"Epub","JCR":"Q3","JCRName":"SURGERY","Score":null,"Total":0}
引用次数: 0

Abstract

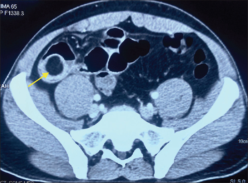
Abstract: Small bowel lipomas are benign submucosal neoplasm composed mainly of mature adipose tissue. Despite their rare occurrence, lipomas are the second most common benign tumour of the small intestine. These tumours are mostly small in size and remain clinically asymptomatic. However, larger lesions tend to be more symptomatic, presenting with complications such as intussusception, bleeding or obstruction. Definitive surgical or endoscopic intervention is indicated in such symptomatic lipomas. Herein, we describe a rare case of ileal lipoma presenting with ileo-ileal intussusception and a life-threatening haemorrhage that was managed by laparoscopic-assisted ileal resection.

Abstract Image

Abstract Image

Abstract Image

腹腔镜手术治疗伴有消化道大出血的回肠脂肪瘤。
摘要:小肠脂肪瘤是一种良性粘膜下肿瘤,主要由成熟脂肪组织组成。尽管脂肪瘤很少发生,但却是小肠第二大最常见的良性肿瘤。这些肿瘤大多体积较小,临床上无症状。然而,较大的病变往往症状较重,出现肠套叠、出血或梗阻等并发症。对于此类无症状的脂肪瘤,应采取明确的手术或内窥镜干预措施。在此,我们描述了一例罕见的回肠脂肪瘤病例,该病例伴有回肠肠套叠和危及生命的大出血,在腹腔镜辅助下进行了回肠切除术。
本文章由计算机程序翻译,如有差异,请以英文原文为准。
求助全文
约1分钟内获得全文 求助全文
来源期刊
CiteScore
1.70
自引率
0.00%
发文量
151
审稿时长
36 weeks
期刊介绍: Journal of Minimal Access Surgery (JMAS), the official publication of Indian Association of Gastrointestinal Endo Surgeons, launched in early 2005. The JMAS, a quarterly publication, is the first English-language journal from India, as also from this part of the world, dedicated to Minimal Access Surgery. The JMAS boasts an outstanding editorial board comprising of Indian and international experts in the field.
×
引用
GB/T 7714-2015
复制
MLA
复制
APA
复制
导出至
BibTeX EndNote RefMan NoteFirst NoteExpress
×
提示
您的信息不完整,为了账户安全,请先补充。
现在去补充
×
提示
您因"违规操作"
具体请查看互助需知
我知道了
×
提示
确定
请完成安全验证×
copy
已复制链接
快去分享给好友吧!
我知道了
右上角分享
点击右上角分享
0
联系我们:info@booksci.cn Book学术提供免费学术资源搜索服务,方便国内外学者检索中英文文献。致力于提供最便捷和优质的服务体验。 Copyright © 2023 布克学术 All rights reserved.
京ICP备2023020795号-1
ghs 京公网安备 11010802042870号
Book学术文献互助
Book学术文献互助群
群 号:604180095
Book学术官方微信