Case reports presenting recreation of gingival profile through laser-assisted recontouring and provisional restorations in implant-supported prostheses.

Q2 Dentistry
Mrudhula Cheyacheri Kandathil, Smita Sara Manoj, Kurien Varghese, Beena Vijayan Parvathy
{"title":"Case reports presenting recreation of gingival profile through laser-assisted recontouring and provisional restorations in implant-supported prostheses.","authors":"Mrudhula Cheyacheri Kandathil, Smita Sara Manoj, Kurien Varghese, Beena Vijayan Parvathy","doi":"10.4103/jisp.jisp_461_23","DOIUrl":null,"url":null,"abstract":"<p><p>Exquisite esthetics for implant-supported restorations in the anterior esthetic zone is a challenging task. Recreating the gingival profile with proper integration of hard and soft tissues is a prime requisite to overcome the clinical challenge. Abutment selection, impression technique, and emergence profile of the final restoration play an important role in providing a distinct appearance to the final prosthesis. Through two case reports, this paper describes the step-by-step procedures involved in customizing the emergence profile and gingival profile using laser-assisted surgery and provisional restorations.</p>","PeriodicalId":15890,"journal":{"name":"Journal of Indian Society of Periodontology","volume":"29 2","pages":"207-211"},"PeriodicalIF":0.0000,"publicationDate":"2025-03-01","publicationTypes":"Journal Article","fieldsOfStudy":null,"isOpenAccess":false,"openAccessPdf":"https://www.ncbi.nlm.nih.gov/pmc/articles/PMC12425281/pdf/","citationCount":"0","resultStr":null,"platform":"Semanticscholar","paperid":null,"PeriodicalName":"Journal of Indian Society of Periodontology","FirstCategoryId":"1085","ListUrlMain":"https://doi.org/10.4103/jisp.jisp_461_23","RegionNum":0,"RegionCategory":null,"ArticlePicture":[],"TitleCN":null,"AbstractTextCN":null,"PMCID":null,"EPubDate":"2025/8/19 0:00:00","PubModel":"Epub","JCR":"Q2","JCRName":"Dentistry","Score":null,"Total":0}
引用次数: 0

Abstract

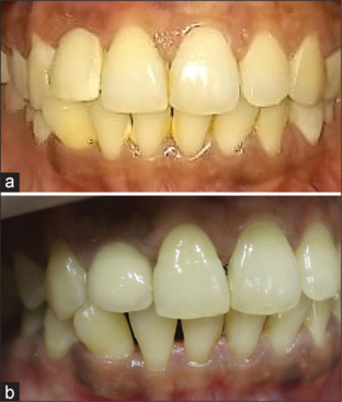
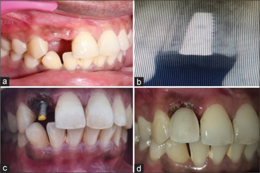
Exquisite esthetics for implant-supported restorations in the anterior esthetic zone is a challenging task. Recreating the gingival profile with proper integration of hard and soft tissues is a prime requisite to overcome the clinical challenge. Abutment selection, impression technique, and emergence profile of the final restoration play an important role in providing a distinct appearance to the final prosthesis. Through two case reports, this paper describes the step-by-step procedures involved in customizing the emergence profile and gingival profile using laser-assisted surgery and provisional restorations.

Abstract Image

Abstract Image

Abstract Image

病例报告介绍通过激光辅助牙龈轮廓重建和种植体支持修复的临时修复。
种植体支持修复体的前美学是一项具有挑战性的任务。重建软硬结合的牙龈轮廓是克服临床挑战的首要条件。基台选择,印模技术和最终修复的涌现轮廓在提供最终假体的独特外观方面起着重要作用。通过两例病例报告,本文介绍了使用激光辅助手术和临时修复来定制出现轮廓和牙龈轮廓的逐步过程。
本文章由计算机程序翻译,如有差异,请以英文原文为准。
求助全文
约1分钟内获得全文 求助全文
来源期刊
CiteScore
1.70
自引率
0.00%
发文量
87
审稿时长
44 weeks
期刊介绍: The Journal of Indian Society of Periodontology publishes original scientific articles to support practice , education and research in the dental specialty of periodontology and oral implantology. Journal of Indian Society of Periodontology (JISP), is the official publication of the Society and is managed and brought out by the Editor of the society. The journal is published Bimonthly with special issues being brought out for specific occasions. The ISP had a bulletin as its publication for a large number of years and was enhanced as a Journal a few years ago
×
引用
GB/T 7714-2015
复制
MLA
复制
APA
复制
导出至
BibTeX EndNote RefMan NoteFirst NoteExpress
×
提示
您的信息不完整,为了账户安全,请先补充。
现在去补充
×
提示
您因"违规操作"
具体请查看互助需知
我知道了
×
提示
确定
请完成安全验证×
copy
已复制链接
快去分享给好友吧!
我知道了
右上角分享
点击右上角分享
0
联系我们:info@booksci.cn Book学术提供免费学术资源搜索服务,方便国内外学者检索中英文文献。致力于提供最便捷和优质的服务体验。 Copyright © 2023 布克学术 All rights reserved.
京ICP备2023020795号-1
ghs 京公网安备 11010802042870号
Book学术文献互助
Book学术文献互助群
群 号:604180095
Book学术官方微信