A Hidden Cause of Primary Tricuspid Regurgitation.

IF 1 Q4 CARDIAC & CARDIOVASCULAR SYSTEMS
Journal of Cardiovascular Echography Pub Date : 2025-04-01 Epub Date: 2025-07-30 DOI:10.4103/jcecho.jcecho_74_24
Marco Fabio Costantino, Gianpaolo D'Addeo, Maria Antonietta Coletta, Luisiana Stolfi
{"title":"A Hidden Cause of Primary Tricuspid Regurgitation.","authors":"Marco Fabio Costantino, Gianpaolo D'Addeo, Maria Antonietta Coletta, Luisiana Stolfi","doi":"10.4103/jcecho.jcecho_74_24","DOIUrl":null,"url":null,"abstract":"<p><p>Tricuspid regurgitation (TR) is characterized by the backward flow of blood from the right ventricle to the right atrium during systole. It can be primary, involving intrinsic valve abnormalities, or secondary, due to deformation of the valve apparatus. This case is notable for severe TR following previously unreported chest trauma, emphasizing the importance of detailed medical history in diagnosing valvular conditions. A 62-year-old patient with right atrial and ventricular dilation was diagnosed with severe TR during a routine checkup. Echocardiography showed a prolapsed posterior tricuspid leaflet and annular dilation. Later, a prior chest trauma from a car accident was identified as the likely cause. This case highlights the need for a detailed history and echocardiography to assess TR severity, especially after chest trauma, to prevent right dysfunction and worsening outcomes.</p>","PeriodicalId":15191,"journal":{"name":"Journal of Cardiovascular Echography","volume":"35 2","pages":"162-164"},"PeriodicalIF":1.0000,"publicationDate":"2025-04-01","publicationTypes":"Journal Article","fieldsOfStudy":null,"isOpenAccess":false,"openAccessPdf":"https://www.ncbi.nlm.nih.gov/pmc/articles/PMC12425266/pdf/","citationCount":"0","resultStr":null,"platform":"Semanticscholar","paperid":null,"PeriodicalName":"Journal of Cardiovascular Echography","FirstCategoryId":"1085","ListUrlMain":"https://doi.org/10.4103/jcecho.jcecho_74_24","RegionNum":0,"RegionCategory":null,"ArticlePicture":[],"TitleCN":null,"AbstractTextCN":null,"PMCID":null,"EPubDate":"2025/7/30 0:00:00","PubModel":"Epub","JCR":"Q4","JCRName":"CARDIAC & CARDIOVASCULAR SYSTEMS","Score":null,"Total":0}
引用次数: 0

Abstract

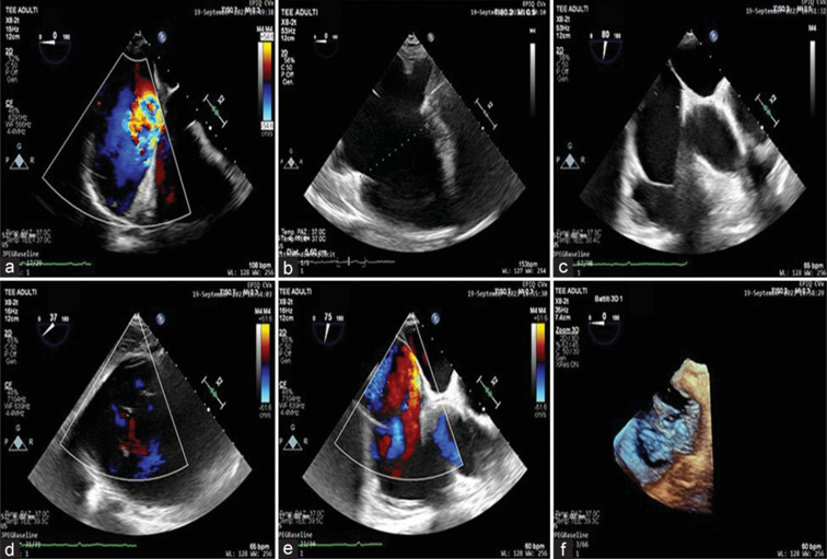
Tricuspid regurgitation (TR) is characterized by the backward flow of blood from the right ventricle to the right atrium during systole. It can be primary, involving intrinsic valve abnormalities, or secondary, due to deformation of the valve apparatus. This case is notable for severe TR following previously unreported chest trauma, emphasizing the importance of detailed medical history in diagnosing valvular conditions. A 62-year-old patient with right atrial and ventricular dilation was diagnosed with severe TR during a routine checkup. Echocardiography showed a prolapsed posterior tricuspid leaflet and annular dilation. Later, a prior chest trauma from a car accident was identified as the likely cause. This case highlights the need for a detailed history and echocardiography to assess TR severity, especially after chest trauma, to prevent right dysfunction and worsening outcomes.

Abstract Image

原发性三尖瓣反流的一个隐藏原因。
三尖瓣反流(TR)的特点是在心脏收缩期血液从右心室回流到右心房。它可以是原发性的,涉及内在的瓣膜异常,也可以是继发性的,由于瓣膜设备的变形。该病例在既往未报道的胸部创伤后出现严重的TR,强调详细病史对诊断瓣膜疾病的重要性。一位62岁的右心房和心室扩张患者在常规检查中被诊断为严重的TR。超声心动图显示后三尖瓣小叶脱垂和环扩张。后来,先前的一次车祸造成的胸部创伤被确定为可能的原因。本病例强调需要详细的病史和超声心动图来评估TR严重程度,特别是在胸部创伤后,以防止右侧功能障碍和恶化的结局。
本文章由计算机程序翻译,如有差异,请以英文原文为准。
求助全文
约1分钟内获得全文 求助全文
来源期刊
Journal of Cardiovascular Echography
Journal of Cardiovascular Echography CARDIAC & CARDIOVASCULAR SYSTEMS-
CiteScore
1.40
自引率
12.50%
发文量
27
×
引用
GB/T 7714-2015
复制
MLA
复制
APA
复制
导出至
BibTeX EndNote RefMan NoteFirst NoteExpress
×
提示
您的信息不完整,为了账户安全,请先补充。
现在去补充
×
提示
您因"违规操作"
具体请查看互助需知
我知道了
×
提示
确定
请完成安全验证×
copy
已复制链接
快去分享给好友吧!
我知道了
右上角分享
点击右上角分享
0
联系我们:info@booksci.cn Book学术提供免费学术资源搜索服务,方便国内外学者检索中英文文献。致力于提供最便捷和优质的服务体验。 Copyright © 2023 布克学术 All rights reserved.
京ICP备2023020795号-1
ghs 京公网安备 11010802042870号
Book学术文献互助
Book学术文献互助群
群 号:604180095
Book学术官方微信