Immunohistochemical evidence of lipid peroxidation role in diethylnitrosamine-induced hepatocellular carcinoma in male Wistar albino rats.

IF 1.1 4区 农林科学 Q3 ZOOLOGY
Veterinary Research Forum Pub Date : 2025-01-01 Epub Date: 2025-07-15 DOI:10.30466/vrf.2024.2036652.4378
Emin Karakurt, Serpil Dag, Hilmi Nuhoglu, Ayfer Yıldız, Emre Kurtbas
{"title":"Immunohistochemical evidence of lipid peroxidation role in diethylnitrosamine-induced hepatocellular carcinoma in male Wistar albino rats.","authors":"Emin Karakurt, Serpil Dag, Hilmi Nuhoglu, Ayfer Yıldız, Emre Kurtbas","doi":"10.30466/vrf.2024.2036652.4378","DOIUrl":null,"url":null,"abstract":"<p><p>This study aimed to evaluate malondialdehyde (MDA) expressions using the immunohisto-chemical method in order to reveal the role of lipid peroxidation in the development and progression of hepatocellular carcinoma (HCC) induced by diethylnitrosamine (DEN) in male Wistar albino rats. Avidin-biotin-peroxidase method was used for immunohistochemical evaluation. Histopathological examinations revealed that DEN caused a mixed pattern (trabecular and acinar formations) of HCC in the majority of rats. The MDA positive stainings were significantly increased in rats in the HCC group compared to the healthy rats in the control group. In conclusion, this study data contain three important findings. The first one is that DEN triggers the formation of reactive oxygen species (ROS), excessively produced ROS cause oxidative stress, and as a result, oxidative stress strongly causes lipid peroxidation. Secondly, it is clear that there is an important relationship between oxidative stress-induced lipid peroxidation and HCC progression. At the same time, MDA is an useful biomarker in determining the prognosis of patients with HCC. The third and final finding is that intra-peritoneal DEN injection once a week for 20 weeks, but not in combination with other promoting chemical agents, appears to be very effective in inducing experimental HCC.</p>","PeriodicalId":23989,"journal":{"name":"Veterinary Research Forum","volume":"16 7","pages":"375-380"},"PeriodicalIF":1.1000,"publicationDate":"2025-01-01","publicationTypes":"Journal Article","fieldsOfStudy":null,"isOpenAccess":false,"openAccessPdf":"https://www.ncbi.nlm.nih.gov/pmc/articles/PMC12456678/pdf/","citationCount":"0","resultStr":null,"platform":"Semanticscholar","paperid":null,"PeriodicalName":"Veterinary Research Forum","FirstCategoryId":"97","ListUrlMain":"https://doi.org/10.30466/vrf.2024.2036652.4378","RegionNum":4,"RegionCategory":"农林科学","ArticlePicture":[],"TitleCN":null,"AbstractTextCN":null,"PMCID":null,"EPubDate":"2025/7/15 0:00:00","PubModel":"Epub","JCR":"Q3","JCRName":"ZOOLOGY","Score":null,"Total":0}
引用次数: 0

Abstract

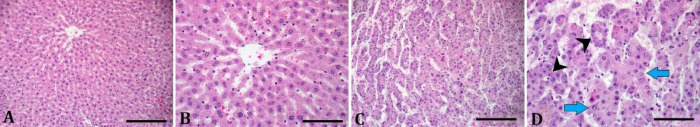
This study aimed to evaluate malondialdehyde (MDA) expressions using the immunohisto-chemical method in order to reveal the role of lipid peroxidation in the development and progression of hepatocellular carcinoma (HCC) induced by diethylnitrosamine (DEN) in male Wistar albino rats. Avidin-biotin-peroxidase method was used for immunohistochemical evaluation. Histopathological examinations revealed that DEN caused a mixed pattern (trabecular and acinar formations) of HCC in the majority of rats. The MDA positive stainings were significantly increased in rats in the HCC group compared to the healthy rats in the control group. In conclusion, this study data contain three important findings. The first one is that DEN triggers the formation of reactive oxygen species (ROS), excessively produced ROS cause oxidative stress, and as a result, oxidative stress strongly causes lipid peroxidation. Secondly, it is clear that there is an important relationship between oxidative stress-induced lipid peroxidation and HCC progression. At the same time, MDA is an useful biomarker in determining the prognosis of patients with HCC. The third and final finding is that intra-peritoneal DEN injection once a week for 20 weeks, but not in combination with other promoting chemical agents, appears to be very effective in inducing experimental HCC.

Abstract Image

Abstract Image

脂质过氧化作用在雄性Wistar白化大鼠二乙基亚硝胺诱导的肝细胞癌中的免疫组织化学证据。
本研究旨在利用免疫组织化学方法检测丙二醛(MDA)在雄性Wistar白化大鼠中表达,以揭示脂质过氧化在二乙基亚硝胺(DEN)诱导的肝细胞癌(HCC)发生发展中的作用。免疫组化评价采用亲和素-生物素-过氧化物酶法。组织病理学检查显示,DEN在大多数大鼠中引起混合模式(小梁和腺泡形成)的HCC。HCC组大鼠的MDA阳性染色明显高于对照组健康大鼠。总之,本研究数据包含三个重要发现。一是DEN触发活性氧(reactive oxygen species, ROS)的形成,ROS的过量产生引起氧化应激,氧化应激强烈地引起脂质过氧化。其次,氧化应激诱导的脂质过氧化与HCC进展之间明显存在重要关系。同时,丙二醛是判断HCC患者预后的有用生物标志物。第三个也是最后一个发现是,腹膜内DEN注射每周一次,持续20周,但不与其他促进化学药物联合,似乎对诱导实验性HCC非常有效。
本文章由计算机程序翻译,如有差异,请以英文原文为准。
求助全文
约1分钟内获得全文 求助全文
来源期刊
Veterinary Research Forum
Veterinary Research Forum Veterinary-General Veterinary
CiteScore
1.50
自引率
0.00%
发文量
0
审稿时长
8 weeks
期刊介绍: Veterinary Research Forum (VRF) is a quarterly international journal committed to publish worldwide contributions on all aspects of veterinary science and medicine, including anatomy and histology, physiology and pharmacology, anatomic and clinical pathology, parasitology, microbiology, immunology and epidemiology, food hygiene, poultry science, fish and aquaculture, anesthesia and surgery, large and small animal internal medicine, large and small animal reproduction, biotechnology and diagnostic imaging of domestic, companion and farm animals.
×
引用
GB/T 7714-2015
复制
MLA
复制
APA
复制
导出至
BibTeX EndNote RefMan NoteFirst NoteExpress
×
提示
您的信息不完整,为了账户安全,请先补充。
现在去补充
×
提示
您因"违规操作"
具体请查看互助需知
我知道了
×
提示
确定
请完成安全验证×
copy
已复制链接
快去分享给好友吧!
我知道了
右上角分享
点击右上角分享
0
联系我们:info@booksci.cn Book学术提供免费学术资源搜索服务,方便国内外学者检索中英文文献。致力于提供最便捷和优质的服务体验。 Copyright © 2023 布克学术 All rights reserved.
京ICP备2023020795号-1
ghs 京公网安备 11010802042870号
Book学术文献互助
Book学术文献互助群
群 号:604180095
Book学术官方微信