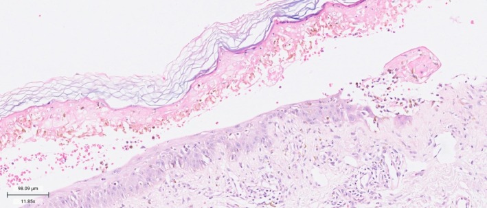
Photodistributed Stevens-Johnson Syndrome/Toxic Epidermal Necrolysis.

IF 2.2 4区 医学 Q2 DERMATOLOGY
Sergio Castillo-Pinto, Miguel Nieto, María Camila Marín Murillo, Adriana Cruz-Garnica
{"title":"Photodistributed Stevens-Johnson Syndrome/Toxic Epidermal Necrolysis.","authors":"Sergio Castillo-Pinto, Miguel Nieto, María Camila Marín Murillo, Adriana Cruz-Garnica","doi":"10.1111/phpp.70053","DOIUrl":null,"url":null,"abstract":"","PeriodicalId":20123,"journal":{"name":"Photodermatology, photoimmunology & photomedicine","volume":"41 5","pages":"e70053"},"PeriodicalIF":2.2000,"publicationDate":"2025-09-01","publicationTypes":"Journal Article","fieldsOfStudy":null,"isOpenAccess":false,"openAccessPdf":"https://www.ncbi.nlm.nih.gov/pmc/articles/PMC12436978/pdf/","citationCount":"0","resultStr":null,"platform":"Semanticscholar","paperid":null,"PeriodicalName":"Photodermatology, photoimmunology & photomedicine","FirstCategoryId":"3","ListUrlMain":"https://doi.org/10.1111/phpp.70053","RegionNum":4,"RegionCategory":"医学","ArticlePicture":[],"TitleCN":null,"AbstractTextCN":null,"PMCID":null,"EPubDate":"","PubModel":"","JCR":"Q2","JCRName":"DERMATOLOGY","Score":null,"Total":0}
引用次数: 0

Abstract Image

Abstract Image

光分布史蒂文斯-约翰逊综合征/中毒性表皮坏死松解。
本文章由计算机程序翻译,如有差异,请以英文原文为准。
求助全文
约1分钟内获得全文 求助全文
来源期刊
CiteScore
4.40
自引率
7.70%
发文量
85
审稿时长
6-12 weeks
期刊介绍: The journal is a forum for new information about the direct and distant effects of electromagnetic radiation (ultraviolet, visible and infrared) mediated through skin. The divisions of the editorial board reflect areas of specific interest: aging, carcinogenesis, immunology, instrumentation and optics, lasers, photodynamic therapy, photosensitivity, pigmentation and therapy. Photodermatology, Photoimmunology & Photomedicine includes original articles, reviews, communications and editorials. Original articles may include the investigation of experimental or pathological processes in humans or animals in vivo or the investigation of radiation effects in cells or tissues in vitro. Methodology need have no limitation; rather, it should be appropriate to the question addressed.
×
引用
GB/T 7714-2015
复制
MLA
复制
APA
复制
导出至
BibTeX EndNote RefMan NoteFirst NoteExpress
×
提示
您的信息不完整,为了账户安全,请先补充。
现在去补充
×
提示
您因"违规操作"
具体请查看互助需知
我知道了
×
提示
确定
请完成安全验证×
copy
已复制链接
快去分享给好友吧!
我知道了
右上角分享
点击右上角分享
0
联系我们:info@booksci.cn Book学术提供免费学术资源搜索服务,方便国内外学者检索中英文文献。致力于提供最便捷和优质的服务体验。 Copyright © 2023 布克学术 All rights reserved.
京ICP备2023020795号-1
ghs 京公网安备 11010802042870号
Book学术文献互助
Book学术文献互助群
群 号:604180095
Book学术官方微信