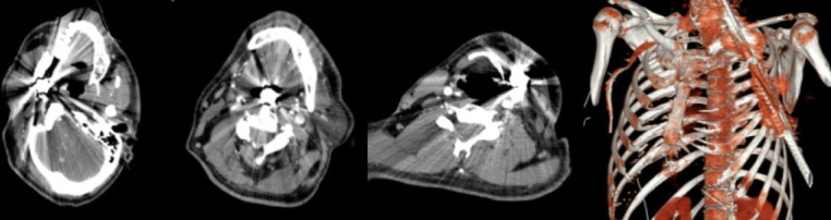
Complex management of a patient with impalement injury to the neck.

IF 2.2 Q3 CRITICAL CARE MEDICINE
Trauma Surgery & Acute Care Open Pub Date : 2025-09-09 eCollection Date: 2025-01-01 DOI:10.1136/tsaco-2025-001879
Kevin T Petersen, Brent Blackwell, Harris Kashtan, Deborah A Kuhls, Allison G McNickle
{"title":"Complex management of a patient with impalement injury to the neck.","authors":"Kevin T Petersen, Brent Blackwell, Harris Kashtan, Deborah A Kuhls, Allison G McNickle","doi":"10.1136/tsaco-2025-001879","DOIUrl":null,"url":null,"abstract":"","PeriodicalId":23307,"journal":{"name":"Trauma Surgery & Acute Care Open","volume":"10 3","pages":"e001879"},"PeriodicalIF":2.2000,"publicationDate":"2025-09-09","publicationTypes":"Journal Article","fieldsOfStudy":null,"isOpenAccess":false,"openAccessPdf":"https://www.ncbi.nlm.nih.gov/pmc/articles/PMC12421602/pdf/","citationCount":"0","resultStr":null,"platform":"Semanticscholar","paperid":null,"PeriodicalName":"Trauma Surgery & Acute Care Open","FirstCategoryId":"1085","ListUrlMain":"https://doi.org/10.1136/tsaco-2025-001879","RegionNum":0,"RegionCategory":null,"ArticlePicture":[],"TitleCN":null,"AbstractTextCN":null,"PMCID":null,"EPubDate":"2025/1/1 0:00:00","PubModel":"eCollection","JCR":"Q3","JCRName":"CRITICAL CARE MEDICINE","Score":null,"Total":0}
引用次数: 0

Abstract Image

Abstract Image

Abstract Image

1例颈部刺穿伤患者的复杂处理。
本文章由计算机程序翻译,如有差异,请以英文原文为准。
求助全文
约1分钟内获得全文 求助全文
来源期刊
CiteScore
3.70
自引率
5.00%
发文量
71
审稿时长
12 weeks
×
引用
GB/T 7714-2015
复制
MLA
复制
APA
复制
导出至
BibTeX EndNote RefMan NoteFirst NoteExpress
×
提示
您的信息不完整,为了账户安全,请先补充。
现在去补充
×
提示
您因"违规操作"
具体请查看互助需知
我知道了
×
提示
确定
请完成安全验证×
copy
已复制链接
快去分享给好友吧!
我知道了
右上角分享
点击右上角分享
0
联系我们:info@booksci.cn Book学术提供免费学术资源搜索服务,方便国内外学者检索中英文文献。致力于提供最便捷和优质的服务体验。 Copyright © 2023 布克学术 All rights reserved.
京ICP备2023020795号-1
ghs 京公网安备 11010802042870号
Book学术文献互助
Book学术文献互助群
群 号:604180095
Book学术官方微信