Microsurgical Debridement for Persistent Ulcers Due to Rare Fungus Infection: Case Report and Literature Review.

IF 1.5 Q3 SURGERY
Archives of Plastic Surgery-APS Pub Date : 2024-02-07 eCollection Date: 2024-01-01 DOI:10.1055/a-2166-8413
Yu-Wen Tsui, Chia-Yu Tsai, Hung-Chi Chen
{"title":"Microsurgical Debridement for Persistent Ulcers Due to Rare Fungus Infection: Case Report and Literature Review.","authors":"Yu-Wen Tsui, Chia-Yu Tsai, Hung-Chi Chen","doi":"10.1055/a-2166-8413","DOIUrl":null,"url":null,"abstract":"<p><p>A patient suffered from chronic ulcer due to recalcitrant fungal infection for 3.5 years. Five antifungal agents and 40 times of debridement-all failed. Finally, radical microscopic debridement was performed for eradication of fungal conidiospores. Since then, there was no recurrence at 2 years of follow-up. <i>Scopulariopsis brevicaulis</i> is one of the rarest pathogens of cutaneous fungal infections, for which multidrug resistance increased the complexity and difficulty of treatment. Radical excision, especially microscopic debridement, was the key for eradication of fungal conidiospores in this case.</p>","PeriodicalId":47543,"journal":{"name":"Archives of Plastic Surgery-APS","volume":"1 1","pages":"135-138"},"PeriodicalIF":1.5000,"publicationDate":"2024-02-07","publicationTypes":"Journal Article","fieldsOfStudy":null,"isOpenAccess":false,"openAccessPdf":"https://www.ncbi.nlm.nih.gov/pmc/articles/PMC10901585/pdf/","citationCount":"0","resultStr":null,"platform":"Semanticscholar","paperid":null,"PeriodicalName":"Archives of Plastic Surgery-APS","FirstCategoryId":"1085","ListUrlMain":"https://doi.org/10.1055/a-2166-8413","RegionNum":0,"RegionCategory":null,"ArticlePicture":[],"TitleCN":null,"AbstractTextCN":null,"PMCID":null,"EPubDate":"2024/1/1 0:00:00","PubModel":"eCollection","JCR":"Q3","JCRName":"SURGERY","Score":null,"Total":0}
引用次数: 0

Abstract

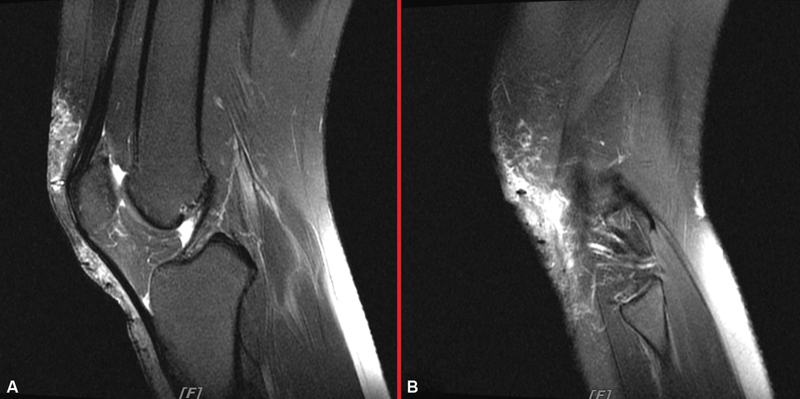
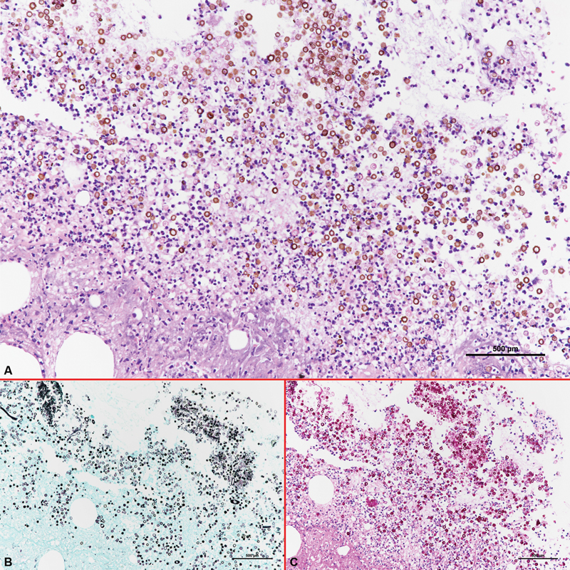
A patient suffered from chronic ulcer due to recalcitrant fungal infection for 3.5 years. Five antifungal agents and 40 times of debridement-all failed. Finally, radical microscopic debridement was performed for eradication of fungal conidiospores. Since then, there was no recurrence at 2 years of follow-up. Scopulariopsis brevicaulis is one of the rarest pathogens of cutaneous fungal infections, for which multidrug resistance increased the complexity and difficulty of treatment. Radical excision, especially microscopic debridement, was the key for eradication of fungal conidiospores in this case.

Abstract Image

Abstract Image

Abstract Image

显微外科清创术治疗罕见真菌感染引起的顽固性溃疡:病例报告与文献综述。
一名患者因真菌感染久治不愈而患慢性溃疡 3.5 年。五种抗真菌药物和 40 次清创均告失败。最后,为了根除真菌分生孢子,患者接受了根治性显微清创术。此后,随访 2 年未再复发。Scopulariopsis brevicaulis 是皮肤真菌感染中最罕见的病原体之一,其多药耐药性增加了治疗的复杂性和难度。在该病例中,根治性切除术,尤其是显微清创术是根除真菌分生孢子的关键。
本文章由计算机程序翻译,如有差异,请以英文原文为准。
求助全文
约1分钟内获得全文 求助全文
来源期刊
CiteScore
2.10
自引率
6.70%
发文量
131
审稿时长
10 weeks
×
引用
GB/T 7714-2015
复制
MLA
复制
APA
复制
导出至
BibTeX EndNote RefMan NoteFirst NoteExpress
×
提示
您的信息不完整,为了账户安全,请先补充。
现在去补充
×
提示
您因"违规操作"
具体请查看互助需知
我知道了
×
提示
确定
请完成安全验证×
copy
已复制链接
快去分享给好友吧!
我知道了
右上角分享
点击右上角分享
0
联系我们:info@booksci.cn Book学术提供免费学术资源搜索服务,方便国内外学者检索中英文文献。致力于提供最便捷和优质的服务体验。 Copyright © 2023 布克学术 All rights reserved.
京ICP备2023020795号-1
ghs 京公网安备 11010802042870号
Book学术文献互助
Book学术文献互助群
群 号:604180095
Book学术官方微信