Effect of Immunization Against Inhibin on Camel Testicular Morphometry, Echotexture Analysis, Semen Quality, and Vascularization in Relation to Hormonal Aspect.

IF 2.3 2区 农林科学 Q2 VETERINARY SCIENCES
Elshymaa A Abdelnaby, Hossam R El-Sherbiny, Abdulrhman K Alhaider, Mohamed Marzok, Ibrahim A Emam
{"title":"Effect of Immunization Against Inhibin on Camel Testicular Morphometry, Echotexture Analysis, Semen Quality, and Vascularization in Relation to Hormonal Aspect.","authors":"Elshymaa A Abdelnaby, Hossam R El-Sherbiny, Abdulrhman K Alhaider, Mohamed Marzok, Ibrahim A Emam","doi":"10.3390/vetsci12090896","DOIUrl":null,"url":null,"abstract":"<p><p>This study aims to demonstrate whether immunization against inhibin could alters testicular echotexture (TE), hemodynamics (resistance and pulstalilty index [RI and PI], testicular blood flow volume [TBFV]), and semen picture. Senile male camels were immunized actively against inhibin alpha subunit (immunized males; n = 5; subcutaneous route; 1 mL) or non immunized (control males; n = 5). The injection was four times with four weeks intervals. Semen was collected by electroejaculator once per week. Blood sampling, ultrasonography, and hormonal assaying was performed once per week. The levels of follicle stimulating hormone (FSH), luteinizing hormone (LH), estradiol (E2), testosterone (T), and nitric oxide (NO) were calculated. Regarding control camels, the FSH levels were elevated (<i>p</i> < 0.01) in immunized males weeks 6-9 in August. Both E2 and NO were increased in the same group at weeks 7-11 with the highest level in week 10 for E2 (17.01 ± 0.11 pg/mL) in September and in week 9 for NO (44.66 ± 0.15 µmol/L). The Doppler indices RI and PI were declined (<i>p</i> < 0.01) in immunized camels in weeks 7-11, while the TBFV was elevated (<i>p</i> < 0.01). A marked elevation (<i>p</i> < 0.05) in testicular volume was noticed in the immunized group with a decline in the TE in week 9. The sperm cell concentration and viability were elevated (<i>p</i> < 0.01) in the immunized group. In conclusion, the active immunization against inhibin in senile camels shows a positive effect via improvement of testicular hemodynamics, flow volume, testicular volume, FSH, E2, NO, and sperm cell concentration with viability %, and alterations in both Doppler indices with the TE.</p>","PeriodicalId":23694,"journal":{"name":"Veterinary Sciences","volume":"12 9","pages":""},"PeriodicalIF":2.3000,"publicationDate":"2025-09-15","publicationTypes":"Journal Article","fieldsOfStudy":null,"isOpenAccess":false,"openAccessPdf":"https://www.ncbi.nlm.nih.gov/pmc/articles/PMC12474288/pdf/","citationCount":"0","resultStr":null,"platform":"Semanticscholar","paperid":null,"PeriodicalName":"Veterinary Sciences","FirstCategoryId":"97","ListUrlMain":"https://doi.org/10.3390/vetsci12090896","RegionNum":2,"RegionCategory":"农林科学","ArticlePicture":[],"TitleCN":null,"AbstractTextCN":null,"PMCID":null,"EPubDate":"","PubModel":"","JCR":"Q2","JCRName":"VETERINARY SCIENCES","Score":null,"Total":0}
引用次数: 0

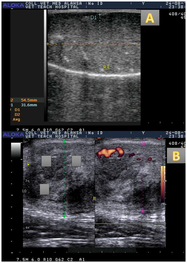
Abstract

This study aims to demonstrate whether immunization against inhibin could alters testicular echotexture (TE), hemodynamics (resistance and pulstalilty index [RI and PI], testicular blood flow volume [TBFV]), and semen picture. Senile male camels were immunized actively against inhibin alpha subunit (immunized males; n = 5; subcutaneous route; 1 mL) or non immunized (control males; n = 5). The injection was four times with four weeks intervals. Semen was collected by electroejaculator once per week. Blood sampling, ultrasonography, and hormonal assaying was performed once per week. The levels of follicle stimulating hormone (FSH), luteinizing hormone (LH), estradiol (E2), testosterone (T), and nitric oxide (NO) were calculated. Regarding control camels, the FSH levels were elevated (p < 0.01) in immunized males weeks 6-9 in August. Both E2 and NO were increased in the same group at weeks 7-11 with the highest level in week 10 for E2 (17.01 ± 0.11 pg/mL) in September and in week 9 for NO (44.66 ± 0.15 µmol/L). The Doppler indices RI and PI were declined (p < 0.01) in immunized camels in weeks 7-11, while the TBFV was elevated (p < 0.01). A marked elevation (p < 0.05) in testicular volume was noticed in the immunized group with a decline in the TE in week 9. The sperm cell concentration and viability were elevated (p < 0.01) in the immunized group. In conclusion, the active immunization against inhibin in senile camels shows a positive effect via improvement of testicular hemodynamics, flow volume, testicular volume, FSH, E2, NO, and sperm cell concentration with viability %, and alterations in both Doppler indices with the TE.

Abstract Image

Abstract Image

Abstract Image

免疫抑制素对骆驼睾丸形态、回声分析、精液质量和与激素有关的血管化的影响。
本研究旨在探讨免疫抑制素是否会改变睾丸超声图(TE)、血流动力学(阻力和脉搏指数[RI和PI]、睾丸血流量[TBFV])和精液图像。对老年雄性骆驼主动免疫抑制素α亚基(免疫雄性,n = 5;皮下途径,1 mL)或未免疫(对照雄性,n = 5)。注射四次,间隔四周。每周用电射精器采集一次精液。每周进行一次血液采样、超声检查和激素检测。计算促卵泡激素(FSH)、黄体生成素(LH)、雌二醇(E2)、睾酮(T)、一氧化氮(NO)水平。与对照骆驼相比,8月6-9周接种的雄性FSH水平升高(p < 0.01)。同一组E2和NO均在7-11周升高,E2在第10周最高(17.01±0.11 pg/mL), NO在第9周最高(44.66±0.15µmol/L)。免疫后7 ~ 11周,多普勒指数RI和PI下降(p < 0.01), TBFV升高(p < 0.01)。免疫组在第9周睾丸体积显著升高(p < 0.05), TE下降。免疫组小鼠精子细胞浓度和活力显著升高(p < 0.01)。综上所述,抑制素主动免疫对老年骆驼的睾丸血流动力学、睾丸流量、睾丸体积、FSH、E2、NO和精子活力%浓度的改善以及与TE相关的两种多普勒指数的改变均有积极作用。
本文章由计算机程序翻译,如有差异,请以英文原文为准。
求助全文
约1分钟内获得全文 求助全文
来源期刊
Veterinary Sciences
Veterinary Sciences VETERINARY SCIENCES-
CiteScore
2.90
自引率
8.30%
发文量
612
审稿时长
6 weeks
期刊介绍: Veterinary Sciences is an international and interdisciplinary scholarly open access journal. It publishes original that are relevant to any field of veterinary sciences, including prevention, diagnosis and treatment of disease, disorder and injury in animals. This journal covers almost all topics related to animal health and veterinary medicine. Research fields of interest include but are not limited to: anaesthesiology anatomy bacteriology biochemistry cardiology dentistry dermatology embryology endocrinology epidemiology genetics histology immunology microbiology molecular biology mycology neurobiology oncology ophthalmology parasitology pathology pharmacology physiology radiology surgery theriogenology toxicology virology.
×
引用
GB/T 7714-2015
复制
MLA
复制
APA
复制
导出至
BibTeX EndNote RefMan NoteFirst NoteExpress
×
提示
您的信息不完整,为了账户安全,请先补充。
现在去补充
×
提示
您因"违规操作"
具体请查看互助需知
我知道了
×
提示
确定
请完成安全验证×
copy
已复制链接
快去分享给好友吧!
我知道了
右上角分享
点击右上角分享
0
联系我们:info@booksci.cn Book学术提供免费学术资源搜索服务,方便国内外学者检索中英文文献。致力于提供最便捷和优质的服务体验。 Copyright © 2023 布克学术 All rights reserved.
京ICP备2023020795号-1
ghs 京公网安备 11010802042870号
Book学术文献互助
Book学术文献互助群
群 号:604180095
Book学术官方微信