Radical Cystectomy With Complete Duplication/Double Ureters.

Case Reports in Urology Pub Date : 2025-09-09 eCollection Date: 2025-01-01 DOI:10.1155/criu/6433003
David S Buchinsky, Jatan Shah, Nicolas Muruve, Jonathan Hakim
{"title":"Radical Cystectomy With Complete Duplication/Double Ureters.","authors":"David S Buchinsky, Jatan Shah, Nicolas Muruve, Jonathan Hakim","doi":"10.1155/criu/6433003","DOIUrl":null,"url":null,"abstract":"<p><p>Ureteric duplication is a variation of the urinary tract which can have significant impact in the urologic reconstructive setting. We present the incidental diagnosis and management of a 68-year-old man who was found to have a double ureter in the context of a radical cystectomy.</p>","PeriodicalId":30323,"journal":{"name":"Case Reports in Urology","volume":"2025 ","pages":"6433003"},"PeriodicalIF":0.0000,"publicationDate":"2025-09-09","publicationTypes":"Journal Article","fieldsOfStudy":null,"isOpenAccess":false,"openAccessPdf":"https://www.ncbi.nlm.nih.gov/pmc/articles/PMC12440662/pdf/","citationCount":"0","resultStr":null,"platform":"Semanticscholar","paperid":null,"PeriodicalName":"Case Reports in Urology","FirstCategoryId":"1085","ListUrlMain":"https://doi.org/10.1155/criu/6433003","RegionNum":0,"RegionCategory":null,"ArticlePicture":[],"TitleCN":null,"AbstractTextCN":null,"PMCID":null,"EPubDate":"2025/1/1 0:00:00","PubModel":"eCollection","JCR":"","JCRName":"","Score":null,"Total":0}
引用次数: 0

Abstract

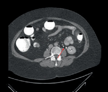
Ureteric duplication is a variation of the urinary tract which can have significant impact in the urologic reconstructive setting. We present the incidental diagnosis and management of a 68-year-old man who was found to have a double ureter in the context of a radical cystectomy.

Abstract Image

根治性膀胱切除术合并全双输尿管。
输尿管重复是泌尿道的一种变异,在泌尿系统重建中具有重要的影响。我们提出一个偶然的诊断和管理的68岁男子谁被发现有双输尿管的背景下,根治性膀胱切除术。
本文章由计算机程序翻译,如有差异,请以英文原文为准。
求助全文
约1分钟内获得全文 求助全文
来源期刊
自引率
0.00%
发文量
28
审稿时长
13 weeks
×
引用
GB/T 7714-2015
复制
MLA
复制
APA
复制
导出至
BibTeX EndNote RefMan NoteFirst NoteExpress
×
提示
您的信息不完整,为了账户安全,请先补充。
现在去补充
×
提示
您因"违规操作"
具体请查看互助需知
我知道了
×
提示
确定
请完成安全验证×
copy
已复制链接
快去分享给好友吧!
我知道了
右上角分享
点击右上角分享
0
联系我们:info@booksci.cn Book学术提供免费学术资源搜索服务,方便国内外学者检索中英文文献。致力于提供最便捷和优质的服务体验。 Copyright © 2023 布克学术 All rights reserved.
京ICP备2023020795号-1
ghs 京公网安备 11010802042870号
Book学术文献互助
Book学术文献互助群
群 号:604180095
Book学术官方微信