Cardiac magnetic resonance imaging assessment of myocardial disease in children and adolescents.

IF 2.1 3区 医学 Q3 CARDIAC & CARDIOVASCULAR SYSTEMS
Cardiovascular diagnosis and therapy Pub Date : 2025-08-30 Epub Date: 2025-08-28 DOI:10.21037/cdt-24-502
Aswathy Vaikom House, Lars Grosse-Wortmann
{"title":"Cardiac magnetic resonance imaging assessment of myocardial disease in children and adolescents.","authors":"Aswathy Vaikom House, Lars Grosse-Wortmann","doi":"10.21037/cdt-24-502","DOIUrl":null,"url":null,"abstract":"<p><p>Cardiac magnetic resonance (CMR) imaging has become a crucial diagnostic and prognostic tool for assessing myocardial health, especially in pediatric patients with congenital heart disease. This review focuses on the role of CMR in myocardial tissue characterization, particularly its ability to detect and quantify fibrosis using techniques such as late gadolinium enhancement (LGE), T1 and T2 mapping, and extra-cellular volume (ECV) measurements. CMR offers superior anatomical and functional information, complementing traditional imaging modalities by enabling detailed visualization of native myocardial edema, interstitial fibrosis, and other tissue changes. These advanced imaging techniques are particularly useful in diagnosing conditions such as myocarditis, cardiac allograft rejection, Kawasaki disease (KD), and other cardiomyopathic processes. In pediatric myocarditis, CMR has demonstrated strong diagnostic utility, with T1 and ECV values helping to differentiate between healthy controls and patients with acute myocarditis, while also predicting disease severity and outcomes. In the context of cardiac transplant, T1 mapping, shows promise in detecting early signs of rejection, providing a less invasive alternative to endomyocardial biopsy. Additionally, CMR has been employed to monitor myocardial damage in KD, where it detects increased ECV in both coronary-affected and remote myocardial areas. The review also discusses CMR's application in tracking myocardial fibrosis in pediatric cardiomyopathies, highlighting its potential as a prognostic marker for heart failure progression. Despite its advantages, challenges remain in standardizing imaging protocols across disease states and establishing comprehensive guidelines for routine use. The future of CMR in pediatric cardiology lies in its ability to improve early diagnosis, guide personalized treatment, and enhance long-term monitoring of heart conditions, ultimately improving patient outcomes.</p>","PeriodicalId":9592,"journal":{"name":"Cardiovascular diagnosis and therapy","volume":"15 4","pages":"888-897"},"PeriodicalIF":2.1000,"publicationDate":"2025-08-30","publicationTypes":"Journal Article","fieldsOfStudy":null,"isOpenAccess":false,"openAccessPdf":"https://www.ncbi.nlm.nih.gov/pmc/articles/PMC12432662/pdf/","citationCount":"0","resultStr":null,"platform":"Semanticscholar","paperid":null,"PeriodicalName":"Cardiovascular diagnosis and therapy","FirstCategoryId":"3","ListUrlMain":"https://doi.org/10.21037/cdt-24-502","RegionNum":3,"RegionCategory":"医学","ArticlePicture":[],"TitleCN":null,"AbstractTextCN":null,"PMCID":null,"EPubDate":"2025/8/28 0:00:00","PubModel":"Epub","JCR":"Q3","JCRName":"CARDIAC & CARDIOVASCULAR SYSTEMS","Score":null,"Total":0}
引用次数: 0

Abstract

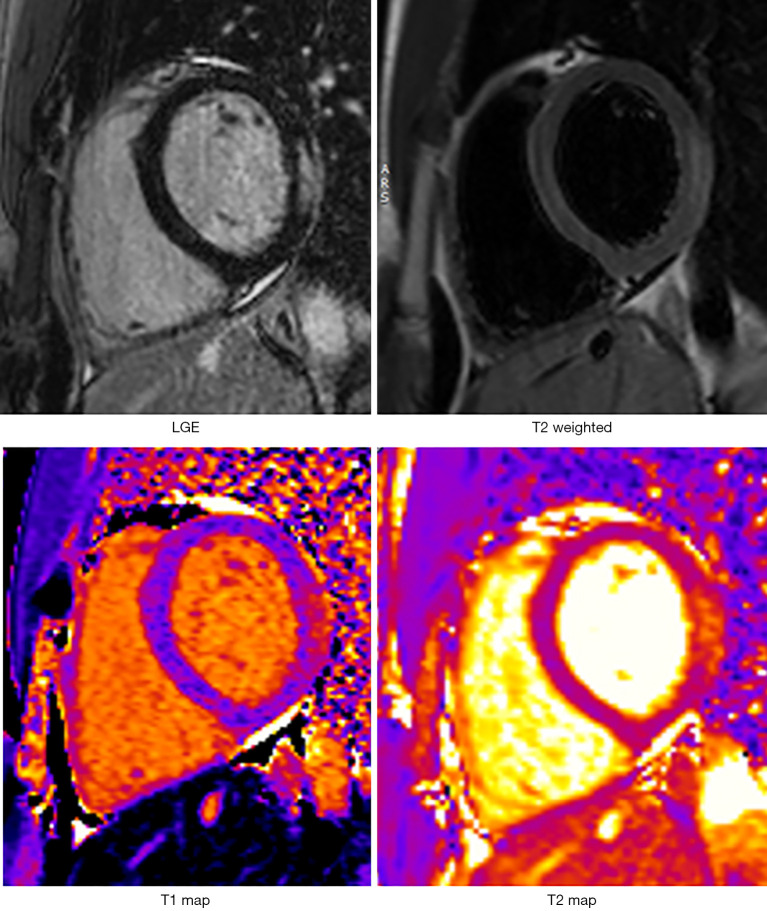
Cardiac magnetic resonance (CMR) imaging has become a crucial diagnostic and prognostic tool for assessing myocardial health, especially in pediatric patients with congenital heart disease. This review focuses on the role of CMR in myocardial tissue characterization, particularly its ability to detect and quantify fibrosis using techniques such as late gadolinium enhancement (LGE), T1 and T2 mapping, and extra-cellular volume (ECV) measurements. CMR offers superior anatomical and functional information, complementing traditional imaging modalities by enabling detailed visualization of native myocardial edema, interstitial fibrosis, and other tissue changes. These advanced imaging techniques are particularly useful in diagnosing conditions such as myocarditis, cardiac allograft rejection, Kawasaki disease (KD), and other cardiomyopathic processes. In pediatric myocarditis, CMR has demonstrated strong diagnostic utility, with T1 and ECV values helping to differentiate between healthy controls and patients with acute myocarditis, while also predicting disease severity and outcomes. In the context of cardiac transplant, T1 mapping, shows promise in detecting early signs of rejection, providing a less invasive alternative to endomyocardial biopsy. Additionally, CMR has been employed to monitor myocardial damage in KD, where it detects increased ECV in both coronary-affected and remote myocardial areas. The review also discusses CMR's application in tracking myocardial fibrosis in pediatric cardiomyopathies, highlighting its potential as a prognostic marker for heart failure progression. Despite its advantages, challenges remain in standardizing imaging protocols across disease states and establishing comprehensive guidelines for routine use. The future of CMR in pediatric cardiology lies in its ability to improve early diagnosis, guide personalized treatment, and enhance long-term monitoring of heart conditions, ultimately improving patient outcomes.

Abstract Image

儿童和青少年心肌疾病的心脏磁共振成像评估。
心脏磁共振(CMR)成像已成为评估心肌健康的重要诊断和预后工具,特别是在患有先天性心脏病的儿科患者中。这篇综述的重点是CMR在心肌组织表征中的作用,特别是它使用晚期钆增强(LGE)、T1和T2制图以及细胞外体积(ECV)测量等技术检测和量化纤维化的能力。CMR提供了优越的解剖和功能信息,通过对原生心肌水肿、间质纤维化和其他组织变化的详细可视化,补充了传统的成像方式。这些先进的成像技术在诊断心肌炎、心脏异体移植排斥反应、川崎病(KD)和其他心肌病等疾病方面特别有用。在小儿心肌炎中,CMR显示出强大的诊断功能,T1和ECV值有助于区分健康对照组和急性心肌炎患者,同时也预测疾病的严重程度和结局。在心脏移植的背景下,T1定位在检测排斥反应的早期迹象方面显示出希望,提供了一种侵入性较小的替代心内膜肌活检。此外,CMR已被用于监测KD患者的心肌损伤,它可以检测冠状动脉病变和远端心肌区域的ECV增加。本综述还讨论了CMR在跟踪小儿心肌病心肌纤维化中的应用,强调了其作为心衰进展的预后标志物的潜力。尽管它具有优势,但在跨疾病状态的标准化成像协议和建立常规使用的综合指南方面仍然存在挑战。CMR在儿科心脏病学中的未来在于它能够改善早期诊断,指导个性化治疗,并加强对心脏病的长期监测,最终改善患者的预后。
本文章由计算机程序翻译,如有差异,请以英文原文为准。
求助全文
约1分钟内获得全文 求助全文
来源期刊
Cardiovascular diagnosis and therapy
Cardiovascular diagnosis and therapy Medicine-Cardiology and Cardiovascular Medicine
CiteScore
4.90
自引率
4.20%
发文量
45
期刊介绍: The journal ''Cardiovascular Diagnosis and Therapy'' (Print ISSN: 2223-3652; Online ISSN: 2223-3660) accepts basic and clinical science submissions related to Cardiovascular Medicine and Surgery. The mission of the journal is the rapid exchange of scientific information between clinicians and scientists worldwide. To reach this goal, the journal will focus on novel media, using a web-based, digital format in addition to traditional print-version. This includes on-line submission, review, publication, and distribution. The digital format will also allow submission of extensive supporting visual material, both images and video. The website www.thecdt.org will serve as the central hub and also allow posting of comments and on-line discussion. The web-site of the journal will be linked to a number of international web-sites (e.g. www.dxy.cn), which will significantly expand the distribution of its contents.
×
引用
GB/T 7714-2015
复制
MLA
复制
APA
复制
导出至
BibTeX EndNote RefMan NoteFirst NoteExpress
×
提示
您的信息不完整,为了账户安全,请先补充。
现在去补充
×
提示
您因"违规操作"
具体请查看互助需知
我知道了
×
提示
确定
请完成安全验证×
copy
已复制链接
快去分享给好友吧!
我知道了
右上角分享
点击右上角分享
0
联系我们:info@booksci.cn Book学术提供免费学术资源搜索服务,方便国内外学者检索中英文文献。致力于提供最便捷和优质的服务体验。 Copyright © 2023 布克学术 All rights reserved.
京ICP备2023020795号-1
ghs 京公网安备 11010802042870号
Book学术文献互助
Book学术文献互助群
群 号:604180095
Book学术官方微信