A case of lymphatic malformation/lymphangioma of the scrotum.

Acta Radiologica Short Reports Pub Date : 2012-04-23 eCollection Date: 2012-01-01 DOI:10.1258/arsr.2012.120021
Gensuke Akaike, Taiki Nozaki, Akari Makidono, Yukihisa Saida, Takeshi Hirabayashi, Koyu Suzuki
{"title":"A case of lymphatic malformation/lymphangioma of the scrotum.","authors":"Gensuke Akaike,&nbsp;Taiki Nozaki,&nbsp;Akari Makidono,&nbsp;Yukihisa Saida,&nbsp;Takeshi Hirabayashi,&nbsp;Koyu Suzuki","doi":"10.1258/arsr.2012.120021","DOIUrl":null,"url":null,"abstract":"<p><p>Lymphatic malformation/lymphangioma of the scrotum is rare. It is caused by lymphatic abnormalities and the most common sites are the neck and axilla. The scrotum is one of the most uncommon sites. We report the case of a 12-year-old boy with pathologically confirmed cystic lymphangioma/lymphatic malformation in the scrotum. The diagnosis was suspected from ultrasonography and magnetic resonance imaging. The most common cause of a cystic mass in the scrotum is scrotal hydrocele, but cystic lymphangioma/lymphatic malformation should be considered as a differential diagnosis for multicystic scrotal mass. </p>","PeriodicalId":30445,"journal":{"name":"Acta Radiologica Short Reports","volume":"1 3","pages":""},"PeriodicalIF":0.0000,"publicationDate":"2012-04-23","publicationTypes":"Journal Article","fieldsOfStudy":null,"isOpenAccess":false,"openAccessPdf":"https://sci-hub-pdf.com/10.1258/arsr.2012.120021","citationCount":"6","resultStr":null,"platform":"Semanticscholar","paperid":null,"PeriodicalName":"Acta Radiologica Short Reports","FirstCategoryId":"1085","ListUrlMain":"https://doi.org/10.1258/arsr.2012.120021","RegionNum":0,"RegionCategory":null,"ArticlePicture":[],"TitleCN":null,"AbstractTextCN":null,"PMCID":null,"EPubDate":"2012/1/1 0:00:00","PubModel":"eCollection","JCR":"","JCRName":"","Score":null,"Total":0}
引用次数: 6

Abstract

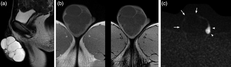
Lymphatic malformation/lymphangioma of the scrotum is rare. It is caused by lymphatic abnormalities and the most common sites are the neck and axilla. The scrotum is one of the most uncommon sites. We report the case of a 12-year-old boy with pathologically confirmed cystic lymphangioma/lymphatic malformation in the scrotum. The diagnosis was suspected from ultrasonography and magnetic resonance imaging. The most common cause of a cystic mass in the scrotum is scrotal hydrocele, but cystic lymphangioma/lymphatic malformation should be considered as a differential diagnosis for multicystic scrotal mass.

Abstract Image

Abstract Image

阴囊淋巴畸形/淋巴管瘤1例。
阴囊淋巴畸形/淋巴管瘤是罕见的。它是由淋巴异常引起的,最常见的部位是颈部和腋窝。阴囊是最不常见的部位之一。我们报告一例12岁的男孩与病理证实囊性淋巴管瘤/淋巴畸形在阴囊。经超声及核磁共振检查怀疑诊断。阴囊囊性肿块最常见的原因是阴囊鞘膜积液,但囊性淋巴管瘤/淋巴畸形应被视为多囊性阴囊肿块的鉴别诊断。
本文章由计算机程序翻译,如有差异,请以英文原文为准。
求助全文
约1分钟内获得全文 求助全文
来源期刊
自引率
0.00%
发文量
0
审稿时长
12 weeks
期刊介绍: Under the editorial leadership of Professor Arnulf Skjennald MD and a distinguished editorial board, Acta Radiologica Open, formerly Acta Radiologica Short Reports, aims for the prompt publication of original case reports, short reports, review articles, pictorial reviews, research articles on diagnostic and interventional radiology, clinical radiology, experimental investigations in animals, and all other research related to imaging procedures. Acta Radiologica Open provides a complete update on all radiological specialties and technical utilities, as well as physiology and physics related to imaging, including ultrasonography, computed tomography, radionuclide and magnetic resonance imaging. Acta Radiologica Open publishes articles on diagnostic and interventional procedures in radiology based on all medical imaging techniques, as well as works in physiology and physics when related to radiology. The journal is an online-only, peer reviewed, open access journal.
×
引用
GB/T 7714-2015
复制
MLA
复制
APA
复制
导出至
BibTeX EndNote RefMan NoteFirst NoteExpress
×
提示
您的信息不完整,为了账户安全,请先补充。
现在去补充
×
提示
您因"违规操作"
具体请查看互助需知
我知道了
×
提示
确定
请完成安全验证×
copy
已复制链接
快去分享给好友吧!
我知道了
右上角分享
点击右上角分享
0
联系我们:info@booksci.cn Book学术提供免费学术资源搜索服务,方便国内外学者检索中英文文献。致力于提供最便捷和优质的服务体验。 Copyright © 2023 布克学术 All rights reserved.
京ICP备2023020795号-1
ghs 京公网安备 11010802042870号
Book学术文献互助
Book学术文献互助群
群 号:604180095
Book学术官方微信