Bulky palpebral Merkel cell carcinoma of the eyelid.

IF 1.3 Q4 ONCOLOGY
ecancermedicalscience Pub Date : 2025-07-17 eCollection Date: 2025-01-01 DOI:10.3332/ecancer.2025.1946
Dario Alvaro Rueda, Cecilia Schweitzer, Lorena Di Nisio, María Laura Piccoletti, Nicolas Torressi, Víctor Acevedo, Silvia Ferrandini
{"title":"Bulky palpebral Merkel cell carcinoma of the eyelid.","authors":"Dario Alvaro Rueda, Cecilia Schweitzer, Lorena Di Nisio, María Laura Piccoletti, Nicolas Torressi, Víctor Acevedo, Silvia Ferrandini","doi":"10.3332/ecancer.2025.1946","DOIUrl":null,"url":null,"abstract":"<p><p>Merkel cell carcinoma (MCC) is a rare and aggressive tumour of the skin, characterised by a high rate of local recurrence and lymph node involvement. We present the case of a 58-year-old woman who developed a 5-cm tumour on the right lower eyelid, leading to ocular occlusion. Magnetic resonance imaging revealed an exophytic lesion in the right orbit, and a biopsy confirmed the diagnosis of MCC. After complete surgical resection and cervical emptying, the patient was treated with adjuvant radiotherapy. The final diagnosis was MCC, stage pT3 pN1 M0. The periocular location and tumour size were determinants in the treatment decision.</p>","PeriodicalId":11460,"journal":{"name":"ecancermedicalscience","volume":"19 ","pages":"1946"},"PeriodicalIF":1.3000,"publicationDate":"2025-07-17","publicationTypes":"Journal Article","fieldsOfStudy":null,"isOpenAccess":false,"openAccessPdf":"https://www.ncbi.nlm.nih.gov/pmc/articles/PMC12426489/pdf/","citationCount":"0","resultStr":null,"platform":"Semanticscholar","paperid":null,"PeriodicalName":"ecancermedicalscience","FirstCategoryId":"1085","ListUrlMain":"https://doi.org/10.3332/ecancer.2025.1946","RegionNum":0,"RegionCategory":null,"ArticlePicture":[],"TitleCN":null,"AbstractTextCN":null,"PMCID":null,"EPubDate":"2025/1/1 0:00:00","PubModel":"eCollection","JCR":"Q4","JCRName":"ONCOLOGY","Score":null,"Total":0}
引用次数: 0

Abstract

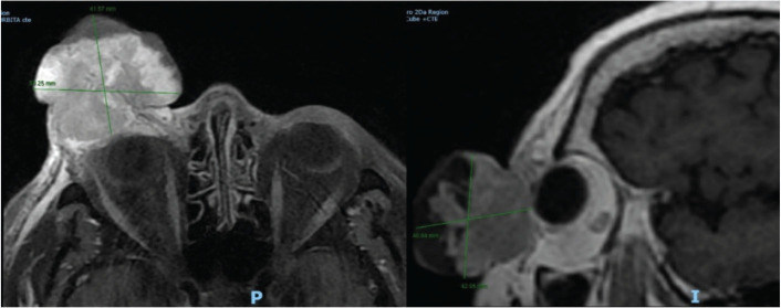
Merkel cell carcinoma (MCC) is a rare and aggressive tumour of the skin, characterised by a high rate of local recurrence and lymph node involvement. We present the case of a 58-year-old woman who developed a 5-cm tumour on the right lower eyelid, leading to ocular occlusion. Magnetic resonance imaging revealed an exophytic lesion in the right orbit, and a biopsy confirmed the diagnosis of MCC. After complete surgical resection and cervical emptying, the patient was treated with adjuvant radiotherapy. The final diagnosis was MCC, stage pT3 pN1 M0. The periocular location and tumour size were determinants in the treatment decision.

Abstract Image

Abstract Image

Abstract Image

眼睑梅克尔细胞癌。
默克尔细胞癌(MCC)是一种罕见的侵袭性皮肤肿瘤,其特点是局部复发率高,淋巴结受累。我们提出的情况下,58岁的妇女谁发展了一个5厘米的肿瘤右下眼睑,导致眼闭塞。磁共振成像显示右眼眶外生性病变,活检证实了MCC的诊断。在手术切除和宫颈排空后,患者接受辅助放疗。最终诊断为MCC, pT3期pN1 M0。眼周位置和肿瘤大小是决定治疗的决定因素。
本文章由计算机程序翻译,如有差异,请以英文原文为准。
求助全文
约1分钟内获得全文 求助全文
来源期刊
CiteScore
3.80
自引率
5.60%
发文量
138
审稿时长
27 weeks
×
引用
GB/T 7714-2015
复制
MLA
复制
APA
复制
导出至
BibTeX EndNote RefMan NoteFirst NoteExpress
×
提示
您的信息不完整,为了账户安全,请先补充。
现在去补充
×
提示
您因"违规操作"
具体请查看互助需知
我知道了
×
提示
确定
请完成安全验证×
copy
已复制链接
快去分享给好友吧!
我知道了
右上角分享
点击右上角分享
0
联系我们:info@booksci.cn Book学术提供免费学术资源搜索服务,方便国内外学者检索中英文文献。致力于提供最便捷和优质的服务体验。 Copyright © 2023 布克学术 All rights reserved.
京ICP备2023020795号-1
ghs 京公网安备 11010802042870号
Book学术文献互助
Book学术文献互助群
群 号:604180095
Book学术官方微信