Clinical characteristics of patients with the hardware failure after surgical stabilization of rib fractures in Korea: a case series.

IF 0.2
Journal of Trauma and Injury Pub Date : 2023-09-01 Epub Date: 2023-09-05 DOI:10.20408/jti.2023.0026
Na Hyeon Lee, Sun Hyun Kim, Seon Hee Kim, Dong Yeon Ryu, Sang Bong Lee, Chan Ik Park, Hohyun Kim, Gil Hwan Kim, Youngwoong Kim, Hyun Min Cho
{"title":"Clinical characteristics of patients with the hardware failure after surgical stabilization of rib fractures in Korea: a case series.","authors":"Na Hyeon Lee, Sun Hyun Kim, Seon Hee Kim, Dong Yeon Ryu, Sang Bong Lee, Chan Ik Park, Hohyun Kim, Gil Hwan Kim, Youngwoong Kim, Hyun Min Cho","doi":"10.20408/jti.2023.0026","DOIUrl":null,"url":null,"abstract":"<p><strong>Purpose: </strong>Surgical stabilization of rib fractures (SSRF) is widely used in patients with flail chests, and several studies have reported the efficacy of SSRF even in multiple rib fractures. However, few reports have discussed the hardware failure (HF) of implanted plates. We aimed to evaluate the clinical characteristics of patients with HF after SSRF and further investigate the related factors.</p><p><strong>Methods: </strong>We retrospectively reviewed the electronic medical records of patients who underwent SSRF for multiple rib fractures at a level I trauma center in Korea between January 2014 and January 2021. We defined HF as the unintentional loosening of screws, dislocation, or breakage of the implanted plates. The baseline characteristics, surgical outcomes, and types of HF were assessed.</p><p><strong>Results: </strong>During the study period, 728 patients underwent SSRF, of whom 80 (10.9%) were diagnosed with HF. The mean age of HF patients was 56.5±13.6 years, and 66 (82.5%) were men. There were 59 cases (73.8%) of screw loosening, 21 (26.3%) of plate breakage, 17 (21.3%) of screw migration, and seven (8.8%) of plate dislocation. Nine patients (11.3%) experienced wound infection, and 35 patients (43.8%) experienced chronic pain. A total of 21 patients (26.3%) underwent reoperation for plate removal. The patients in the reoperation group were significantly younger, had fewer fractures and plates, underwent costal fixation, and had a longer follow-up. There were no significant differences in subjective chest symptoms or lung capacity.</p><p><strong>Conclusions: </strong>HF after SSRF occurred in 10.9% of the cases, and screw loosening was the most common. Further longitudinal studies are needed to identify risk factors for SSRF failure.</p>","PeriodicalId":52698,"journal":{"name":"Journal of Trauma and Injury","volume":" ","pages":"196-205"},"PeriodicalIF":0.2000,"publicationDate":"2023-09-01","publicationTypes":"Journal Article","fieldsOfStudy":null,"isOpenAccess":false,"openAccessPdf":"https://www.ncbi.nlm.nih.gov/pmc/articles/PMC11309276/pdf/","citationCount":"0","resultStr":null,"platform":"Semanticscholar","paperid":null,"PeriodicalName":"Journal of Trauma and Injury","FirstCategoryId":"1085","ListUrlMain":"https://doi.org/10.20408/jti.2023.0026","RegionNum":0,"RegionCategory":null,"ArticlePicture":[],"TitleCN":null,"AbstractTextCN":null,"PMCID":null,"EPubDate":"2023/9/5 0:00:00","PubModel":"Epub","JCR":"","JCRName":"","Score":null,"Total":0}
引用次数: 0

Abstract

Purpose: Surgical stabilization of rib fractures (SSRF) is widely used in patients with flail chests, and several studies have reported the efficacy of SSRF even in multiple rib fractures. However, few reports have discussed the hardware failure (HF) of implanted plates. We aimed to evaluate the clinical characteristics of patients with HF after SSRF and further investigate the related factors.

Methods: We retrospectively reviewed the electronic medical records of patients who underwent SSRF for multiple rib fractures at a level I trauma center in Korea between January 2014 and January 2021. We defined HF as the unintentional loosening of screws, dislocation, or breakage of the implanted plates. The baseline characteristics, surgical outcomes, and types of HF were assessed.

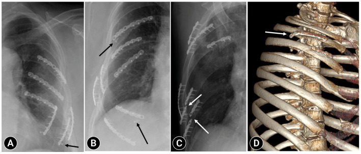
Results: During the study period, 728 patients underwent SSRF, of whom 80 (10.9%) were diagnosed with HF. The mean age of HF patients was 56.5±13.6 years, and 66 (82.5%) were men. There were 59 cases (73.8%) of screw loosening, 21 (26.3%) of plate breakage, 17 (21.3%) of screw migration, and seven (8.8%) of plate dislocation. Nine patients (11.3%) experienced wound infection, and 35 patients (43.8%) experienced chronic pain. A total of 21 patients (26.3%) underwent reoperation for plate removal. The patients in the reoperation group were significantly younger, had fewer fractures and plates, underwent costal fixation, and had a longer follow-up. There were no significant differences in subjective chest symptoms or lung capacity.

Conclusions: HF after SSRF occurred in 10.9% of the cases, and screw loosening was the most common. Further longitudinal studies are needed to identify risk factors for SSRF failure.

Abstract Image

Abstract Image

Abstract Image

肋骨骨折手术稳定的并发症:一项关于硬体失效的调查
目的:手术稳定肋骨骨折(SSRF)被广泛应用于连枷胸患者,一些研究报道了SSRF在多发肋骨骨折中的疗效。然而,很少有报道讨论植入钢板的硬件故障(HF)。我们旨在评价SSRF后HF患者的临床特点,并进一步探讨相关因素。方法:我们回顾性地回顾了2014年1月至2021年1月在韩国一家一级创伤中心接受SSRF治疗多发性肋骨骨折患者的电子病历。我们将HF定义为螺钉意外松动、脱位或植入钢板断裂。评估基线特征、手术结果和心衰类型。结果:在研究期间,728例患者接受了SSRF治疗,其中80例(10.9%)被诊断为HF。HF患者平均年龄56.5±13.6岁,男性66例(82.5%)。螺钉松动59例(73.8%),钢板断裂21例(26.3%),螺钉移位17例(21.3%),钢板脱位7例(8.8%)。伤口感染9例(11.3%),慢性疼痛35例(43.8%)。共有21例患者(26.3%)再次接受钢板取出手术。再手术组患者明显更年轻,骨折和钢板更少,接受了肋固定,随访时间更长。主观胸部症状和肺活量没有显著差异。结论:SSRF术后HF发生率为10.9%,以螺钉松动最为常见。需要进一步的纵向研究来确定SSRF失败的危险因素。
本文章由计算机程序翻译,如有差异,请以英文原文为准。
求助全文
约1分钟内获得全文 求助全文
来源期刊
自引率
0.00%
发文量
58
审稿时长
11 weeks
×
引用
GB/T 7714-2015
复制
MLA
复制
APA
复制
导出至
BibTeX EndNote RefMan NoteFirst NoteExpress
×
提示
您的信息不完整,为了账户安全,请先补充。
现在去补充
×
提示
您因"违规操作"
具体请查看互助需知
我知道了
×
提示
确定
请完成安全验证×
copy
已复制链接
快去分享给好友吧!
我知道了
右上角分享
点击右上角分享
0
联系我们:info@booksci.cn Book学术提供免费学术资源搜索服务,方便国内外学者检索中英文文献。致力于提供最便捷和优质的服务体验。 Copyright © 2023 布克学术 All rights reserved.
京ICP备2023020795号-1
ghs 京公网安备 11010802042870号
Book学术文献互助
Book学术文献互助群
群 号:604180095
Book学术官方微信