Aberrant internal carotid artery presenting as a retrotympanic vascular mass.

Acta Radiologica Short Reports Pub Date : 2014-11-26 eCollection Date: 2014-11-01 DOI:10.1177/2047981614553695
Simon Nicolay, Bert De Foer, Anja Bernaerts, Joost Van Dinther, Paul M Parizel
{"title":"Aberrant internal carotid artery presenting as a retrotympanic vascular mass.","authors":"Simon Nicolay,&nbsp;Bert De Foer,&nbsp;Anja Bernaerts,&nbsp;Joost Van Dinther,&nbsp;Paul M Parizel","doi":"10.1177/2047981614553695","DOIUrl":null,"url":null,"abstract":"<p><p>We report a case of a young woman with an aberrant right internal carotid artery (ICA) presenting as a retrotympanic reddish mass. This variant of the ICA represents the collateral pathway that is formed as a result of an embryological agenesis of the cervical segment of the ICA. The embryonic inferior tympanic artery is recruited to bypass the absent carotid segment. This hypertrophied vessel may be seen otoscopically and wrongfully considered to be a vascular middle ear tumor. Informing the otorhinolaryngologist of this important vascular variant not only obviates biopsy but also helps in careful preoperative planning of eventual middle ear procedures. </p>","PeriodicalId":30445,"journal":{"name":"Acta Radiologica Short Reports","volume":"3 10","pages":"2047981614553695"},"PeriodicalIF":0.0000,"publicationDate":"2014-11-26","publicationTypes":"Journal Article","fieldsOfStudy":null,"isOpenAccess":false,"openAccessPdf":"https://sci-hub-pdf.com/10.1177/2047981614553695","citationCount":"9","resultStr":null,"platform":"Semanticscholar","paperid":null,"PeriodicalName":"Acta Radiologica Short Reports","FirstCategoryId":"1085","ListUrlMain":"https://doi.org/10.1177/2047981614553695","RegionNum":0,"RegionCategory":null,"ArticlePicture":[],"TitleCN":null,"AbstractTextCN":null,"PMCID":null,"EPubDate":"2014/11/1 0:00:00","PubModel":"eCollection","JCR":"","JCRName":"","Score":null,"Total":0}
引用次数: 9

Abstract

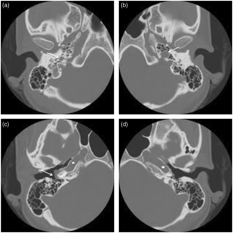
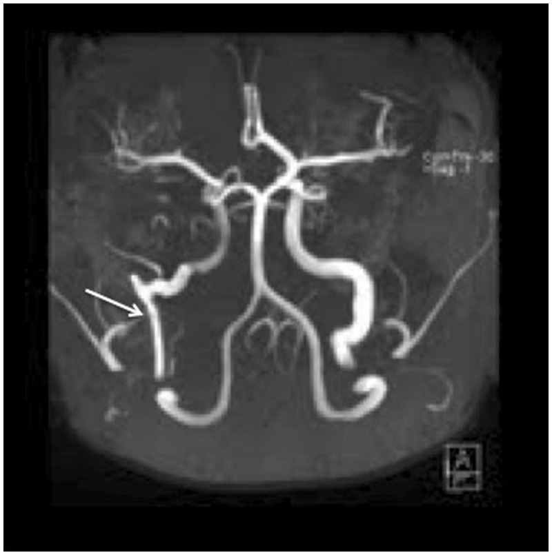
We report a case of a young woman with an aberrant right internal carotid artery (ICA) presenting as a retrotympanic reddish mass. This variant of the ICA represents the collateral pathway that is formed as a result of an embryological agenesis of the cervical segment of the ICA. The embryonic inferior tympanic artery is recruited to bypass the absent carotid segment. This hypertrophied vessel may be seen otoscopically and wrongfully considered to be a vascular middle ear tumor. Informing the otorhinolaryngologist of this important vascular variant not only obviates biopsy but also helps in careful preoperative planning of eventual middle ear procedures.

Abstract Image

Abstract Image

异常颈内动脉表现为鼓室后血管肿块。
我们报告的情况下,一个年轻的妇女与一个异常的右颈内动脉(ICA)表现为鼓室后红色肿块。这种ICA的变体代表了ICA颈段胚胎发育不全形成的侧支通路。鼓室下动脉被招募绕过缺失的颈动脉段。这种肥大的血管可以在耳镜下看到,并被错误地认为是中耳血管性肿瘤。告知耳鼻喉科医生这种重要的血管变异不仅可以避免活检,而且有助于仔细的术前计划最终的中耳手术。
本文章由计算机程序翻译,如有差异,请以英文原文为准。
求助全文
约1分钟内获得全文 求助全文
来源期刊
自引率
0.00%
发文量
0
审稿时长
12 weeks
期刊介绍: Under the editorial leadership of Professor Arnulf Skjennald MD and a distinguished editorial board, Acta Radiologica Open, formerly Acta Radiologica Short Reports, aims for the prompt publication of original case reports, short reports, review articles, pictorial reviews, research articles on diagnostic and interventional radiology, clinical radiology, experimental investigations in animals, and all other research related to imaging procedures. Acta Radiologica Open provides a complete update on all radiological specialties and technical utilities, as well as physiology and physics related to imaging, including ultrasonography, computed tomography, radionuclide and magnetic resonance imaging. Acta Radiologica Open publishes articles on diagnostic and interventional procedures in radiology based on all medical imaging techniques, as well as works in physiology and physics when related to radiology. The journal is an online-only, peer reviewed, open access journal.
×
引用
GB/T 7714-2015
复制
MLA
复制
APA
复制
导出至
BibTeX EndNote RefMan NoteFirst NoteExpress
×
提示
您的信息不完整,为了账户安全,请先补充。
现在去补充
×
提示
您因"违规操作"
具体请查看互助需知
我知道了
×
提示
确定
请完成安全验证×
copy
已复制链接
快去分享给好友吧!
我知道了
右上角分享
点击右上角分享
0
联系我们:info@booksci.cn Book学术提供免费学术资源搜索服务,方便国内外学者检索中英文文献。致力于提供最便捷和优质的服务体验。 Copyright © 2023 布克学术 All rights reserved.
京ICP备2023020795号-1
ghs 京公网安备 11010802042870号
Book学术文献互助
Book学术文献互助群
群 号:604180095
Book学术官方微信