Hepatic capsular retraction: spectrum of diagnosis at MRI.

Acta Radiologica Short Reports Pub Date : 2014-12-04 eCollection Date: 2014-12-01 DOI:10.1177/2047981614545667
David Da Ines, Antoine Mons, Chadi Braidy, Pierre François Montoriol, Jean-Marc Garcier, Valérie Vilgrain
{"title":"Hepatic capsular retraction: spectrum of diagnosis at MRI.","authors":"David Da Ines,&nbsp;Antoine Mons,&nbsp;Chadi Braidy,&nbsp;Pierre François Montoriol,&nbsp;Jean-Marc Garcier,&nbsp;Valérie Vilgrain","doi":"10.1177/2047981614545667","DOIUrl":null,"url":null,"abstract":"<p><p>Hepatic capsular retraction is an imaging feature that deserves the attention of the radiologist. Hepatic capsular retraction is associated with a number of hepatic lesions, benign or malignant, treated or untreated. The purpose of this pictorial review is to discuss the most common benign and malignant hepatic lesions associated with this feature with an emphasis on magnetic resonance imaging (MRI). </p>","PeriodicalId":30445,"journal":{"name":"Acta Radiologica Short Reports","volume":"3 11","pages":"2047981614545667"},"PeriodicalIF":0.0000,"publicationDate":"2014-12-04","publicationTypes":"Journal Article","fieldsOfStudy":null,"isOpenAccess":false,"openAccessPdf":"https://sci-hub-pdf.com/10.1177/2047981614545667","citationCount":"8","resultStr":null,"platform":"Semanticscholar","paperid":null,"PeriodicalName":"Acta Radiologica Short Reports","FirstCategoryId":"1085","ListUrlMain":"https://doi.org/10.1177/2047981614545667","RegionNum":0,"RegionCategory":null,"ArticlePicture":[],"TitleCN":null,"AbstractTextCN":null,"PMCID":null,"EPubDate":"2014/12/1 0:00:00","PubModel":"eCollection","JCR":"","JCRName":"","Score":null,"Total":0}
引用次数: 8

Abstract

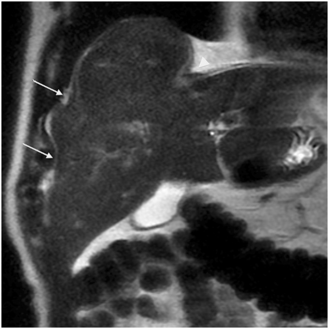
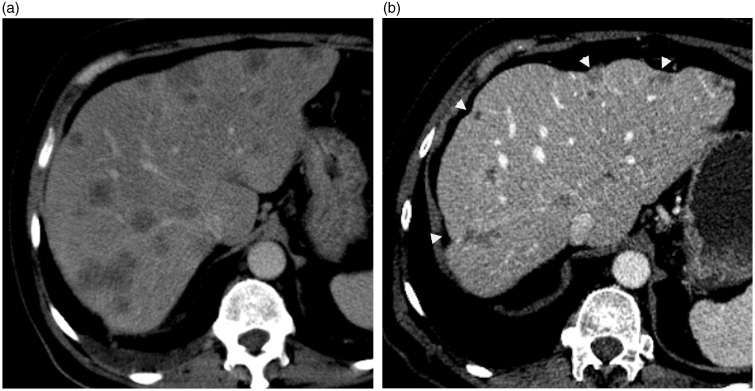
Hepatic capsular retraction is an imaging feature that deserves the attention of the radiologist. Hepatic capsular retraction is associated with a number of hepatic lesions, benign or malignant, treated or untreated. The purpose of this pictorial review is to discuss the most common benign and malignant hepatic lesions associated with this feature with an emphasis on magnetic resonance imaging (MRI).

Abstract Image

Abstract Image

Abstract Image

肝包膜内收:MRI诊断谱。
肝包膜退缩是一个影像学特征,值得注意的放射科医生。肝包膜挛缩与许多肝脏病变有关,无论良性或恶性,治疗或未治疗。这篇图片回顾的目的是讨论与该特征相关的最常见的良性和恶性肝脏病变,重点是磁共振成像(MRI)。
本文章由计算机程序翻译,如有差异,请以英文原文为准。
求助全文
约1分钟内获得全文 求助全文
来源期刊
自引率
0.00%
发文量
0
审稿时长
12 weeks
期刊介绍: Under the editorial leadership of Professor Arnulf Skjennald MD and a distinguished editorial board, Acta Radiologica Open, formerly Acta Radiologica Short Reports, aims for the prompt publication of original case reports, short reports, review articles, pictorial reviews, research articles on diagnostic and interventional radiology, clinical radiology, experimental investigations in animals, and all other research related to imaging procedures. Acta Radiologica Open provides a complete update on all radiological specialties and technical utilities, as well as physiology and physics related to imaging, including ultrasonography, computed tomography, radionuclide and magnetic resonance imaging. Acta Radiologica Open publishes articles on diagnostic and interventional procedures in radiology based on all medical imaging techniques, as well as works in physiology and physics when related to radiology. The journal is an online-only, peer reviewed, open access journal.
×
引用
GB/T 7714-2015
复制
MLA
复制
APA
复制
导出至
BibTeX EndNote RefMan NoteFirst NoteExpress
×
提示
您的信息不完整,为了账户安全,请先补充。
现在去补充
×
提示
您因"违规操作"
具体请查看互助需知
我知道了
×
提示
确定
请完成安全验证×
copy
已复制链接
快去分享给好友吧!
我知道了
右上角分享
点击右上角分享
0
联系我们:info@booksci.cn Book学术提供免费学术资源搜索服务,方便国内外学者检索中英文文献。致力于提供最便捷和优质的服务体验。 Copyright © 2023 布克学术 All rights reserved.
京ICP备2023020795号-1
ghs 京公网安备 11010802042870号
Book学术文献互助
Book学术文献互助群
群 号:604180095
Book学术官方微信