Pancreatic Pseudocyst Filled with Biliary Stones Mimicking a Pancreatic Groove Tumor: A Case Report.

IF 0.7 Q4 SURGERY
Surgical Case Reports Pub Date : 2025-01-01 Epub Date: 2025-09-09 DOI:10.70352/scrj.cr.25-0202
Hiromitsu Imataki, Masaoki Hattori, Akihiro Hirata, Akihiro Tomida, Jumpei Shibata, Marika Suzuki, Hideharu Shintomi, Motoi Yoshihara, Tomoaki Takeyama, Yoshikazu Mizoguchi
{"title":"Pancreatic Pseudocyst Filled with Biliary Stones Mimicking a Pancreatic Groove Tumor: A Case Report.","authors":"Hiromitsu Imataki, Masaoki Hattori, Akihiro Hirata, Akihiro Tomida, Jumpei Shibata, Marika Suzuki, Hideharu Shintomi, Motoi Yoshihara, Tomoaki Takeyama, Yoshikazu Mizoguchi","doi":"10.70352/scrj.cr.25-0202","DOIUrl":null,"url":null,"abstract":"<p><strong>Introduction: </strong>Reports of fistulas in the common bile duct caused by pancreatic pseudocysts have increased. However, to the best of our knowledge, no prior report has described pseudocysts filled with microbiliary stones that were difficult to differentiate from neoplastic lesions.</p><p><strong>Case presentation: </strong>A 64-year-old man presented with groove pancreatitis attributable to heavy alcohol consumption and a hypovascular mass in the groove area with duodenal bleeding. The lesion, which was initially considered a pancreatic groove tumor with groove pancreatitis, was treated with subtotal stomach-preserving pancreaticoduodenectomy. However, a post-surgical pathological analysis revealed that it was a pancreatic pseudocyst in the groove area containing bilirubin calcium stones and pancreatic stones.</p><p><strong>Conclusions: </strong>Cases comprising fistula formation in the common bile duct are rare. A pancreatic pseudocyst that formed a fistula with the common bile duct was suspected in the present case. This case was unique because the pseudocyst was filled with microbiliary stones. This report highlights the difficulty in differentiating a pseudocyst filled with bilirubin calcium stones from a neoplastic lesion and underscores the importance of the accurate diagnosis and management of this rare pathology.</p>","PeriodicalId":22096,"journal":{"name":"Surgical Case Reports","volume":"11 1","pages":""},"PeriodicalIF":0.7000,"publicationDate":"2025-01-01","publicationTypes":"Journal Article","fieldsOfStudy":null,"isOpenAccess":false,"openAccessPdf":"https://www.ncbi.nlm.nih.gov/pmc/articles/PMC12426864/pdf/","citationCount":"0","resultStr":null,"platform":"Semanticscholar","paperid":null,"PeriodicalName":"Surgical Case Reports","FirstCategoryId":"1085","ListUrlMain":"https://doi.org/10.70352/scrj.cr.25-0202","RegionNum":0,"RegionCategory":null,"ArticlePicture":[],"TitleCN":null,"AbstractTextCN":null,"PMCID":null,"EPubDate":"2025/9/9 0:00:00","PubModel":"Epub","JCR":"Q4","JCRName":"SURGERY","Score":null,"Total":0}
引用次数: 0

Abstract

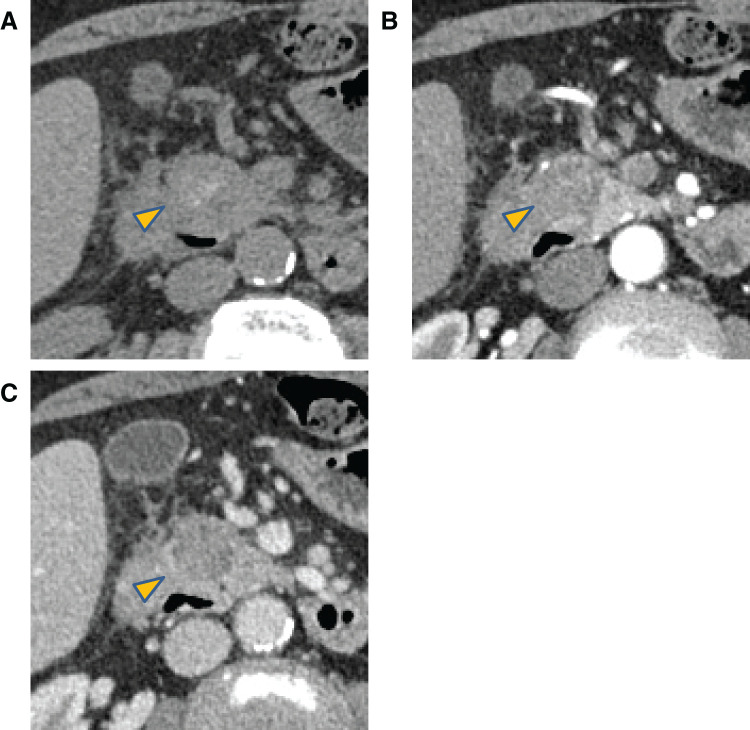
Introduction: Reports of fistulas in the common bile duct caused by pancreatic pseudocysts have increased. However, to the best of our knowledge, no prior report has described pseudocysts filled with microbiliary stones that were difficult to differentiate from neoplastic lesions.

Case presentation: A 64-year-old man presented with groove pancreatitis attributable to heavy alcohol consumption and a hypovascular mass in the groove area with duodenal bleeding. The lesion, which was initially considered a pancreatic groove tumor with groove pancreatitis, was treated with subtotal stomach-preserving pancreaticoduodenectomy. However, a post-surgical pathological analysis revealed that it was a pancreatic pseudocyst in the groove area containing bilirubin calcium stones and pancreatic stones.

Conclusions: Cases comprising fistula formation in the common bile duct are rare. A pancreatic pseudocyst that formed a fistula with the common bile duct was suspected in the present case. This case was unique because the pseudocyst was filled with microbiliary stones. This report highlights the difficulty in differentiating a pseudocyst filled with bilirubin calcium stones from a neoplastic lesion and underscores the importance of the accurate diagnosis and management of this rare pathology.

Abstract Image

Abstract Image

Abstract Image

胰腺假性囊肿充满胆结石模拟胰沟肿瘤1例报告。
导言:由胰腺假性囊肿引起的胆总管瘘的报道越来越多。然而,据我们所知,没有先前的报道描述了难以与肿瘤病变区分的充满微胆道结石的假性囊肿。病例介绍:一名64岁男性,因大量饮酒和沟区低血管性肿块合并十二指肠出血而出现沟性胰腺炎。该病变最初被认为是胰沟肿瘤合并胰沟性胰腺炎,采用保胃胰十二指肠次全切除术治疗。然而,术后病理分析显示,这是一个胰腺假性囊肿在沟区含有胆红素钙结石和胰腺结石。结论:胆总管内形成瘘管的病例是罕见的。本病例怀疑胰腺假性囊肿与胆总管形成瘘管。这个病例是独特的,因为假性囊肿充满了微胆道结石。本报告强调了鉴别胆红素钙结石假性囊肿与肿瘤病变的困难,并强调了准确诊断和治疗这种罕见病理的重要性。
本文章由计算机程序翻译,如有差异,请以英文原文为准。
求助全文
约1分钟内获得全文 求助全文
来源期刊
自引率
0.00%
发文量
218
审稿时长
13 weeks
×
引用
GB/T 7714-2015
复制
MLA
复制
APA
复制
导出至
BibTeX EndNote RefMan NoteFirst NoteExpress
×
提示
您的信息不完整,为了账户安全,请先补充。
现在去补充
×
提示
您因"违规操作"
具体请查看互助需知
我知道了
×
提示
确定
请完成安全验证×
copy
已复制链接
快去分享给好友吧!
我知道了
右上角分享
点击右上角分享
0
联系我们:info@booksci.cn Book学术提供免费学术资源搜索服务,方便国内外学者检索中英文文献。致力于提供最便捷和优质的服务体验。 Copyright © 2023 布克学术 All rights reserved.
京ICP备2023020795号-1
ghs 京公网安备 11010802042870号
Book学术文献互助
Book学术文献互助群
群 号:604180095
Book学术官方微信