Case Report: Experience of a case of cardiac arrest caused by postoperative pulmonary embolism and hepatic rupture induced by cardiopulmonary resuscitation.

IF 2.8 3区 医学 Q2 CARDIAC & CARDIOVASCULAR SYSTEMS
Frontiers in Cardiovascular Medicine Pub Date : 2025-09-08 eCollection Date: 2025-01-01 DOI:10.3389/fcvm.2025.1624064
Haowen Yang, Yuehong Li, Xiongbing Peng, Zhaojun Li, Peiwan Liu, Xingbao Fang
{"title":"Case Report: Experience of a case of cardiac arrest caused by postoperative pulmonary embolism and hepatic rupture induced by cardiopulmonary resuscitation.","authors":"Haowen Yang, Yuehong Li, Xiongbing Peng, Zhaojun Li, Peiwan Liu, Xingbao Fang","doi":"10.3389/fcvm.2025.1624064","DOIUrl":null,"url":null,"abstract":"<p><p>Postoperative pulmonary embolism (PE) poses a serious threat to a patient's life. However, cases involving concurrent liver rupture are exceedingly rare. This report describes a case of a patient who experienced cardiac arrest due to PE following lower extremity varicose vein surgery, followed by liver rupture during cardiopulmonary resuscitation (CPR). Under the timely intervention of a multidisciplinary team (MDT), the patient underwent extracorporeal membrane oxygenation (ECMO)-assisted resuscitation and hepatic repair surgery. Through a staged anticoagulation strategy, a balance was achieved between bleeding control and thrombosis prevention. Ultimately, after 23 days of treatment, the patient regained consciousness and was transferred to rehabilitation.</p>","PeriodicalId":12414,"journal":{"name":"Frontiers in Cardiovascular Medicine","volume":"12 ","pages":"1624064"},"PeriodicalIF":2.8000,"publicationDate":"2025-09-08","publicationTypes":"Journal Article","fieldsOfStudy":null,"isOpenAccess":false,"openAccessPdf":"https://www.ncbi.nlm.nih.gov/pmc/articles/PMC12450990/pdf/","citationCount":"0","resultStr":null,"platform":"Semanticscholar","paperid":null,"PeriodicalName":"Frontiers in Cardiovascular Medicine","FirstCategoryId":"3","ListUrlMain":"https://doi.org/10.3389/fcvm.2025.1624064","RegionNum":3,"RegionCategory":"医学","ArticlePicture":[],"TitleCN":null,"AbstractTextCN":null,"PMCID":null,"EPubDate":"2025/1/1 0:00:00","PubModel":"eCollection","JCR":"Q2","JCRName":"CARDIAC & CARDIOVASCULAR SYSTEMS","Score":null,"Total":0}
引用次数: 0

Abstract

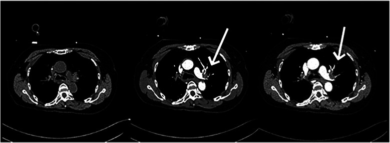
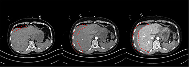
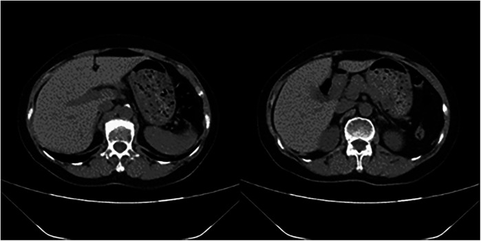
Postoperative pulmonary embolism (PE) poses a serious threat to a patient's life. However, cases involving concurrent liver rupture are exceedingly rare. This report describes a case of a patient who experienced cardiac arrest due to PE following lower extremity varicose vein surgery, followed by liver rupture during cardiopulmonary resuscitation (CPR). Under the timely intervention of a multidisciplinary team (MDT), the patient underwent extracorporeal membrane oxygenation (ECMO)-assisted resuscitation and hepatic repair surgery. Through a staged anticoagulation strategy, a balance was achieved between bleeding control and thrombosis prevention. Ultimately, after 23 days of treatment, the patient regained consciousness and was transferred to rehabilitation.

Abstract Image

Abstract Image

Abstract Image

病例报告:1例心肺复苏术后肺栓塞及肝破裂致心脏骤停。
术后肺栓塞(PE)严重威胁着患者的生命安全。然而,并发肝破裂的病例是非常罕见的。本报告描述了一例患者因下肢静脉曲张手术后PE导致心脏骤停,随后心肺复苏(CPR)期间肝脏破裂。在多学科团队(MDT)的及时干预下,患者接受了体外膜氧合(ECMO)辅助复苏和肝脏修复手术。通过分期抗凝策略,实现了出血控制和血栓预防之间的平衡。最终,经过23天的治疗,患者恢复了意识,并被转移到康复中心。
本文章由计算机程序翻译,如有差异,请以英文原文为准。
求助全文
约1分钟内获得全文 求助全文
来源期刊
Frontiers in Cardiovascular Medicine
Frontiers in Cardiovascular Medicine Medicine-Cardiology and Cardiovascular Medicine
CiteScore
3.80
自引率
11.10%
发文量
3529
审稿时长
14 weeks
期刊介绍: Frontiers? Which frontiers? Where exactly are the frontiers of cardiovascular medicine? And who should be defining these frontiers? At Frontiers in Cardiovascular Medicine we believe it is worth being curious to foresee and explore beyond the current frontiers. In other words, we would like, through the articles published by our community journal Frontiers in Cardiovascular Medicine, to anticipate the future of cardiovascular medicine, and thus better prevent cardiovascular disorders and improve therapeutic options and outcomes of our patients.
×
引用
GB/T 7714-2015
复制
MLA
复制
APA
复制
导出至
BibTeX EndNote RefMan NoteFirst NoteExpress
×
提示
您的信息不完整,为了账户安全,请先补充。
现在去补充
×
提示
您因"违规操作"
具体请查看互助需知
我知道了
×
提示
确定
请完成安全验证×
copy
已复制链接
快去分享给好友吧!
我知道了
右上角分享
点击右上角分享
0
联系我们:info@booksci.cn Book学术提供免费学术资源搜索服务,方便国内外学者检索中英文文献。致力于提供最便捷和优质的服务体验。 Copyright © 2023 布克学术 All rights reserved.
京ICP备2023020795号-1
ghs 京公网安备 11010802042870号
Book学术文献互助
Book学术文献互助群
群 号:604180095
Book学术官方微信