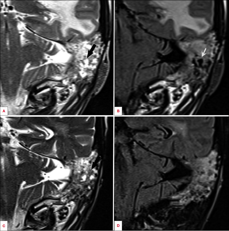
A case of otoliquorrhoea secondary to immunotherapy response in head and neck cutaneous squamous cell carcinoma. When abrupt response may worry the physician.

IF 2.1 4区 医学 Q2 OTORHINOLARYNGOLOGY
Acta Otorhinolaryngologica Italica Pub Date : 2024-08-01 Epub Date: 2023-10-10 DOI:10.14639/0392-100X-N2647
Luigi Lorini, Michele Tomasoni, Paolo Rondi, Andrea Esposito, Marco Ravanelli, Alberto Schreiber, Antonio Biroli, Paolo Bossi
{"title":"A case of otoliquorrhoea secondary to immunotherapy response in head and neck cutaneous squamous cell carcinoma. When abrupt response may worry the physician.","authors":"Luigi Lorini, Michele Tomasoni, Paolo Rondi, Andrea Esposito, Marco Ravanelli, Alberto Schreiber, Antonio Biroli, Paolo Bossi","doi":"10.14639/0392-100X-N2647","DOIUrl":null,"url":null,"abstract":"","PeriodicalId":6890,"journal":{"name":"Acta Otorhinolaryngologica Italica","volume":" ","pages":"275-278"},"PeriodicalIF":2.1000,"publicationDate":"2024-08-01","publicationTypes":"Journal Article","fieldsOfStudy":null,"isOpenAccess":false,"openAccessPdf":"https://www.ncbi.nlm.nih.gov/pmc/articles/PMC11441518/pdf/","citationCount":"0","resultStr":null,"platform":"Semanticscholar","paperid":null,"PeriodicalName":"Acta Otorhinolaryngologica Italica","FirstCategoryId":"3","ListUrlMain":"https://doi.org/10.14639/0392-100X-N2647","RegionNum":4,"RegionCategory":"医学","ArticlePicture":[],"TitleCN":null,"AbstractTextCN":null,"PMCID":null,"EPubDate":"2023/10/10 0:00:00","PubModel":"Epub","JCR":"Q2","JCRName":"OTORHINOLARYNGOLOGY","Score":null,"Total":0}
引用次数: 0

Abstract Image

头颈部皮肤鳞状细胞癌免疫治疗反应继发耳咽炎一例。突然的反应可能会让医生担心。
本文章由计算机程序翻译,如有差异,请以英文原文为准。
求助全文
约1分钟内获得全文 求助全文
来源期刊
Acta Otorhinolaryngologica Italica
Acta Otorhinolaryngologica Italica OTORHINOLARYNGOLOGY-
CiteScore
3.40
自引率
10.00%
发文量
97
审稿时长
6-12 weeks
期刊介绍: Acta Otorhinolaryngologica Italica first appeared as “Annali di Laringologia Otologia e Faringologia” and was founded in 1901 by Giulio Masini. It is the official publication of the Italian Hospital Otology Association (A.O.O.I.) and, since 1976, also of the Società Italiana di Otorinolaringoiatria e Chirurgia Cervico-Facciale (S.I.O.Ch.C.-F.). The journal publishes original articles (clinical trials, cohort studies, case-control studies, cross-sectional surveys, and diagnostic test assessments) of interest in the field of otorhinolaryngology as well as clinical techniques and technology (a short report of unique or original methods for surgical techniques, medical management or new devices or technology), editorials (including editorial guests – special contribution) and letters to the Editor-in-Chief. Articles concerning science investigations and well prepared systematic reviews (including meta-analyses) on themes related to basic science, clinical otorhinolaryngology and head and neck surgery have high priority.
×
引用
GB/T 7714-2015
复制
MLA
复制
APA
复制
导出至
BibTeX EndNote RefMan NoteFirst NoteExpress
×
提示
您的信息不完整,为了账户安全,请先补充。
现在去补充
×
提示
您因"违规操作"
具体请查看互助需知
我知道了
×
提示
确定
请完成安全验证×
copy
已复制链接
快去分享给好友吧!
我知道了
右上角分享
点击右上角分享
0
联系我们:info@booksci.cn Book学术提供免费学术资源搜索服务,方便国内外学者检索中英文文献。致力于提供最便捷和优质的服务体验。 Copyright © 2023 布克学术 All rights reserved.
京ICP备2023020795号-1
ghs 京公网安备 11010802042870号
Book学术文献互助
Book学术文献互助群
群 号:604180095
Book学术官方微信