A case of HDR syndrome with recurrent matured ovarian teratomas.

IF 0.7 Q4 ENDOCRINOLOGY & METABOLISM
Ryizan Nizar, Louise Sarr, Tim Saunders, Waleed Elsayed, Arjun Joshi
{"title":"A case of HDR syndrome with recurrent matured ovarian teratomas.","authors":"Ryizan Nizar, Louise Sarr, Tim Saunders, Waleed Elsayed, Arjun Joshi","doi":"10.1530/EDM-24-0140","DOIUrl":null,"url":null,"abstract":"<p><strong>Summary: </strong>HDR syndrome is a rare, heterogeneous genetic disorder characterised by a triad of hypoparathyroidism, sensorineural deafness, and renal disease. The defect in most patients is caused by deletions in chromosome 10p14 or mutations in the GATA3 gene. HDR syndrome is also associated with several atypical features, including eye, skin, neurological, cardiac, gastrointestinal, and urogenital involvement. We report the case of a 27-year-old Caucasian woman with HDR syndrome (GATA3 NM_001002295.1: c.977C>A p. (Thr326Asn)), who presents with multiple atypical associated features. She has also had recurrent benign ovarian cystic teratomas, although it is unclear whether these are related to HDR syndrome, as this has never been reported.</p><p><strong>Learning points: </strong>HDR syndrome is a rare autosomal genetic disorder characterised by a triad of hypoparathyroidism, sensorineural deafness, and renal disease. It may be associated with atypical features involving various organs, which will require investigation and management. There is a paucity of evidence and guidance on managing hypocalcaemia in HDR syndrome. Given that HDR syndrome causes agenesis rather than a receptor issue, calcium levels should be targeted between 2.0 and 2.2 mmol/L, similar to the management of hypoparathyroidism caused by surgery or autoimmune disease.</p>","PeriodicalId":37467,"journal":{"name":"Endocrinology, Diabetes and Metabolism Case Reports","volume":"2025 3","pages":""},"PeriodicalIF":0.7000,"publicationDate":"2025-09-11","publicationTypes":"Journal Article","fieldsOfStudy":null,"isOpenAccess":false,"openAccessPdf":"https://www.ncbi.nlm.nih.gov/pmc/articles/PMC12435167/pdf/","citationCount":"0","resultStr":null,"platform":"Semanticscholar","paperid":null,"PeriodicalName":"Endocrinology, Diabetes and Metabolism Case Reports","FirstCategoryId":"1085","ListUrlMain":"https://doi.org/10.1530/EDM-24-0140","RegionNum":0,"RegionCategory":null,"ArticlePicture":[],"TitleCN":null,"AbstractTextCN":null,"PMCID":null,"EPubDate":"2025/7/1 0:00:00","PubModel":"Print","JCR":"Q4","JCRName":"ENDOCRINOLOGY & METABOLISM","Score":null,"Total":0}
引用次数: 0

Abstract

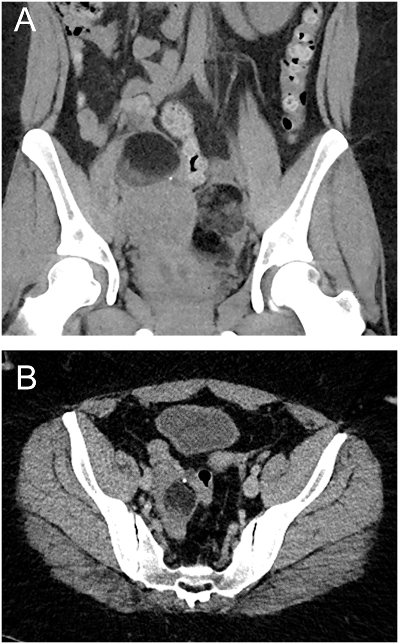
Summary: HDR syndrome is a rare, heterogeneous genetic disorder characterised by a triad of hypoparathyroidism, sensorineural deafness, and renal disease. The defect in most patients is caused by deletions in chromosome 10p14 or mutations in the GATA3 gene. HDR syndrome is also associated with several atypical features, including eye, skin, neurological, cardiac, gastrointestinal, and urogenital involvement. We report the case of a 27-year-old Caucasian woman with HDR syndrome (GATA3 NM_001002295.1: c.977C>A p. (Thr326Asn)), who presents with multiple atypical associated features. She has also had recurrent benign ovarian cystic teratomas, although it is unclear whether these are related to HDR syndrome, as this has never been reported.

Learning points: HDR syndrome is a rare autosomal genetic disorder characterised by a triad of hypoparathyroidism, sensorineural deafness, and renal disease. It may be associated with atypical features involving various organs, which will require investigation and management. There is a paucity of evidence and guidance on managing hypocalcaemia in HDR syndrome. Given that HDR syndrome causes agenesis rather than a receptor issue, calcium levels should be targeted between 2.0 and 2.2 mmol/L, similar to the management of hypoparathyroidism caused by surgery or autoimmune disease.

Abstract Image

Abstract Image

Abstract Image

HDR综合征合并复发性成熟卵巢畸胎瘤1例。
摘要:HDR综合征是一种罕见的异质性遗传疾病,以甲状旁腺功能减退、感音神经性耳聋和肾脏疾病为特征。大多数患者的缺陷是由染色体10p14缺失或GATA3基因突变引起的。HDR综合征还伴有一些非典型特征,包括眼睛、皮肤、神经、心脏、胃肠道和泌尿生殖器受累。我们报告一例27岁的高加索女性HDR综合征(GATA3 NM_001002295.1: c.977C> a p. (Thr326Asn)),其表现为多种非典型相关特征。她也有复发的良性卵巢囊性畸胎瘤,尽管尚不清楚这些是否与HDR综合征有关,因为从未有过报道。学习要点:HDR综合征是一种罕见的常染色体遗传疾病,以甲状旁腺功能减退、感音神经性耳聋和肾脏疾病为特征。它可能与涉及多个器官的非典型特征有关,这将需要调查和处理。在HDR综合征中管理低钙血症方面缺乏证据和指导。鉴于HDR综合征引起发育不全而不是受体问题,钙水平应控制在2.0 - 2.2 mmol/L之间,类似于手术或自身免疫性疾病引起的甲状旁腺功能低下的治疗。
本文章由计算机程序翻译,如有差异,请以英文原文为准。
求助全文
约1分钟内获得全文 求助全文
来源期刊
CiteScore
1.50
自引率
0.00%
发文量
142
审稿时长
9 weeks
期刊介绍: Endocrinology, Diabetes & Metabolism Case Reports publishes case reports on common and rare conditions in all areas of clinical endocrinology, diabetes and metabolism. Articles should include clear learning points which readers can use to inform medical education or clinical practice. The types of cases of interest to Endocrinology, Diabetes & Metabolism Case Reports include: -Insight into disease pathogenesis or mechanism of therapy - Novel diagnostic procedure - Novel treatment - Unique/unexpected symptoms or presentations of a disease - New disease or syndrome: presentations/diagnosis/management - Unusual effects of medical treatment - Error in diagnosis/pitfalls and caveats
×
引用
GB/T 7714-2015
复制
MLA
复制
APA
复制
导出至
BibTeX EndNote RefMan NoteFirst NoteExpress
×
提示
您的信息不完整,为了账户安全,请先补充。
现在去补充
×
提示
您因"违规操作"
具体请查看互助需知
我知道了
×
提示
确定
请完成安全验证×
copy
已复制链接
快去分享给好友吧!
我知道了
右上角分享
点击右上角分享
0
联系我们:info@booksci.cn Book学术提供免费学术资源搜索服务,方便国内外学者检索中英文文献。致力于提供最便捷和优质的服务体验。 Copyright © 2023 布克学术 All rights reserved.
京ICP备2023020795号-1
ghs 京公网安备 11010802042870号
Book学术文献互助
Book学术文献互助群
群 号:604180095
Book学术官方微信