Direct Inferior Hip Dislocation With Intertrochanteric Fracture in an Adult: A Rare Case and Review of the Literature.

IF 1.3 Q3 MEDICINE, GENERAL & INTERNAL
Cureus Pub Date : 2025-10-08 eCollection Date: 2025-10-01 DOI:10.7759/cureus.94109
Mark S Ayoub
{"title":"Direct Inferior Hip Dislocation With Intertrochanteric Fracture in an Adult: A Rare Case and Review of the Literature.","authors":"Mark S Ayoub","doi":"10.7759/cureus.94109","DOIUrl":null,"url":null,"abstract":"<p><p>Direct inferior hip dislocation is the rarest type, sometimes referred to as luxatio erecta. To the author's knowledge, an adult inferior hip dislocation with an associated displaced intertrochanteric fracture has only been reported once in the literature. Accordingly, there are few described treatment options for this injury. An 18-year-old male presented after a motor vehicle collision with an inferior hip dislocation and an associated ipsilateral intertrochanteric hip fracture. He was taken to the operating room urgently for the reduction of the dislocation and definitive treatment. In this case, a fracture table was utilized along with a Schanz pin to reduce the hip dislocation and for the reduction and intramedullary nailing of his intertrochanteric fracture.</p>","PeriodicalId":93960,"journal":{"name":"Cureus","volume":"17 10","pages":"e94109"},"PeriodicalIF":1.3000,"publicationDate":"2025-10-08","publicationTypes":"Journal Article","fieldsOfStudy":null,"isOpenAccess":false,"openAccessPdf":"https://www.ncbi.nlm.nih.gov/pmc/articles/PMC12505780/pdf/","citationCount":"0","resultStr":null,"platform":"Semanticscholar","paperid":null,"PeriodicalName":"Cureus","FirstCategoryId":"1085","ListUrlMain":"https://doi.org/10.7759/cureus.94109","RegionNum":0,"RegionCategory":null,"ArticlePicture":[],"TitleCN":null,"AbstractTextCN":null,"PMCID":null,"EPubDate":"2025/10/1 0:00:00","PubModel":"eCollection","JCR":"Q3","JCRName":"MEDICINE, GENERAL & INTERNAL","Score":null,"Total":0}
引用次数: 0

Abstract

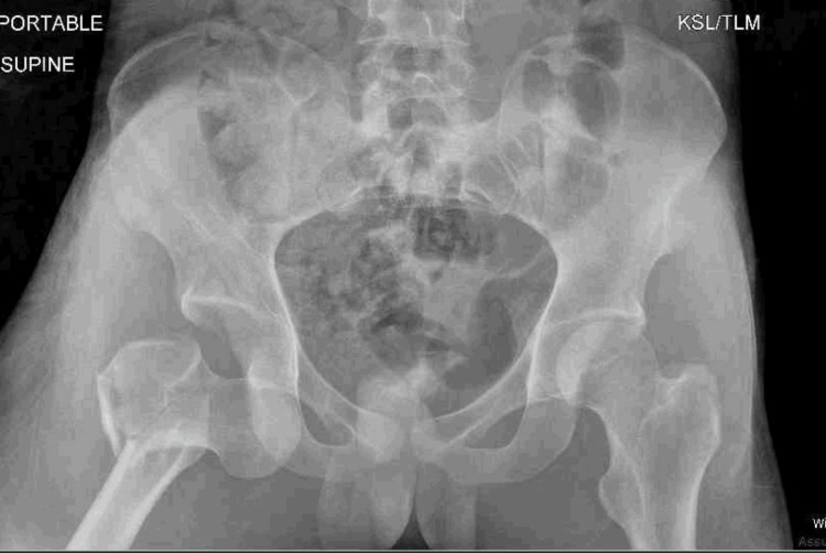
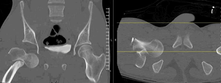
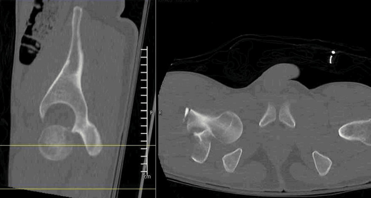
Direct inferior hip dislocation is the rarest type, sometimes referred to as luxatio erecta. To the author's knowledge, an adult inferior hip dislocation with an associated displaced intertrochanteric fracture has only been reported once in the literature. Accordingly, there are few described treatment options for this injury. An 18-year-old male presented after a motor vehicle collision with an inferior hip dislocation and an associated ipsilateral intertrochanteric hip fracture. He was taken to the operating room urgently for the reduction of the dislocation and definitive treatment. In this case, a fracture table was utilized along with a Schanz pin to reduce the hip dislocation and for the reduction and intramedullary nailing of his intertrochanteric fracture.

Abstract Image

Abstract Image

Abstract Image

成人直接下髋关节脱位合并粗隆间骨折1例及文献复习。
直接下髋关节脱位是最罕见的类型,有时被称为直立脱位。据作者所知,成人下髋关节脱位合并转子间移位骨折在文献中仅报道过一次。因此,这种损伤的治疗方法很少。一个18岁的男性在机动车碰撞后出现髋关节下位脱位并伴有同侧股骨粗隆间骨折。他被紧急送往手术室进行脱位复位和最终治疗。在本例中,使用骨折台和Schanz销来减少髋关节脱位,并对其转子间骨折进行复位和髓内钉治疗。
本文章由计算机程序翻译,如有差异,请以英文原文为准。
求助全文
约1分钟内获得全文 求助全文
来源期刊
自引率
0.00%
发文量
0
×
引用
GB/T 7714-2015
复制
MLA
复制
APA
复制
导出至
BibTeX EndNote RefMan NoteFirst NoteExpress
×
提示
您的信息不完整,为了账户安全,请先补充。
现在去补充
×
提示
您因"违规操作"
具体请查看互助需知
我知道了
×
提示
确定
请完成安全验证×
copy
已复制链接
快去分享给好友吧!
我知道了
右上角分享
点击右上角分享
0
联系我们:info@booksci.cn Book学术提供免费学术资源搜索服务,方便国内外学者检索中英文文献。致力于提供最便捷和优质的服务体验。 Copyright © 2023 布克学术 All rights reserved.
京ICP备2023020795号-1
ghs 京公网安备 11010802042870号
Book学术文献互助
Book学术文献互助群
群 号:604180095
Book学术官方微信