The Importance of Trigeminal Cisternography in the Percutaneous Treatment of Idiopathic Trigeminal Neuralgia.

IF 3 3区 医学 Q2 CLINICAL NEUROLOGY
Pain Research & Management Pub Date : 2025-09-27 eCollection Date: 2025-01-01 DOI:10.1155/prm/1625277
Mustafa Balevi
{"title":"The Importance of Trigeminal Cisternography in the Percutaneous Treatment of Idiopathic Trigeminal Neuralgia.","authors":"Mustafa Balevi","doi":"10.1155/prm/1625277","DOIUrl":null,"url":null,"abstract":"<p><p><b>Objective:</b> To investigate whether the tip of the spinal needle was accurately positioned within the trigeminal cistern (TC) in patients with idiopathic trigeminal neuralgia undergoing percutaneous treatments through the foramen ovale. <b>Methods:</b> Transovale trigeminal cisternography (TOTC) was performed to ascertain the location of the spinal needle tip within the TC in 35 patients who underwent percutaneous retrogasserian glycerol rhizotomy (PRGR) procedures and 112 patients who underwent percutaneous controlled radiofrequency trigeminal rhizotomy (PCRF-TR) where the preganglionic trigeminal rootlets (PGTRs) could not be stimulated by radiofrequency. When TOTC revealed that the needle tip was in the subtemporal subarachnoid compartments, the needle insertion site at the foramen ovale was adjusted and redirected toward the dorsum sellae under intraoperative fluoroscopy guidance. <b>Results:</b> In 17 (15%) patients who underwent PCRF-TR, PGTR stimulation was unsuccessful, and TOTC revealed the needle tip within the subtemporal subarachnoid space. In five (14%) patients who underwent PRGR, the needle tip was inside the subtemporal subarachnoid space, according to the TOTC evaluation. <b>Conclusion:</b> The findings of this study underscore the significance of TOTC in both PRGR and PCRF-TR procedures, particularly when PGTRs cannot be stimulated by the radiofrequency electrode.</p>","PeriodicalId":19913,"journal":{"name":"Pain Research & Management","volume":"2025 ","pages":"1625277"},"PeriodicalIF":3.0000,"publicationDate":"2025-09-27","publicationTypes":"Journal Article","fieldsOfStudy":null,"isOpenAccess":false,"openAccessPdf":"https://www.ncbi.nlm.nih.gov/pmc/articles/PMC12496149/pdf/","citationCount":"0","resultStr":null,"platform":"Semanticscholar","paperid":null,"PeriodicalName":"Pain Research & Management","FirstCategoryId":"3","ListUrlMain":"https://doi.org/10.1155/prm/1625277","RegionNum":3,"RegionCategory":"医学","ArticlePicture":[],"TitleCN":null,"AbstractTextCN":null,"PMCID":null,"EPubDate":"2025/1/1 0:00:00","PubModel":"eCollection","JCR":"Q2","JCRName":"CLINICAL NEUROLOGY","Score":null,"Total":0}
引用次数: 0

Abstract

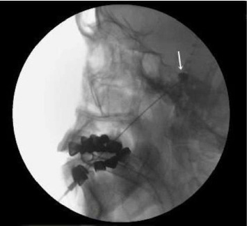
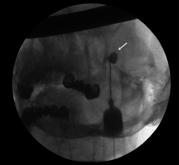
Objective: To investigate whether the tip of the spinal needle was accurately positioned within the trigeminal cistern (TC) in patients with idiopathic trigeminal neuralgia undergoing percutaneous treatments through the foramen ovale. Methods: Transovale trigeminal cisternography (TOTC) was performed to ascertain the location of the spinal needle tip within the TC in 35 patients who underwent percutaneous retrogasserian glycerol rhizotomy (PRGR) procedures and 112 patients who underwent percutaneous controlled radiofrequency trigeminal rhizotomy (PCRF-TR) where the preganglionic trigeminal rootlets (PGTRs) could not be stimulated by radiofrequency. When TOTC revealed that the needle tip was in the subtemporal subarachnoid compartments, the needle insertion site at the foramen ovale was adjusted and redirected toward the dorsum sellae under intraoperative fluoroscopy guidance. Results: In 17 (15%) patients who underwent PCRF-TR, PGTR stimulation was unsuccessful, and TOTC revealed the needle tip within the subtemporal subarachnoid space. In five (14%) patients who underwent PRGR, the needle tip was inside the subtemporal subarachnoid space, according to the TOTC evaluation. Conclusion: The findings of this study underscore the significance of TOTC in both PRGR and PCRF-TR procedures, particularly when PGTRs cannot be stimulated by the radiofrequency electrode.

Abstract Image

Abstract Image

Abstract Image

三叉神经池造影在经皮治疗特发性三叉神经痛中的重要性。
目的:探讨特发性三叉神经痛经卵圆孔经皮穿刺治疗时,针尖是否准确定位于三叉神经池内。方法:对35例经皮逆行甘油根切断术(PRGR)患者和112例经皮射频控制三叉神经根切断术(PCRF-TR)患者进行经颅三叉神经根切断术(PGTRs),其中三叉神经节前根(PGTRs)不能被射频刺激的患者进行经颅三叉神经池造影(TOTC)以确定脊髓针尖在TC内的位置。当TOTC显示针尖位于颞下蛛网膜下腔室时,在术中透视引导下调整卵圆孔的针尖插入位置,并将针尖指向鞍背。结果:17例(15%)行PCRF-TR的患者,PGTR刺激失败,TOTC显示针尖位于颞下蛛网膜下腔内。根据TOTC评估,在5例(14%)接受PRGR的患者中,针尖位于颞下蛛网膜下腔内。结论:本研究的结果强调了TOTC在PRGR和PCRF-TR过程中的重要性,特别是当射频电极不能刺激pgtr时。
本文章由计算机程序翻译,如有差异,请以英文原文为准。
求助全文
约1分钟内获得全文 求助全文
来源期刊
Pain Research & Management
Pain Research & Management CLINICAL NEUROLOGY-
CiteScore
5.30
自引率
0.00%
发文量
109
审稿时长
>12 weeks
期刊介绍: Pain Research and Management is a peer-reviewed, Open Access journal that publishes original research articles, review articles, and clinical studies in all areas of pain management. The most recent Impact Factor for Pain Research and Management is 1.685 according to the 2015 Journal Citation Reports released by Thomson Reuters in 2016.
×
引用
GB/T 7714-2015
复制
MLA
复制
APA
复制
导出至
BibTeX EndNote RefMan NoteFirst NoteExpress
×
提示
您的信息不完整,为了账户安全,请先补充。
现在去补充
×
提示
您因"违规操作"
具体请查看互助需知
我知道了
×
提示
确定
请完成安全验证×
copy
已复制链接
快去分享给好友吧!
我知道了
右上角分享
点击右上角分享
0
联系我们:info@booksci.cn Book学术提供免费学术资源搜索服务,方便国内外学者检索中英文文献。致力于提供最便捷和优质的服务体验。 Copyright © 2023 布克学术 All rights reserved.
京ICP备2023020795号-1
ghs 京公网安备 11010802042870号
Book学术文献互助
Book学术文献互助群
群 号:604180095
Book学术官方微信