Challenges in Diagnosis and Treatment of Fasciola hepatica Infection.

IF 0.6 4区 社会学 Q2 AREA STUDIES
British Journal of Middle Eastern Studies Pub Date : 2023-03-11 eCollection Date: 2023-03-01 DOI:10.36519/idcm.2023.197
Fatihan Pınarlık, Şiran Keske, İzzet Rozanes, Önder Ergönül
{"title":"Challenges in Diagnosis and Treatment of <i>Fasciola hepatica</i> Infection.","authors":"Fatihan Pınarlık, Şiran Keske, İzzet Rozanes, Önder Ergönül","doi":"10.36519/idcm.2023.197","DOIUrl":null,"url":null,"abstract":"<p><p>A 57-year-old female patient presented with fever, nausea, vomiting, loss of appetite, and weight loss within the last two months. Ceftriaxone and metronidazole therapy was started upon discovery of a liver abscess but provided no benefit. Following the of abscess biopsy, the patient developed fever, itching, anemia, acute renal failure, hyperbilirubinemia, and eosinophilia that required intensive care unit (ICU) admission. The <i>Fasciola hepatica</i> antibodies were detected by enzyme-linked immunosorbent assay (ELISA). Triclabendazole was started, after which the symptoms and magnetic resonance imaging (MRI) findings regressed. Even without eosinophilia, <i>F. hepatica</i> should be considered in cases with a liver abscess that does not respond to antibiotics.</p>","PeriodicalId":46267,"journal":{"name":"British Journal of Middle Eastern Studies","volume":"43 1","pages":"49-52"},"PeriodicalIF":0.6000,"publicationDate":"2023-03-11","publicationTypes":"Journal Article","fieldsOfStudy":null,"isOpenAccess":false,"openAccessPdf":"https://www.ncbi.nlm.nih.gov/pmc/articles/PMC10986698/pdf/","citationCount":"0","resultStr":null,"platform":"Semanticscholar","paperid":null,"PeriodicalName":"British Journal of Middle Eastern Studies","FirstCategoryId":"1085","ListUrlMain":"https://doi.org/10.36519/idcm.2023.197","RegionNum":4,"RegionCategory":"社会学","ArticlePicture":[],"TitleCN":null,"AbstractTextCN":null,"PMCID":null,"EPubDate":"2023/3/1 0:00:00","PubModel":"eCollection","JCR":"Q2","JCRName":"AREA STUDIES","Score":null,"Total":0}
引用次数: 0

Abstract

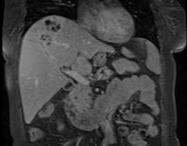
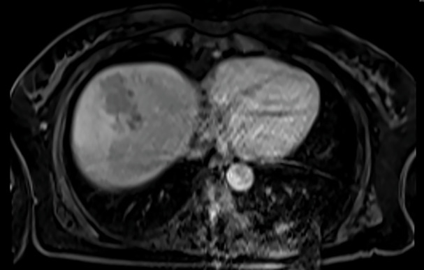
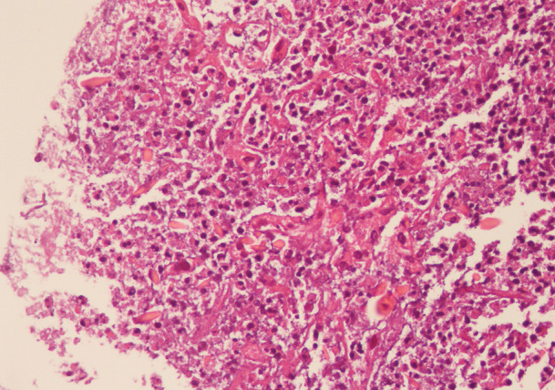
A 57-year-old female patient presented with fever, nausea, vomiting, loss of appetite, and weight loss within the last two months. Ceftriaxone and metronidazole therapy was started upon discovery of a liver abscess but provided no benefit. Following the of abscess biopsy, the patient developed fever, itching, anemia, acute renal failure, hyperbilirubinemia, and eosinophilia that required intensive care unit (ICU) admission. The Fasciola hepatica antibodies were detected by enzyme-linked immunosorbent assay (ELISA). Triclabendazole was started, after which the symptoms and magnetic resonance imaging (MRI) findings regressed. Even without eosinophilia, F. hepatica should be considered in cases with a liver abscess that does not respond to antibiotics.

Abstract Image

Abstract Image

Abstract Image

肝吸虫感染诊断和治疗的挑战。
一名 57 岁的女性患者在过去两个月内出现发烧、恶心、呕吐、食欲不振和体重减轻等症状。发现肝脓肿后,患者开始接受头孢曲松和甲硝唑治疗,但效果不佳。脓肿活检后,患者出现发热、瘙痒、贫血、急性肾衰竭、高胆红素血症和嗜酸性粒细胞增多等症状,需要入住重症监护室(ICU)。通过酶联免疫吸附试验(ELISA)检测到了法氏肝包虫抗体。开始使用三唑苯咪唑后,症状和磁共振成像(MRI)结果均有所缓解。即使没有嗜酸性粒细胞增多,如果肝脓肿对抗生素无效,也应考虑肝包虫病。
本文章由计算机程序翻译,如有差异,请以英文原文为准。
求助全文
约1分钟内获得全文 求助全文
来源期刊
CiteScore
2.00
自引率
11.10%
发文量
75
期刊介绍: The British Journal of Middle Eastern Studies is a refereed academic journal published for the British Society for Middle Eastern Studies (popularly known as BRISMES). Founded in 1974 as the BRISMES Bulletin, the British Journal of Middle Eastern Studies assumed its present title in 1991 reflecting its growth into a fully-fledged scholarly journal. The editors aim to maintain a balance in the journal"s coverage between the modern social sciences and the more traditional disciplines associated with Middle Eastern and Islamic Studies. They welcome scholarly contributions on all aspects of the Middle East from the end of classical antiquity and the rise of Islam.
×
引用
GB/T 7714-2015
复制
MLA
复制
APA
复制
导出至
BibTeX EndNote RefMan NoteFirst NoteExpress
×
提示
您的信息不完整,为了账户安全,请先补充。
现在去补充
×
提示
您因"违规操作"
具体请查看互助需知
我知道了
×
提示
确定
请完成安全验证×
copy
已复制链接
快去分享给好友吧!
我知道了
右上角分享
点击右上角分享
0
联系我们:info@booksci.cn Book学术提供免费学术资源搜索服务,方便国内外学者检索中英文文献。致力于提供最便捷和优质的服务体验。 Copyright © 2023 布克学术 All rights reserved.
京ICP备2023020795号-1
ghs 京公网安备 11010802042870号
Book学术文献互助
Book学术文献互助群
群 号:604180095
Book学术官方微信