Beyond the Usual Suspects: Neonatal Fever and Desaturation.

IF 2.3 3区 医学 Q1 PEDIATRICS
Karolína Doležalová, Jana Kodetová, Eva Klabusayová, Jana Svobodová, Karel Karmazín, Pavel Tkadlec, Emília Kopecká, Jan Helešic
{"title":"Beyond the Usual Suspects: Neonatal Fever and Desaturation.","authors":"Karolína Doležalová, Jana Kodetová, Eva Klabusayová, Jana Svobodová, Karel Karmazín, Pavel Tkadlec, Emília Kopecká, Jan Helešic","doi":"10.1002/ppul.71291","DOIUrl":null,"url":null,"abstract":"<p><strong>Background: </strong>We report a 1-month-old infant admitted with fever, dyspnea, and desaturation after an unmonitored pregnancy in a migrant family. The patient rapidly required mechanical ventilation. Laboratory parameters were markedly elevated, suggesting an infectious etiology.</p><p><strong>Methods: </strong>The clinical course is described with emphasis on diagnostic challenges, including imaging, laboratory findings, and the stepwise process of differential diagnosis.</p><p><strong>Results: </strong>After common etiologies were excluded, rarer causes were considered. The final diagnosis was established through integration of clinical assessment, radiological imaging, laboratory data, and microbiological testing.</p><p><strong>Conclusion: </strong>In neonates with fever and respiratory distress, RSV bronchiolitis is usually the first consideration. If excluded, clinicians must remain alert to less frequent etiologies. This case underscores the importance of a broad differential diagnosis in infants with acute respiratory compromise.</p>","PeriodicalId":19932,"journal":{"name":"Pediatric Pulmonology","volume":"60 9","pages":"e71291"},"PeriodicalIF":2.3000,"publicationDate":"2025-09-01","publicationTypes":"Journal Article","fieldsOfStudy":null,"isOpenAccess":false,"openAccessPdf":"https://www.ncbi.nlm.nih.gov/pmc/articles/PMC12431716/pdf/","citationCount":"0","resultStr":null,"platform":"Semanticscholar","paperid":null,"PeriodicalName":"Pediatric Pulmonology","FirstCategoryId":"3","ListUrlMain":"https://doi.org/10.1002/ppul.71291","RegionNum":3,"RegionCategory":"医学","ArticlePicture":[],"TitleCN":null,"AbstractTextCN":null,"PMCID":null,"EPubDate":"","PubModel":"","JCR":"Q1","JCRName":"PEDIATRICS","Score":null,"Total":0}
引用次数: 0

Abstract

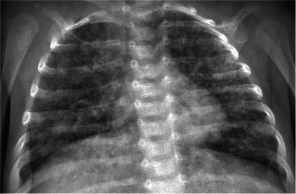
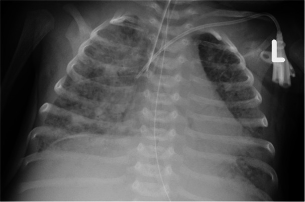
Background: We report a 1-month-old infant admitted with fever, dyspnea, and desaturation after an unmonitored pregnancy in a migrant family. The patient rapidly required mechanical ventilation. Laboratory parameters were markedly elevated, suggesting an infectious etiology.

Methods: The clinical course is described with emphasis on diagnostic challenges, including imaging, laboratory findings, and the stepwise process of differential diagnosis.

Results: After common etiologies were excluded, rarer causes were considered. The final diagnosis was established through integration of clinical assessment, radiological imaging, laboratory data, and microbiological testing.

Conclusion: In neonates with fever and respiratory distress, RSV bronchiolitis is usually the first consideration. If excluded, clinicians must remain alert to less frequent etiologies. This case underscores the importance of a broad differential diagnosis in infants with acute respiratory compromise.

Abstract Image

Abstract Image

超出通常的怀疑:新生儿发烧和去饱和。
背景:我们报告一个1个月大的婴儿入院发烧,呼吸困难,无监测怀孕后,在一个移民家庭。病人很快需要机械通气。实验室参数明显升高,提示感染性病因。方法:临床过程的描述,重点是诊断的挑战,包括影像学,实验室结果和鉴别诊断的逐步过程。结果:排除常见病因后,考虑罕见病因。最终诊断是通过综合临床评估、放射影像、实验室数据和微生物检测来确定的。结论:在出现发热和呼吸窘迫的新生儿中,RSV细支气管炎通常是首先考虑的因素。如果排除,临床医生必须对不常见的病因保持警惕。本病例强调了对急性呼吸系统损害婴儿进行广泛鉴别诊断的重要性。
本文章由计算机程序翻译,如有差异,请以英文原文为准。
求助全文
约1分钟内获得全文 求助全文
来源期刊
Pediatric Pulmonology
Pediatric Pulmonology 医学-呼吸系统
CiteScore
6.00
自引率
12.90%
发文量
468
审稿时长
3-8 weeks
期刊介绍: Pediatric Pulmonology (PPUL) is the foremost global journal studying the respiratory system in disease and in health as it develops from intrauterine life though adolescence to adulthood. Combining explicit and informative analysis of clinical as well as basic scientific research, PPUL provides a look at the many facets of respiratory system disorders in infants and children, ranging from pathological anatomy, developmental issues, and pathophysiology to infectious disease, asthma, cystic fibrosis, and airborne toxins. Focused attention is given to the reporting of diagnostic and therapeutic methods for neonates, preschool children, and adolescents, the enduring effects of childhood respiratory diseases, and newly described infectious diseases. PPUL concentrates on subject matters of crucial interest to specialists preparing for the Pediatric Subspecialty Examinations in the United States and other countries. With its attentive coverage and extensive clinical data, this journal is a principle source for pediatricians in practice and in training and a must have for all pediatric pulmonologists.
×
引用
GB/T 7714-2015
复制
MLA
复制
APA
复制
导出至
BibTeX EndNote RefMan NoteFirst NoteExpress
×
提示
您的信息不完整,为了账户安全,请先补充。
现在去补充
×
提示
您因"违规操作"
具体请查看互助需知
我知道了
×
提示
确定
请完成安全验证×
copy
已复制链接
快去分享给好友吧!
我知道了
右上角分享
点击右上角分享
0
联系我们:info@booksci.cn Book学术提供免费学术资源搜索服务,方便国内外学者检索中英文文献。致力于提供最便捷和优质的服务体验。 Copyright © 2023 布克学术 All rights reserved.
京ICP备2023020795号-1
ghs 京公网安备 11010802042870号
Book学术文献互助
Book学术文献互助群
群 号:604180095
Book学术官方微信