Comparison of Two Versus Three Bilateral Botulinum Toxin Injections Prior to Abdominal Wall Reconstruction.

Proceedings of the Royal Society of London Pub Date : 2023-06-09 eCollection Date: 2023-01-01 DOI:10.3389/jaws.2023.11382
Allard S Timmer, Faduma Ibrahim, Jeroen J M Claessen, Carolin J Aehling, Tom C P M Kemper, Martin V H Rutten, Marja A Boermeester
{"title":"Comparison of Two Versus Three Bilateral Botulinum Toxin Injections Prior to Abdominal Wall Reconstruction.","authors":"Allard S Timmer, Faduma Ibrahim, Jeroen J M Claessen, Carolin J Aehling, Tom C P M Kemper, Martin V H Rutten, Marja A Boermeester","doi":"10.3389/jaws.2023.11382","DOIUrl":null,"url":null,"abstract":"<p><p><b>Background:</b> Intramuscular injection of botulinum toxin A (BTA) induces a temporary muscle paralysis. In patients with a ventral hernia, preoperative injection of BTA in the muscles of the lateral abdominal wall (LAW) leads to thinning and lengthening of these muscles, making fascial closure more likely. In many hernia centres, treatment with BTA prior to abdominal wall reconstruction has therefore become standard care. However, evidence on the optimal BTA strategy is lacking. <b>Methods:</b> In this single-centre retrospective study, we analysed a consecutive cohort of ventral hernia patients that underwent bilateral BTA injections prior to abdominal wall reconstruction with available CT before and after BTA. We only included patients that were treated with exactly 600 units of Dysport®, diluted into 120 mL of saline, via either two- or three injections on each side into all three LAW muscle layers. The primary outcome was the change in LAW muscle length and thickness, comparing CT measures from before BTA and 4-6 weeks after the injections. <b>Results:</b> We analysed 67 patients; 30 had received two injections bilaterally and 37 had received three injections bilaterally. Baseline data showed no significant differences in LAW muscle thickness or length between groups. In both groups, the median LAW muscle thickness decreased with 0.5 cm (<i>p</i> < 0.001). The LAW muscle length increased with 0.9 cm (<i>p</i> = 0.001) and 1.2 cm (<i>p</i> < 0.001) in the two- and three bilateral injection group, respectively. The BTA-induced changes in LAW thickness and length were not significantly different between both groups (<i>p</i> = 0.809 and <i>p</i> = 0.654, respectively). <b>Discussion:</b> When using the exact same dosage and distribution volume of BTA in patients with a complex abdominal wall defect, two injections bilaterally in the lateral abdominal wall muscles are as effective as three injections bilaterally.</p>","PeriodicalId":20661,"journal":{"name":"Proceedings of the Royal Society of London","volume":"44 1","pages":"11382"},"PeriodicalIF":0.0000,"publicationDate":"2023-06-09","publicationTypes":"Journal Article","fieldsOfStudy":null,"isOpenAccess":false,"openAccessPdf":"https://www.ncbi.nlm.nih.gov/pmc/articles/PMC10831667/pdf/","citationCount":"0","resultStr":null,"platform":"Semanticscholar","paperid":null,"PeriodicalName":"Proceedings of the Royal Society of London","FirstCategoryId":"1085","ListUrlMain":"https://doi.org/10.3389/jaws.2023.11382","RegionNum":0,"RegionCategory":null,"ArticlePicture":[],"TitleCN":null,"AbstractTextCN":null,"PMCID":null,"EPubDate":"2023/1/1 0:00:00","PubModel":"eCollection","JCR":"","JCRName":"","Score":null,"Total":0}
引用次数: 0

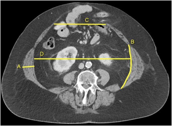
Abstract

Background: Intramuscular injection of botulinum toxin A (BTA) induces a temporary muscle paralysis. In patients with a ventral hernia, preoperative injection of BTA in the muscles of the lateral abdominal wall (LAW) leads to thinning and lengthening of these muscles, making fascial closure more likely. In many hernia centres, treatment with BTA prior to abdominal wall reconstruction has therefore become standard care. However, evidence on the optimal BTA strategy is lacking. Methods: In this single-centre retrospective study, we analysed a consecutive cohort of ventral hernia patients that underwent bilateral BTA injections prior to abdominal wall reconstruction with available CT before and after BTA. We only included patients that were treated with exactly 600 units of Dysport®, diluted into 120 mL of saline, via either two- or three injections on each side into all three LAW muscle layers. The primary outcome was the change in LAW muscle length and thickness, comparing CT measures from before BTA and 4-6 weeks after the injections. Results: We analysed 67 patients; 30 had received two injections bilaterally and 37 had received three injections bilaterally. Baseline data showed no significant differences in LAW muscle thickness or length between groups. In both groups, the median LAW muscle thickness decreased with 0.5 cm (p < 0.001). The LAW muscle length increased with 0.9 cm (p = 0.001) and 1.2 cm (p < 0.001) in the two- and three bilateral injection group, respectively. The BTA-induced changes in LAW thickness and length were not significantly different between both groups (p = 0.809 and p = 0.654, respectively). Discussion: When using the exact same dosage and distribution volume of BTA in patients with a complex abdominal wall defect, two injections bilaterally in the lateral abdominal wall muscles are as effective as three injections bilaterally.

Abstract Image

Abstract Image

腹壁重建术前注射两次与三次双侧肉毒杆菌毒素的比较
背景:肌肉注射A型肉毒毒素(BTA)可引起暂时性肌肉麻痹。对于腹股沟疝气患者,术前在侧腹壁肌肉(LAW)注射 BTA 会导致这些肌肉变薄和变长,使筋膜更容易闭合。因此,在许多疝气中心,腹壁重建前注射 BTA 已成为标准治疗方法。然而,目前还缺乏有关最佳 BTA 策略的证据。方法:在这项单中心回顾性研究中,我们分析了腹壁重建前接受双侧 BTA 注射的腹股沟疝患者的连续队列,并提供了 BTA 前后的 CT 资料。我们只纳入了在 120 毫升生理盐水中稀释了 600 单位 Dysport® 的患者,他们每侧接受了两次或三次注射,注射部位均为 LAW 的三层肌肉。主要结果是 LAW 肌肉长度和厚度的变化,比较 BTA 前和注射后 4-6 周的 CT 测量结果。结果:我们对 67 名患者进行了分析,其中 30 人接受了双侧两次注射,37 人接受了双侧三次注射。基线数据显示,两组患者的 LAW 肌肉厚度和长度无明显差异。两组患者的 LAW 肌肉厚度中位数均减少了 0.5 厘米(p < 0.001)。双侧注射组和三侧注射组的 LAW 肌肉长度分别增加了 0.9 厘米(p = 0.001)和 1.2 厘米(p < 0.001)。BTA 引起的 LAW 厚度和长度变化在两组之间无显著差异(分别为 p = 0.809 和 p = 0.654)。讨论如果对复杂腹壁缺损患者使用完全相同剂量和分布体积的 BTA,双侧腹壁肌肉注射两次与双侧注射三次同样有效。
本文章由计算机程序翻译,如有差异,请以英文原文为准。
求助全文
约1分钟内获得全文 求助全文
来源期刊
自引率
0.00%
发文量
0
×
引用
GB/T 7714-2015
复制
MLA
复制
APA
复制
导出至
BibTeX EndNote RefMan NoteFirst NoteExpress
×
提示
您的信息不完整,为了账户安全,请先补充。
现在去补充
×
提示
您因"违规操作"
具体请查看互助需知
我知道了
×
提示
确定
请完成安全验证×
copy
已复制链接
快去分享给好友吧!
我知道了
右上角分享
点击右上角分享
0
联系我们:info@booksci.cn Book学术提供免费学术资源搜索服务,方便国内外学者检索中英文文献。致力于提供最便捷和优质的服务体验。 Copyright © 2023 布克学术 All rights reserved.
京ICP备2023020795号-1
ghs 京公网安备 11010802042870号
Book学术文献互助
Book学术文献互助群
群 号:604180095
Book学术官方微信