Tuberculosis-related vasculitis presenting as multisystem organ infarcts: A case report.

IF 1 Q4 PRIMARY HEALTH CARE
Kunal Saini, Geeta Kampani, Rishabh Rawat, Siddhant Jain
{"title":"Tuberculosis-related vasculitis presenting as multisystem organ infarcts: A case report.","authors":"Kunal Saini, Geeta Kampani, Rishabh Rawat, Siddhant Jain","doi":"10.4103/jfmpc.jfmpc_1279_24","DOIUrl":null,"url":null,"abstract":"<p><p>Tuberculosis (TB) continues to be a major global health concern, particularly in regions where it is endemic. While TB commonly affects the lungs and extrapulmonary sites, its presentation as vasculitis leading to multiple organ infarcts is an extremely rare phenomenon. This case report describes a 34-year-old female who developed simultaneous infarctions in the spleen, kidney, and lungs due to TB-related vasculitis. The diagnosis was established through clinical presentation, imaging studies, and confirmation of Mycobacterium tuberculosis via sputum CBNAAT. The patient was successfully managed with antitubercular therapy (ATT) and corticosteroids, demonstrating significant clinical improvement. The rarity of multisystem infarcts caused by TB underscores the importance of considering tuberculous vasculitis in the differential diagnosis of unexplained infarcts, particularly in endemic regions. Early detection and timely intervention are crucial in preventing severe complications and improving patient outcomes.</p>","PeriodicalId":15856,"journal":{"name":"Journal of Family Medicine and Primary Care","volume":"14 8","pages":"3556-3559"},"PeriodicalIF":1.0000,"publicationDate":"2025-08-01","publicationTypes":"Journal Article","fieldsOfStudy":null,"isOpenAccess":false,"openAccessPdf":"https://www.ncbi.nlm.nih.gov/pmc/articles/PMC12488083/pdf/","citationCount":"0","resultStr":null,"platform":"Semanticscholar","paperid":null,"PeriodicalName":"Journal of Family Medicine and Primary Care","FirstCategoryId":"1085","ListUrlMain":"https://doi.org/10.4103/jfmpc.jfmpc_1279_24","RegionNum":0,"RegionCategory":null,"ArticlePicture":[],"TitleCN":null,"AbstractTextCN":null,"PMCID":null,"EPubDate":"2025/9/24 0:00:00","PubModel":"Epub","JCR":"Q4","JCRName":"PRIMARY HEALTH CARE","Score":null,"Total":0}
引用次数: 0

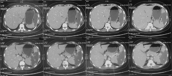
Abstract

Tuberculosis (TB) continues to be a major global health concern, particularly in regions where it is endemic. While TB commonly affects the lungs and extrapulmonary sites, its presentation as vasculitis leading to multiple organ infarcts is an extremely rare phenomenon. This case report describes a 34-year-old female who developed simultaneous infarctions in the spleen, kidney, and lungs due to TB-related vasculitis. The diagnosis was established through clinical presentation, imaging studies, and confirmation of Mycobacterium tuberculosis via sputum CBNAAT. The patient was successfully managed with antitubercular therapy (ATT) and corticosteroids, demonstrating significant clinical improvement. The rarity of multisystem infarcts caused by TB underscores the importance of considering tuberculous vasculitis in the differential diagnosis of unexplained infarcts, particularly in endemic regions. Early detection and timely intervention are crucial in preventing severe complications and improving patient outcomes.

Abstract Image

Abstract Image

Abstract Image

肺结核相关血管炎表现为多系统器官梗死:1例报告。
结核病仍然是一个主要的全球卫生问题,特别是在结核病流行的区域。虽然结核病通常影响肺部和肺外部位,但其表现为血管炎导致多器官梗死是一种极其罕见的现象。本病例报告描述了一名34岁女性,由于结核相关血管炎而并发脾、肾和肺梗死。诊断是通过临床表现,影像学检查,并通过痰CBNAAT确认结核分枝杆菌。患者成功地通过抗结核治疗(ATT)和皮质类固醇治疗,显示出显着的临床改善。结核病引起的多系统梗死的罕见性强调了在鉴别诊断不明原因梗死时考虑结核性血管炎的重要性,特别是在流行地区。早期发现和及时干预对于预防严重并发症和改善患者预后至关重要。
本文章由计算机程序翻译,如有差异,请以英文原文为准。
求助全文
约1分钟内获得全文 求助全文
来源期刊
自引率
7.10%
发文量
884
审稿时长
40 weeks
×
引用
GB/T 7714-2015
复制
MLA
复制
APA
复制
导出至
BibTeX EndNote RefMan NoteFirst NoteExpress
×
提示
您的信息不完整,为了账户安全,请先补充。
现在去补充
×
提示
您因"违规操作"
具体请查看互助需知
我知道了
×
提示
确定
请完成安全验证×
copy
已复制链接
快去分享给好友吧!
我知道了
右上角分享
点击右上角分享
0
联系我们:info@booksci.cn Book学术提供免费学术资源搜索服务,方便国内外学者检索中英文文献。致力于提供最便捷和优质的服务体验。 Copyright © 2023 布克学术 All rights reserved.
京ICP备2023020795号-1
ghs 京公网安备 11010802042870号
Book学术文献互助
Book学术文献互助群
群 号:604180095
Book学术官方微信