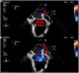
Cor Triatriatum Sinister in a 34-Year-Old Woman

Michael L. Cheng MD , Alex Gyftopoulos MD , Justin Brilliant MD , Joshua L. Leibowitz MD , Mark R. Vesely MD , James M. Brown MD , Manu Mysore MD
{"title":"Cor Triatriatum Sinister in a 34-Year-Old Woman","authors":"Michael L. Cheng MD , Alex Gyftopoulos MD , Justin Brilliant MD , Joshua L. Leibowitz MD , Mark R. Vesely MD , James M. Brown MD , Manu Mysore MD","doi":"10.1016/j.case.2025.05.003","DOIUrl":null,"url":null,"abstract":"","PeriodicalId":72532,"journal":{"name":"CASE (Philadelphia, Pa.)","volume":"9 9","pages":"Pages 301-304"},"PeriodicalIF":0.0000,"publicationDate":"2025-09-01","publicationTypes":"Journal Article","fieldsOfStudy":null,"isOpenAccess":false,"openAccessPdf":"","citationCount":"0","resultStr":null,"platform":"Semanticscholar","paperid":null,"PeriodicalName":"CASE (Philadelphia, Pa.)","FirstCategoryId":"1085","ListUrlMain":"https://www.sciencedirect.com/science/article/pii/S246864412500132X","RegionNum":0,"RegionCategory":null,"ArticlePicture":[],"TitleCN":null,"AbstractTextCN":null,"PMCID":null,"EPubDate":"","PubModel":"","JCR":"","JCRName":"","Score":null,"Total":0}
引用次数: 0

Abstract Image

34岁女性三心房畸形
本文章由计算机程序翻译,如有差异,请以英文原文为准。
求助全文
约1分钟内获得全文 求助全文
来源期刊
CASE (Philadelphia, Pa.)
CASE (Philadelphia, Pa.) Radiology and Imaging, Cardiology and Cardiovascular Medicine, Radiography
自引率
0.00%
发文量
0
审稿时长
53 days
×
引用
GB/T 7714-2015
复制
MLA
复制
APA
复制
导出至
BibTeX EndNote RefMan NoteFirst NoteExpress
×
提示
您的信息不完整,为了账户安全,请先补充。
现在去补充
×
提示
您因"违规操作"
具体请查看互助需知
我知道了
×
提示
确定
请完成安全验证×
copy
已复制链接
快去分享给好友吧!
我知道了
右上角分享
点击右上角分享
0
联系我们:info@booksci.cn Book学术提供免费学术资源搜索服务,方便国内外学者检索中英文文献。致力于提供最便捷和优质的服务体验。 Copyright © 2023 布克学术 All rights reserved.
京ICP备2023020795号-1
ghs 京公网安备 11010802042870号
Book学术文献互助
Book学术文献互助群
群 号:604180095
Book学术官方微信