In vitro evidence of HER2-selective cytotoxicity by scFv(Herceptin)-PE-STXA immunotoxin in gastric cancer cells.

IF 2.2 Q3 BIOCHEMISTRY & MOLECULAR BIOLOGY
Biochemistry and Biophysics Reports Pub Date : 2025-08-25 eCollection Date: 2025-09-01 DOI:10.1016/j.bbrep.2025.102218
Hamid Sedighian, Arash Abdi, Zoleikha Goleij, Mahdi Fasihi-Ramandi, Abbas Ali Imani Fooladi
{"title":"In vitro evidence of HER2-selective cytotoxicity by scFv(Herceptin)-PE-STXA immunotoxin in gastric cancer cells.","authors":"Hamid Sedighian, Arash Abdi, Zoleikha Goleij, Mahdi Fasihi-Ramandi, Abbas Ali Imani Fooladi","doi":"10.1016/j.bbrep.2025.102218","DOIUrl":null,"url":null,"abstract":"<p><p>The delivery of therapeutic agents in a targeted manner shows great potential for improving the degree of efficacy in cancer therapies by minimizing harm for normal tissues and reducing treatment-related complications. Among patients with gastric cancer, the HER2 receptor is expressed in approximately 10-30 % of cases. The scFv(Herceptin)-PE-STXA was cloned into the pET28a vector, followed by protein expression and purification. HEK-293 cells served as the control (HER2-negative), while NCI-N87 cells were utilized as the gastric cancer cells (HER2-positive). The cells were subjected to exposure different concentrations (35 and 50 μg/mL) of immunotoxin, after which growth was assessed using the MTT test. The capability of scFv(Herceptin)-PE-STXA to induce apoptotic pathway in NCI-N87 and HEK-293 cells was estimated through flow cytometry. Furthermore, the affinity for binding the IT, lactate dehydrogenase release, and the measurement of apoptosis pathway enzymes (caspase-9 and caspase-3 activities) were also conducted. The outcomes demonstrated that cytotoxic effects occurred in NCI-N87 cells with a dose-proportional manner approach, whereas no such impact was seen in HEK-293(P < 0.001). Flow cytometry analysis of NCI-N87 cells treated with scFv(Herceptin)-PE-STXA revealed a significant increase in apoptotic rate at dose of 35 and 50 μg/mL (55.6 % and 74.2 %). Additional analysis showed that exposing HER2-expressing NCI-N87 cells to the scFv(Herceptin)-PE-STXA caused a notable to enhance in apoptotic caspases activity (3 and 9) (P < 0.001). Results of our study indicated that the scFv(Herceptin)-PE-STXA induces apoptosis in the NCI-N87 cell line derived from gastric cancer. This study emphasizes the potential of scFv(Herceptin)-PE-STXA to specifically target HER2-expressing cancer cells.</p>","PeriodicalId":8771,"journal":{"name":"Biochemistry and Biophysics Reports","volume":"43 ","pages":"102218"},"PeriodicalIF":2.2000,"publicationDate":"2025-08-25","publicationTypes":"Journal Article","fieldsOfStudy":null,"isOpenAccess":false,"openAccessPdf":"https://www.ncbi.nlm.nih.gov/pmc/articles/PMC12420517/pdf/","citationCount":"0","resultStr":null,"platform":"Semanticscholar","paperid":null,"PeriodicalName":"Biochemistry and Biophysics Reports","FirstCategoryId":"1085","ListUrlMain":"https://doi.org/10.1016/j.bbrep.2025.102218","RegionNum":0,"RegionCategory":null,"ArticlePicture":[],"TitleCN":null,"AbstractTextCN":null,"PMCID":null,"EPubDate":"2025/9/1 0:00:00","PubModel":"eCollection","JCR":"Q3","JCRName":"BIOCHEMISTRY & MOLECULAR BIOLOGY","Score":null,"Total":0}
引用次数: 0

Abstract

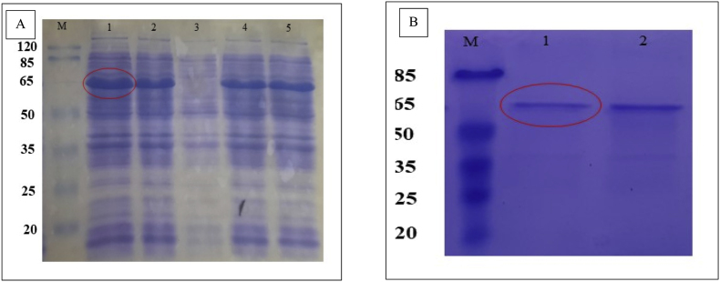
The delivery of therapeutic agents in a targeted manner shows great potential for improving the degree of efficacy in cancer therapies by minimizing harm for normal tissues and reducing treatment-related complications. Among patients with gastric cancer, the HER2 receptor is expressed in approximately 10-30 % of cases. The scFv(Herceptin)-PE-STXA was cloned into the pET28a vector, followed by protein expression and purification. HEK-293 cells served as the control (HER2-negative), while NCI-N87 cells were utilized as the gastric cancer cells (HER2-positive). The cells were subjected to exposure different concentrations (35 and 50 μg/mL) of immunotoxin, after which growth was assessed using the MTT test. The capability of scFv(Herceptin)-PE-STXA to induce apoptotic pathway in NCI-N87 and HEK-293 cells was estimated through flow cytometry. Furthermore, the affinity for binding the IT, lactate dehydrogenase release, and the measurement of apoptosis pathway enzymes (caspase-9 and caspase-3 activities) were also conducted. The outcomes demonstrated that cytotoxic effects occurred in NCI-N87 cells with a dose-proportional manner approach, whereas no such impact was seen in HEK-293(P < 0.001). Flow cytometry analysis of NCI-N87 cells treated with scFv(Herceptin)-PE-STXA revealed a significant increase in apoptotic rate at dose of 35 and 50 μg/mL (55.6 % and 74.2 %). Additional analysis showed that exposing HER2-expressing NCI-N87 cells to the scFv(Herceptin)-PE-STXA caused a notable to enhance in apoptotic caspases activity (3 and 9) (P < 0.001). Results of our study indicated that the scFv(Herceptin)-PE-STXA induces apoptosis in the NCI-N87 cell line derived from gastric cancer. This study emphasizes the potential of scFv(Herceptin)-PE-STXA to specifically target HER2-expressing cancer cells.

Abstract Image

Abstract Image

Abstract Image

scFv(Herceptin)-PE-STXA免疫毒素对胃癌细胞her2选择性细胞毒性的体外证据
靶向递送治疗剂,通过最小化对正常组织的伤害和减少治疗相关并发症,显示出提高癌症治疗疗效程度的巨大潜力。在胃癌患者中,HER2受体在大约10- 30%的病例中表达。将scFv(Herceptin)-PE-STXA克隆到pET28a载体中,进行蛋白表达和纯化。以HEK-293细胞为对照(her2阴性),以NCI-N87细胞为胃癌细胞(her2阳性)。细胞暴露于不同浓度(35和50 μg/mL)的免疫毒素后,采用MTT试验评估细胞生长情况。流式细胞术检测scFv(Herceptin)-PE-STXA诱导NCI-N87和HEK-293细胞凋亡通路的能力。此外,我们还进行了对IT的亲和力、乳酸脱氢酶的释放以及凋亡途径酶(caspase-9和caspase-3活性)的测定。结果表明,NCI-N87细胞以剂量比例方式发生细胞毒性作用,而HEK-293细胞未见这种影响(P
本文章由计算机程序翻译,如有差异,请以英文原文为准。
求助全文
约1分钟内获得全文 求助全文
来源期刊
Biochemistry and Biophysics Reports
Biochemistry and Biophysics Reports Biochemistry, Genetics and Molecular Biology-Biophysics
CiteScore
4.60
自引率
0.00%
发文量
191
审稿时长
59 days
期刊介绍: Open access, online only, peer-reviewed international journal in the Life Sciences, established in 2014 Biochemistry and Biophysics Reports (BB Reports) publishes original research in all aspects of Biochemistry, Biophysics and related areas like Molecular and Cell Biology. BB Reports welcomes solid though more preliminary, descriptive and small scale results if they have the potential to stimulate and/or contribute to future research, leading to new insights or hypothesis. Primary criteria for acceptance is that the work is original, scientifically and technically sound and provides valuable knowledge to life sciences research. We strongly believe all results deserve to be published and documented for the advancement of science. BB Reports specifically appreciates receiving reports on: Negative results, Replication studies, Reanalysis of previous datasets.
×
引用
GB/T 7714-2015
复制
MLA
复制
APA
复制
导出至
BibTeX EndNote RefMan NoteFirst NoteExpress
×
提示
您的信息不完整,为了账户安全,请先补充。
现在去补充
×
提示
您因"违规操作"
具体请查看互助需知
我知道了
×
提示
确定
请完成安全验证×
copy
已复制链接
快去分享给好友吧!
我知道了
右上角分享
点击右上角分享
0
联系我们:info@booksci.cn Book学术提供免费学术资源搜索服务,方便国内外学者检索中英文文献。致力于提供最便捷和优质的服务体验。 Copyright © 2023 布克学术 All rights reserved.
京ICP备2023020795号-1
ghs 京公网安备 11010802042870号
Book学术文献互助
Book学术文献互助群
群 号:604180095
Book学术官方微信