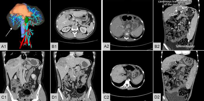
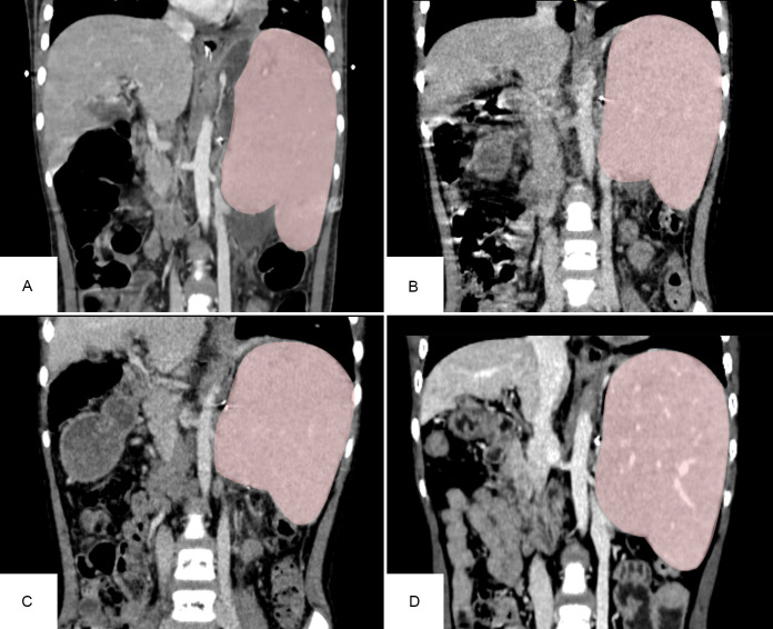
Heterotopic Auxiliary Liver Transplantation in a Child with Portal Hypertension Using a Discarded Partial Right Liver Allograft from an Adult Patient with Alveolar Echinococcosis.

IF 4.2 3区 医学 Q2 GASTROENTEROLOGY & HEPATOLOGY
Chong Yang, Xinyu You, Donghui Cheng, Wenbin Cao, Tao Lu, Wenjun Jiang, Jipeng Jiang, Bangyou Zuo, Yu Zhang
{"title":"Heterotopic Auxiliary Liver Transplantation in a Child with Portal Hypertension Using a Discarded Partial Right Liver Allograft from an Adult Patient with Alveolar Echinococcosis.","authors":"Chong Yang, Xinyu You, Donghui Cheng, Wenbin Cao, Tao Lu, Wenjun Jiang, Jipeng Jiang, Bangyou Zuo, Yu Zhang","doi":"10.14218/JCTH.2025.00107","DOIUrl":null,"url":null,"abstract":"","PeriodicalId":15484,"journal":{"name":"Journal of Clinical and Translational Hepatology","volume":"13 9","pages":"785-789"},"PeriodicalIF":4.2000,"publicationDate":"2025-09-28","publicationTypes":"Journal Article","fieldsOfStudy":null,"isOpenAccess":false,"openAccessPdf":"https://www.ncbi.nlm.nih.gov/pmc/articles/PMC12422873/pdf/","citationCount":"0","resultStr":null,"platform":"Semanticscholar","paperid":null,"PeriodicalName":"Journal of Clinical and Translational Hepatology","FirstCategoryId":"3","ListUrlMain":"https://doi.org/10.14218/JCTH.2025.00107","RegionNum":3,"RegionCategory":"医学","ArticlePicture":[],"TitleCN":null,"AbstractTextCN":null,"PMCID":null,"EPubDate":"2025/7/22 0:00:00","PubModel":"Epub","JCR":"Q2","JCRName":"GASTROENTEROLOGY & HEPATOLOGY","Score":null,"Total":0}
引用次数: 0

Abstract Image

Abstract Image

Abstract Image

异位辅助性肝移植治疗门脉高压症患儿使用成人肺泡包虫病患者丢弃的部分右同种异体肝。
本文章由计算机程序翻译,如有差异,请以英文原文为准。
求助全文
约1分钟内获得全文 求助全文
来源期刊
Journal of Clinical and Translational Hepatology
Journal of Clinical and Translational Hepatology GASTROENTEROLOGY & HEPATOLOGY-
CiteScore
6.40
自引率
2.80%
发文量
496
×
引用
GB/T 7714-2015
复制
MLA
复制
APA
复制
导出至
BibTeX EndNote RefMan NoteFirst NoteExpress
×
提示
您的信息不完整,为了账户安全,请先补充。
现在去补充
×
提示
您因"违规操作"
具体请查看互助需知
我知道了
×
提示
确定
请完成安全验证×
copy
已复制链接
快去分享给好友吧!
我知道了
右上角分享
点击右上角分享
0
联系我们:info@booksci.cn Book学术提供免费学术资源搜索服务,方便国内外学者检索中英文文献。致力于提供最便捷和优质的服务体验。 Copyright © 2023 布克学术 All rights reserved.
京ICP备2023020795号-1
ghs 京公网安备 11010802042870号
Book学术文献互助
Book学术文献互助群
群 号:604180095
Book学术官方微信