Use of Computed Tomography, Ultrasound, and Vaginoscopy in the Evaluation of a Bilobed Vaginal Müllerian Cyst in a Neutered Female Labrador Retriever.

Q3 Veterinary
Case Reports in Veterinary Medicine Pub Date : 2025-09-02 eCollection Date: 2025-01-01 DOI:10.1155/crve/5706632
Ying-Ying Lo, Emmanuel Topie, Stéphanie Moreau, Dimitri Leperlier, Anne-Sophie Bedu
{"title":"Use of Computed Tomography, Ultrasound, and Vaginoscopy in the Evaluation of a Bilobed Vaginal Müllerian Cyst in a Neutered Female Labrador Retriever.","authors":"Ying-Ying Lo, Emmanuel Topie, Stéphanie Moreau, Dimitri Leperlier, Anne-Sophie Bedu","doi":"10.1155/crve/5706632","DOIUrl":null,"url":null,"abstract":"<p><p>An 11-year-old neutered female Labrador was presented with dyschezia and dysuria associated with a large perineal mass that had been present for 2 years. Computed tomography (CT) revealed a large bilobed, cavitated mass localized ventrally to the rectum and dorsally to the urethra at the level of the vagina, with hypoattenuating contents and a contrast-enhancing peripheral wall. Surgical excision was performed and confirmed the cystic nature of the mass. Histopathological findings were compatible with a benign vaginal cyst, most likely originating from the Müllerian or paramesonephric ducts. The CT provided relevant information for surgical planning and enabled accurate assessment of the mass's location, extent, and relationship with adjacent structures.</p>","PeriodicalId":37339,"journal":{"name":"Case Reports in Veterinary Medicine","volume":"2025 ","pages":"5706632"},"PeriodicalIF":0.0000,"publicationDate":"2025-09-02","publicationTypes":"Journal Article","fieldsOfStudy":null,"isOpenAccess":false,"openAccessPdf":"https://www.ncbi.nlm.nih.gov/pmc/articles/PMC12419931/pdf/","citationCount":"0","resultStr":null,"platform":"Semanticscholar","paperid":null,"PeriodicalName":"Case Reports in Veterinary Medicine","FirstCategoryId":"1085","ListUrlMain":"https://doi.org/10.1155/crve/5706632","RegionNum":0,"RegionCategory":null,"ArticlePicture":[],"TitleCN":null,"AbstractTextCN":null,"PMCID":null,"EPubDate":"2025/1/1 0:00:00","PubModel":"eCollection","JCR":"Q3","JCRName":"Veterinary","Score":null,"Total":0}
引用次数: 0

Abstract

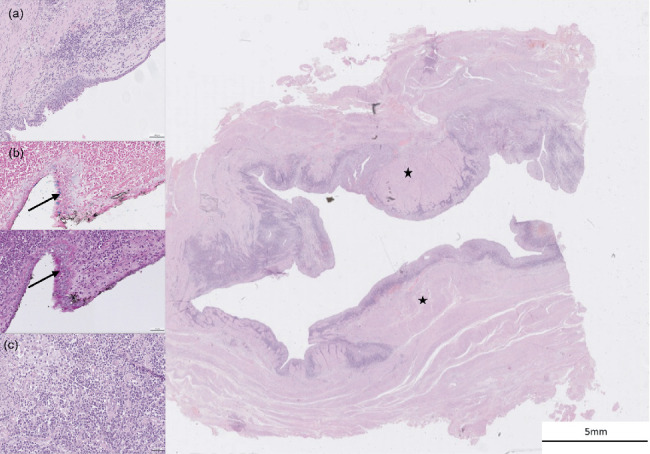
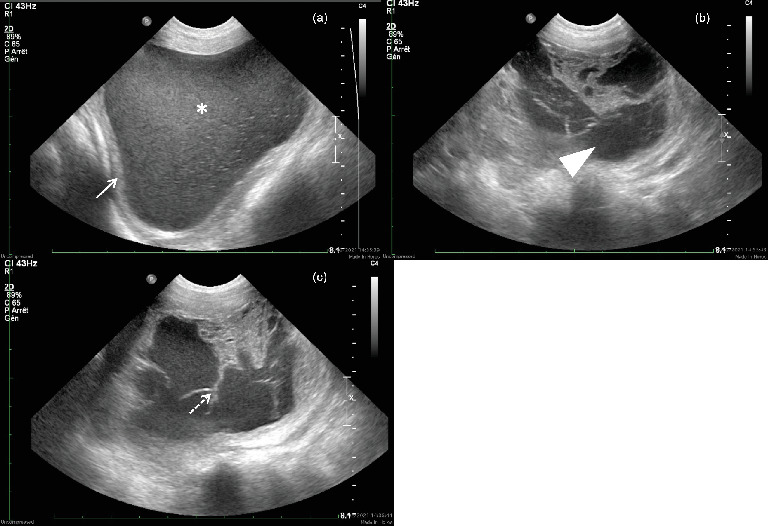
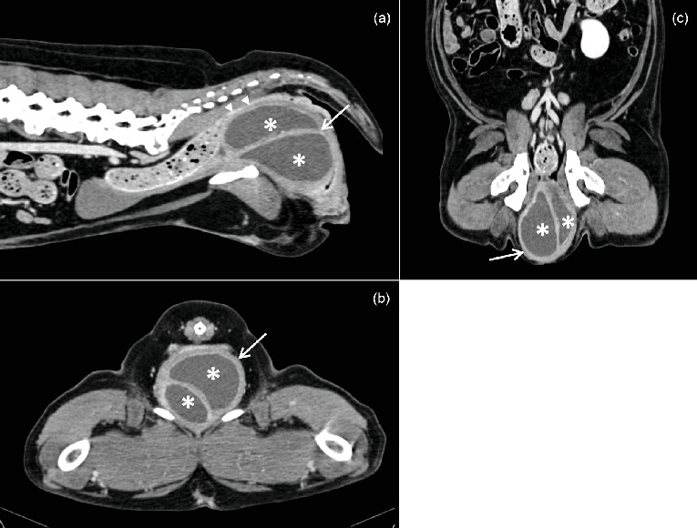
An 11-year-old neutered female Labrador was presented with dyschezia and dysuria associated with a large perineal mass that had been present for 2 years. Computed tomography (CT) revealed a large bilobed, cavitated mass localized ventrally to the rectum and dorsally to the urethra at the level of the vagina, with hypoattenuating contents and a contrast-enhancing peripheral wall. Surgical excision was performed and confirmed the cystic nature of the mass. Histopathological findings were compatible with a benign vaginal cyst, most likely originating from the Müllerian or paramesonephric ducts. The CT provided relevant information for surgical planning and enabled accurate assessment of the mass's location, extent, and relationship with adjacent structures.

Abstract Image

Abstract Image

Abstract Image

计算机断层扫描、超声和阴道镜检查在绝育雌性拉布拉多犬双叶状阴道勒氏囊肿中的应用。
摘要一位11岁的绝育拉布拉多犬,因出现2年的会阴大肿块而导致排尿困难。计算机断层扫描(CT)显示一个大的双叶状空洞肿块,位于直肠腹侧和阴道水平的尿道背侧,内容物低衰减,周围壁增强。手术切除后证实肿块为囊性。组织病理学检查结果符合良性阴道囊肿,最可能起源于勒氏管或肾旁管。CT为手术计划提供了相关信息,并能够准确评估肿块的位置、范围以及与邻近结构的关系。
本文章由计算机程序翻译,如有差异,请以英文原文为准。
求助全文
约1分钟内获得全文 求助全文
来源期刊
Case Reports in Veterinary Medicine
Case Reports in Veterinary Medicine Veterinary-Veterinary (all)
CiteScore
0.70
自引率
0.00%
发文量
14
审稿时长
13 weeks
期刊介绍: Case Reports in Veterinary Medicine is a peer-reviewed, Open Access journal that publishes case reports and case series in all areas of veterinary medicine.
×
引用
GB/T 7714-2015
复制
MLA
复制
APA
复制
导出至
BibTeX EndNote RefMan NoteFirst NoteExpress
×
提示
您的信息不完整,为了账户安全,请先补充。
现在去补充
×
提示
您因"违规操作"
具体请查看互助需知
我知道了
×
提示
确定
请完成安全验证×
copy
已复制链接
快去分享给好友吧!
我知道了
右上角分享
点击右上角分享
0
联系我们:info@booksci.cn Book学术提供免费学术资源搜索服务,方便国内外学者检索中英文文献。致力于提供最便捷和优质的服务体验。 Copyright © 2023 布克学术 All rights reserved.
京ICP备2023020795号-1
ghs 京公网安备 11010802042870号
Book学术文献互助
Book学术文献互助群
群 号:604180095
Book学术官方微信