Transcatheter Tricuspid Valve Intervention: Current Perspective.

Q4 Medicine
US Cardiology Review Pub Date : 2021-06-30 eCollection Date: 2021-01-01 DOI:10.15420/usc.2020.26
Trevor J Simard, Mackram F Eleid
{"title":"Transcatheter Tricuspid Valve Intervention: Current Perspective.","authors":"Trevor J Simard, Mackram F Eleid","doi":"10.15420/usc.2020.26","DOIUrl":null,"url":null,"abstract":"<p><p>Tricuspid regurgitation (TR) adversely impacts both quality of life and long-term survival, which generates interest in therapeutic approaches to mitigate these effects. Historically, therapeutic options for TR were limited to surgical approaches, which are often complicated by significant morbidity and mortality in elderly patients with multiple comorbidities. This gap in therapeutic options led to the rapid evolution of transcatheter tricuspid valve intervention (TTVI), with a wide variety of approaches pursued and early results suggesting that TTVI improves clinical outcomes. Numerous strategies, including edge-to-edge repair, annular reduction, spacers, caval valve implantation, and transcatheter tricuspid valve replacement form the basis of TTVI today. In this review, the authors discuss the current state of each approach.</p>","PeriodicalId":37809,"journal":{"name":"US Cardiology Review","volume":" ","pages":"e12"},"PeriodicalIF":0.0000,"publicationDate":"2021-06-30","publicationTypes":"Journal Article","fieldsOfStudy":null,"isOpenAccess":false,"openAccessPdf":"https://www.ncbi.nlm.nih.gov/pmc/articles/PMC11664757/pdf/","citationCount":"0","resultStr":null,"platform":"Semanticscholar","paperid":null,"PeriodicalName":"US Cardiology Review","FirstCategoryId":"1085","ListUrlMain":"https://doi.org/10.15420/usc.2020.26","RegionNum":0,"RegionCategory":null,"ArticlePicture":[],"TitleCN":null,"AbstractTextCN":null,"PMCID":null,"EPubDate":"2021/1/1 0:00:00","PubModel":"eCollection","JCR":"Q4","JCRName":"Medicine","Score":null,"Total":0}
引用次数: 0

Abstract

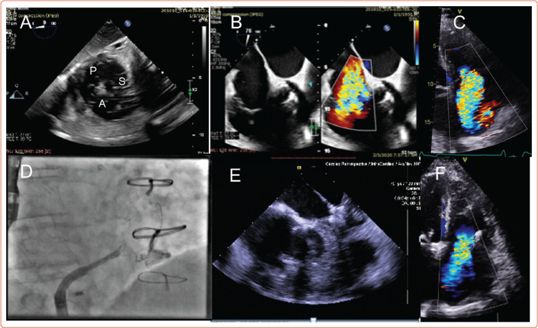
Tricuspid regurgitation (TR) adversely impacts both quality of life and long-term survival, which generates interest in therapeutic approaches to mitigate these effects. Historically, therapeutic options for TR were limited to surgical approaches, which are often complicated by significant morbidity and mortality in elderly patients with multiple comorbidities. This gap in therapeutic options led to the rapid evolution of transcatheter tricuspid valve intervention (TTVI), with a wide variety of approaches pursued and early results suggesting that TTVI improves clinical outcomes. Numerous strategies, including edge-to-edge repair, annular reduction, spacers, caval valve implantation, and transcatheter tricuspid valve replacement form the basis of TTVI today. In this review, the authors discuss the current state of each approach.

Abstract Image

Abstract Image

Abstract Image

经导管三尖瓣介入治疗的现状
三尖瓣反流(TR)对生活质量和长期生存都有不利影响,这引起了人们对减轻这些影响的治疗方法的兴趣。从历史上看,TR的治疗选择仅限于手术入路,而在患有多种合并症的老年患者中,手术常常伴随着显著的发病率和死亡率。这种治疗选择上的差距导致了经导管三尖瓣介入治疗(TTVI)的快速发展,采用了各种各样的方法,早期结果表明TTVI改善了临床结果。许多策略,包括边缘到边缘修复、环形复位、间隔器、腔静脉瓣膜植入和经导管三尖瓣置换术,构成了今天TTVI的基础。在这篇综述中,作者讨论了每种方法的现状。
本文章由计算机程序翻译,如有差异,请以英文原文为准。
求助全文
约1分钟内获得全文 求助全文
来源期刊
US Cardiology Review
US Cardiology Review Medicine-Cardiology and Cardiovascular Medicine
CiteScore
1.10
自引率
0.00%
发文量
24
审稿时长
10 weeks
期刊介绍: US Cardiology Review (USC) is an international, US-English language, peer-reviewed journal that is published bi-annually and aims to assist time-pressured physicians to stay abreast of key advances and opinion in the area of cardiovascular disease. The journal comprises balanced and comprehensive review articles written by leading authorities. The journal provides updates on a range of salient issues to support physicians in developing their knowledge and effectiveness in day-to-day clinical practice. The journal endeavours to support the continuous medical education of specialist and general cardiologists and disseminate knowledge of the field to the wider cardiovascular community.
×
引用
GB/T 7714-2015
复制
MLA
复制
APA
复制
导出至
BibTeX EndNote RefMan NoteFirst NoteExpress
×
提示
您的信息不完整,为了账户安全,请先补充。
现在去补充
×
提示
您因"违规操作"
具体请查看互助需知
我知道了
×
提示
确定
请完成安全验证×
copy
已复制链接
快去分享给好友吧!
我知道了
右上角分享
点击右上角分享
0
联系我们:info@booksci.cn Book学术提供免费学术资源搜索服务,方便国内外学者检索中英文文献。致力于提供最便捷和优质的服务体验。 Copyright © 2023 布克学术 All rights reserved.
京ICP备2023020795号-1
ghs 京公网安备 11010802042870号
Book学术文献互助
Book学术文献互助群
群 号:604180095
Book学术官方微信