Eosinophilic Esophagitis-Catching Up with the Hype Train: A Systematic Overview and Review of the Literature of the Emerging Disease.

IF 3.9 3区 工程技术 Q2 BIOCHEMISTRY & MOLECULAR BIOLOGY
Jawad Hindy, Amir Mari, Tova Rainis, Gadeer A'li Taha
{"title":"Eosinophilic Esophagitis-Catching Up with the Hype Train: A Systematic Overview and Review of the Literature of the Emerging Disease.","authors":"Jawad Hindy, Amir Mari, Tova Rainis, Gadeer A'li Taha","doi":"10.3390/biomedicines13092230","DOIUrl":null,"url":null,"abstract":"<p><p><b>Background</b>: Eosinophilic esophagitis (EoE) is a chronic, immune-mediated esophageal disorder characterized by Th2-driven inflammation. Clinically, it manifests as esophageal dysfunction, including dysphagia and food impaction, and is frequently associated with atopic comorbidities. <b>Methods</b>: Diagnosis is established via histologic confirmation of ≥15 eosinophils per high-power field (hpf) on esophageal biopsy. Clinical presentation varies, ranging from subtle dysphagia to severe complications necessitating urgent endoscopic intervention. <b>Results</b>: Disease progression is characterized by esophageal remodeling, encompassing fibrosis, angiogenesis, and muscular hypertrophy. Management strategies require individualized, long-term approaches aimed at symptom control and prevention of structural complications. <b>Discussion</b>: Advances in the last decade have refined diagnostic criteria, standardized endoscopic scoring systems, and introduced novel therapeutic agents, including biologics. This review synthesizes current evidence regarding epidemiology, clinical manifestations, diagnostics, and therapeutic strategies.</p>","PeriodicalId":8937,"journal":{"name":"Biomedicines","volume":"13 9","pages":""},"PeriodicalIF":3.9000,"publicationDate":"2025-09-10","publicationTypes":"Journal Article","fieldsOfStudy":null,"isOpenAccess":false,"openAccessPdf":"https://www.ncbi.nlm.nih.gov/pmc/articles/PMC12467970/pdf/","citationCount":"0","resultStr":null,"platform":"Semanticscholar","paperid":null,"PeriodicalName":"Biomedicines","FirstCategoryId":"5","ListUrlMain":"https://doi.org/10.3390/biomedicines13092230","RegionNum":3,"RegionCategory":"工程技术","ArticlePicture":[],"TitleCN":null,"AbstractTextCN":null,"PMCID":null,"EPubDate":"","PubModel":"","JCR":"Q2","JCRName":"BIOCHEMISTRY & MOLECULAR BIOLOGY","Score":null,"Total":0}
引用次数: 0

Abstract

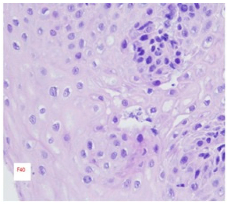
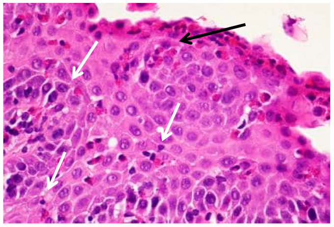
Background: Eosinophilic esophagitis (EoE) is a chronic, immune-mediated esophageal disorder characterized by Th2-driven inflammation. Clinically, it manifests as esophageal dysfunction, including dysphagia and food impaction, and is frequently associated with atopic comorbidities. Methods: Diagnosis is established via histologic confirmation of ≥15 eosinophils per high-power field (hpf) on esophageal biopsy. Clinical presentation varies, ranging from subtle dysphagia to severe complications necessitating urgent endoscopic intervention. Results: Disease progression is characterized by esophageal remodeling, encompassing fibrosis, angiogenesis, and muscular hypertrophy. Management strategies require individualized, long-term approaches aimed at symptom control and prevention of structural complications. Discussion: Advances in the last decade have refined diagnostic criteria, standardized endoscopic scoring systems, and introduced novel therapeutic agents, including biologics. This review synthesizes current evidence regarding epidemiology, clinical manifestations, diagnostics, and therapeutic strategies.

Abstract Image

Abstract Image

Abstract Image

嗜酸性粒细胞性食管炎-赶上炒作列车:对新发疾病文献的系统概述和回顾。
背景:嗜酸性粒细胞性食管炎(EoE)是一种慢性、免疫介导的食管疾病,以th2驱动的炎症为特征。临床上表现为食道功能障碍,包括吞咽困难和食物嵌塞,并常伴有特应性合并症。方法:通过食道活检每高倍视野(hpf)≥15个嗜酸性粒细胞的组织学证实来诊断。临床表现各不相同,从轻微的吞咽困难到严重的并发症,需要紧急内镜干预。结果:疾病进展的特点是食管重塑,包括纤维化、血管生成和肌肉肥大。管理策略需要个性化的、长期的方法,旨在控制症状和预防结构性并发症。讨论:过去十年的进展改进了诊断标准,标准化了内窥镜评分系统,并引入了新的治疗药物,包括生物制剂。这篇综述综合了目前关于流行病学、临床表现、诊断和治疗策略的证据。
本文章由计算机程序翻译,如有差异,请以英文原文为准。
求助全文
约1分钟内获得全文 求助全文
来源期刊
Biomedicines
Biomedicines Biochemistry, Genetics and Molecular Biology-General Biochemistry,Genetics and Molecular Biology
CiteScore
5.20
自引率
8.50%
发文量
2823
审稿时长
8 weeks
期刊介绍: Biomedicines (ISSN 2227-9059; CODEN: BIOMID) is an international, scientific, open access journal on biomedicines published quarterly online by MDPI.
×
引用
GB/T 7714-2015
复制
MLA
复制
APA
复制
导出至
BibTeX EndNote RefMan NoteFirst NoteExpress
×
提示
您的信息不完整,为了账户安全,请先补充。
现在去补充
×
提示
您因"违规操作"
具体请查看互助需知
我知道了
×
提示
确定
请完成安全验证×
copy
已复制链接
快去分享给好友吧!
我知道了
右上角分享
点击右上角分享
0
联系我们:info@booksci.cn Book学术提供免费学术资源搜索服务,方便国内外学者检索中英文文献。致力于提供最便捷和优质的服务体验。 Copyright © 2023 布克学术 All rights reserved.
京ICP备2023020795号-1
ghs 京公网安备 11010802042870号
Book学术文献互助
Book学术文献互助群
群 号:604180095
Book学术官方微信