Expression of a-Tocopherol-Associated protein (TAP) is associated with clinical outcome in breast cancer patients.

Q2 Medicine
BMC Clinical Pathology Pub Date : 2015-12-09 eCollection Date: 2015-01-01 DOI:10.1186/s12907-015-0021-5
Xi Wang, Brian Z Ring, Robert S Seitz, Douglas T Ross, Kirsten Woolf, Rodney A Beck, David G Hicks, Shuyuan Yeh
{"title":"Expression of a-Tocopherol-Associated protein (TAP) is associated with clinical outcome in breast cancer patients.","authors":"Xi Wang, Brian Z Ring, Robert S Seitz, Douglas T Ross, Kirsten Woolf, Rodney A Beck, David G Hicks, Shuyuan Yeh","doi":"10.1186/s12907-015-0021-5","DOIUrl":null,"url":null,"abstract":"<p><strong>Background: </strong>The role of vitamin E in breast cancer prevention and treatment has been widely investigated, and the different tocopherols that comprise this nutrient have been shown to have divergent associations with cancer outcome. Our previous studies have shown that α-Tocopherol-associated protein (TAP), a vitamin E binding protein, may function as a tumor suppressor-like factor in breast carcinogenesis. The current study addresses the association of TAP expression with breast cancer clinical outcomes.</p><p><strong>Methods: </strong>Immunohistochemical stain for TAP was applied to a tissue microarray from a breast cancer cohort consisting of 271 patients with a median follow-up time of 5.2 years. The expression of TAP in tumor cells was compared with patient's clinical outcome at 5 years after diagnosis. The potential role of TAP in predicting outcome was also assessed in clinically relevant subsets of the cohort. In addition, we compared TAP expression and Oncotype DX scores in an independent breast cancer cohort consisting of 71 cases.</p><p><strong>Results: </strong>We demonstrate that the expression of TAP was differentially expressed within the breast cancer cohort, and that ER+/PR ± tumors were more likely to exhibit TAP expression. TAP expression was associated with an overall lower recurrence rate and a better 5-year survival rate. This association was primarily in patients with ER+ tumors; exploratory analysis showed that this association was strongest in patients with node-positive tumors and was independent of stage and treatment with chemotherapy. TAP expression in ER/PR negative or triple negative tumors had no association with clinical outcome. In addition, we did not observe an association between TAP expression and Oncotype DX recurrence score.</p><p><strong>Conclusions: </strong>The significant positive association we found for α-Tocopherol-associated protein with outcome in breast cancer may help to better define and explain studies addressing α-tocopherol's association with cancer risk and outcome. Additionally, further studies to validate and extend these findings may allow TAP to serve as a breast-specific prognostic marker in breast cancer patients, especially in those patients with ER+ tumors.</p>","PeriodicalId":35804,"journal":{"name":"BMC Clinical Pathology","volume":"15 1","pages":"21"},"PeriodicalIF":0.0000,"publicationDate":"2015-12-09","publicationTypes":"Journal Article","fieldsOfStudy":null,"isOpenAccess":false,"openAccessPdf":"https://www.ncbi.nlm.nih.gov/pmc/articles/PMC4673715/pdf/","citationCount":"0","resultStr":null,"platform":"Semanticscholar","paperid":null,"PeriodicalName":"BMC Clinical Pathology","FirstCategoryId":"1085","ListUrlMain":"https://doi.org/10.1186/s12907-015-0021-5","RegionNum":0,"RegionCategory":null,"ArticlePicture":[],"TitleCN":null,"AbstractTextCN":null,"PMCID":null,"EPubDate":"2015/1/1 0:00:00","PubModel":"eCollection","JCR":"Q2","JCRName":"Medicine","Score":null,"Total":0}
引用次数: 0

Abstract

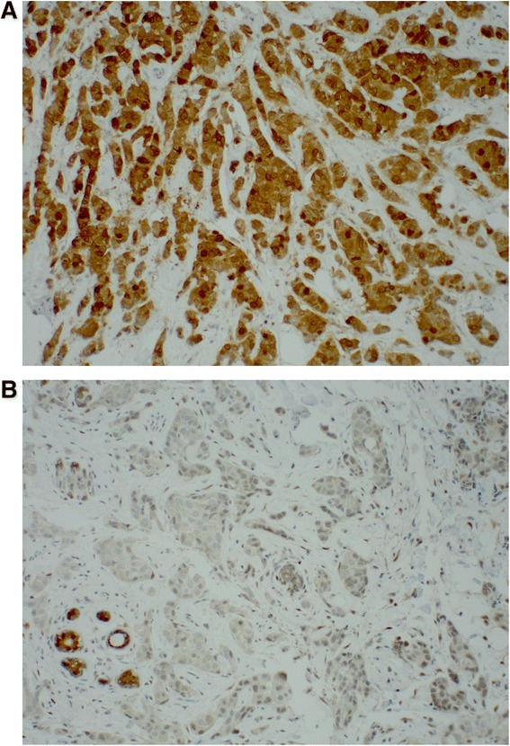
Background: The role of vitamin E in breast cancer prevention and treatment has been widely investigated, and the different tocopherols that comprise this nutrient have been shown to have divergent associations with cancer outcome. Our previous studies have shown that α-Tocopherol-associated protein (TAP), a vitamin E binding protein, may function as a tumor suppressor-like factor in breast carcinogenesis. The current study addresses the association of TAP expression with breast cancer clinical outcomes.

Methods: Immunohistochemical stain for TAP was applied to a tissue microarray from a breast cancer cohort consisting of 271 patients with a median follow-up time of 5.2 years. The expression of TAP in tumor cells was compared with patient's clinical outcome at 5 years after diagnosis. The potential role of TAP in predicting outcome was also assessed in clinically relevant subsets of the cohort. In addition, we compared TAP expression and Oncotype DX scores in an independent breast cancer cohort consisting of 71 cases.

Results: We demonstrate that the expression of TAP was differentially expressed within the breast cancer cohort, and that ER+/PR ± tumors were more likely to exhibit TAP expression. TAP expression was associated with an overall lower recurrence rate and a better 5-year survival rate. This association was primarily in patients with ER+ tumors; exploratory analysis showed that this association was strongest in patients with node-positive tumors and was independent of stage and treatment with chemotherapy. TAP expression in ER/PR negative or triple negative tumors had no association with clinical outcome. In addition, we did not observe an association between TAP expression and Oncotype DX recurrence score.

Conclusions: The significant positive association we found for α-Tocopherol-associated protein with outcome in breast cancer may help to better define and explain studies addressing α-tocopherol's association with cancer risk and outcome. Additionally, further studies to validate and extend these findings may allow TAP to serve as a breast-specific prognostic marker in breast cancer patients, especially in those patients with ER+ tumors.

Abstract Image

Abstract Image

Abstract Image

a-生育酚相关蛋白(TAP)的表达与乳腺癌患者的临床预后有关。
背景:维生素 E 在乳腺癌预防和治疗中的作用已被广泛研究,而组成这种营养素的不同生育酚已被证明与癌症结果有不同的关联。我们之前的研究表明,α-生育酚相关蛋白(TAP)是一种维生素 E 结合蛋白,可能在乳腺癌发生过程中起到类似肿瘤抑制因子的作用。本研究探讨了 TAP 表达与乳腺癌临床结果的关系:对中位随访时间为 5.2 年的 271 例乳腺癌患者的组织芯片进行了 TAP 免疫组织化学染色。将 TAP 在肿瘤细胞中的表达与患者确诊后 5 年的临床结果进行了比较。我们还评估了 TAP 在临床相关子群中预测预后的潜在作用。此外,我们还比较了由 71 例病例组成的独立乳腺癌队列中的 TAP 表达和 Oncotype DX 评分:结果:我们发现,在乳腺癌队列中,TAP的表达存在差异,ER+/PR±肿瘤更有可能出现TAP表达。TAP的表达与总体较低的复发率和较高的5年生存率有关。这种关联主要发生在ER+肿瘤患者中;探索性分析表明,这种关联在结节阳性肿瘤患者中最强,并且与分期和化疗无关。TAP在ER/PR阴性或三阴性肿瘤中的表达与临床结果无关。此外,我们没有观察到TAP表达与Oncotype DX复发评分之间的关系:我们发现α-生育酚相关蛋白与乳腺癌的预后有明显的正相关性,这可能有助于更好地界定和解释有关α-生育酚与癌症风险和预后相关性的研究。此外,进一步研究验证和扩展这些发现可能会使α-生育酚相关蛋白成为乳腺癌患者(尤其是ER+肿瘤患者)的乳腺特异性预后标志物。
本文章由计算机程序翻译,如有差异,请以英文原文为准。
求助全文
约1分钟内获得全文 求助全文
来源期刊
BMC Clinical Pathology
BMC Clinical Pathology Medicine-Pathology and Forensic Medicine
CiteScore
3.30
自引率
0.00%
发文量
0
期刊介绍: BMC Clinical Pathology is an open access journal publishing original peer-reviewed research articles in all aspects of histopathology, haematology, clinical biochemistry, and medical microbiology (including virology, parasitology, and infection control). BMC Clinical Pathology (ISSN 1472-6890) is indexed/tracked/covered by PubMed, CAS, EMBASE, Scopus and Google Scholar.
×
引用
GB/T 7714-2015
复制
MLA
复制
APA
复制
导出至
BibTeX EndNote RefMan NoteFirst NoteExpress
×
提示
您的信息不完整,为了账户安全,请先补充。
现在去补充
×
提示
您因"违规操作"
具体请查看互助需知
我知道了
×
提示
确定
请完成安全验证×
copy
已复制链接
快去分享给好友吧!
我知道了
右上角分享
点击右上角分享
0
联系我们:info@booksci.cn Book学术提供免费学术资源搜索服务,方便国内外学者检索中英文文献。致力于提供最便捷和优质的服务体验。 Copyright © 2023 布克学术 All rights reserved.
京ICP备2023020795号-1
ghs 京公网安备 11010802042870号
Book学术文献互助
Book学术文献互助群
群 号:604180095
Book学术官方微信