Panhypophysitis and infundibulitis associated with granulomatosis with polyangiitis.

IF 0.7 Q4 ENDOCRINOLOGY & METABOLISM
Daniel Cuevas-Ramos, Miguel A Gómez-Sámano, Oliver A Velasco-Espinosa, Zazilnait Flores-Guerrero, Eduardo Porras-Topete, Jonathan de J Ulloa-Peregrina, Jacqueline I Reyes-Flores, Francisco J Gómez-Pérez
{"title":"Panhypophysitis and infundibulitis associated with granulomatosis with polyangiitis.","authors":"Daniel Cuevas-Ramos, Miguel A Gómez-Sámano, Oliver A Velasco-Espinosa, Zazilnait Flores-Guerrero, Eduardo Porras-Topete, Jonathan de J Ulloa-Peregrina, Jacqueline I Reyes-Flores, Francisco J Gómez-Pérez","doi":"10.1530/EDM-25-0019","DOIUrl":null,"url":null,"abstract":"<p><strong>Summary: </strong>A 39-year-old woman presented with a 5-year history of severe intermittent headaches, rhinitis, hemoptysis, unintentional weight loss of 40 kg over a year, and unilateral vision loss. Then, she noticed polyuria, amenorrhea, muscle weakness, and cold intolerance. Diagnosis of granulomatosis with polyangiitis (GPA) was confirmed with elevated c-ANCA levels and PR3-positive antibodies. Physical examination revealed hypotension, absence of pubic and axillary hair, and classical signs of hypothyroidism. The patient reported multiple previous hospitalizations due to episodes of hypernatremia, hypotension, and hypoglycemia. The biochemical evaluation showed early signs of chronic kidney disease and central adrenal, thyroid, and gonadotropin deficiencies. Pituitary MRI revealed a heterogeneous pituitary gland with peripheral enhancement, central necrosis, and extension to adjacent structures, as well as the absence of posterior pituitary bright spot on T1-weighted imaging. A diagnosis of GPA with pituitary involvement was established. Remission therapy with corticosteroids and rituximab was started. After disease control, pituitary hormonal deficiencies persisted, requiring long-term hormone replacement therapy.</p><p><strong>Learning points: </strong>Pituitary involvement in cases with GPA is a rare manifestation frequently misdiagnosed. It is important to be aware of hypophysitis as a GPA activity complication that warrants a prompt diagnostic approach and treatment. The pathophysiology of hypophysitis may be mediated by a granulomatous lesion or due to vascular damage. Pituitary dysfunction in GPA may occur at any moment, as an initial manifestation or as a concomitant syndrome together with other organ compromise. Deficiency of arginine vasopressin and central hypogonadism are the most frequent pituitary hormonal alterations. Pituitary dysfunction usually persists despite remission of systemic activity, requiring long-term hormone replacement therapy and surveillance.</p>","PeriodicalId":37467,"journal":{"name":"Endocrinology, Diabetes and Metabolism Case Reports","volume":"2025 3","pages":""},"PeriodicalIF":0.7000,"publicationDate":"2025-09-11","publicationTypes":"Journal Article","fieldsOfStudy":null,"isOpenAccess":false,"openAccessPdf":"https://www.ncbi.nlm.nih.gov/pmc/articles/PMC12435173/pdf/","citationCount":"0","resultStr":null,"platform":"Semanticscholar","paperid":null,"PeriodicalName":"Endocrinology, Diabetes and Metabolism Case Reports","FirstCategoryId":"1085","ListUrlMain":"https://doi.org/10.1530/EDM-25-0019","RegionNum":0,"RegionCategory":null,"ArticlePicture":[],"TitleCN":null,"AbstractTextCN":null,"PMCID":null,"EPubDate":"2025/7/1 0:00:00","PubModel":"Print","JCR":"Q4","JCRName":"ENDOCRINOLOGY & METABOLISM","Score":null,"Total":0}
引用次数: 0

Abstract

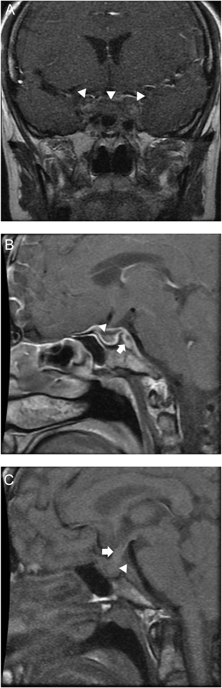
Summary: A 39-year-old woman presented with a 5-year history of severe intermittent headaches, rhinitis, hemoptysis, unintentional weight loss of 40 kg over a year, and unilateral vision loss. Then, she noticed polyuria, amenorrhea, muscle weakness, and cold intolerance. Diagnosis of granulomatosis with polyangiitis (GPA) was confirmed with elevated c-ANCA levels and PR3-positive antibodies. Physical examination revealed hypotension, absence of pubic and axillary hair, and classical signs of hypothyroidism. The patient reported multiple previous hospitalizations due to episodes of hypernatremia, hypotension, and hypoglycemia. The biochemical evaluation showed early signs of chronic kidney disease and central adrenal, thyroid, and gonadotropin deficiencies. Pituitary MRI revealed a heterogeneous pituitary gland with peripheral enhancement, central necrosis, and extension to adjacent structures, as well as the absence of posterior pituitary bright spot on T1-weighted imaging. A diagnosis of GPA with pituitary involvement was established. Remission therapy with corticosteroids and rituximab was started. After disease control, pituitary hormonal deficiencies persisted, requiring long-term hormone replacement therapy.

Learning points: Pituitary involvement in cases with GPA is a rare manifestation frequently misdiagnosed. It is important to be aware of hypophysitis as a GPA activity complication that warrants a prompt diagnostic approach and treatment. The pathophysiology of hypophysitis may be mediated by a granulomatous lesion or due to vascular damage. Pituitary dysfunction in GPA may occur at any moment, as an initial manifestation or as a concomitant syndrome together with other organ compromise. Deficiency of arginine vasopressin and central hypogonadism are the most frequent pituitary hormonal alterations. Pituitary dysfunction usually persists despite remission of systemic activity, requiring long-term hormone replacement therapy and surveillance.

Abstract Image

Abstract Image

肉芽肿伴多血管炎的全垂体炎和十二指肠炎。
摘要:一名39岁女性,有5年的严重间歇性头痛、鼻炎、咯血病史,一年内体重意外下降40公斤,单侧视力下降。然后,她注意到多尿、闭经、肌肉无力和不耐寒。c-ANCA水平升高和pr3抗体阳性证实肉芽肿病合并多血管炎(GPA)的诊断。体格检查显示低血压,阴毛和腋毛缺失,甲状腺功能减退的典型症状。患者报告因高钠血症、低血压和低血糖发作而多次住院。生化评估显示慢性肾脏疾病和中枢性肾上腺、甲状腺和促性腺激素缺乏的早期迹象。垂体MRI示垂体异质,外周增强,中央坏死,向邻近结构延伸,t1加权成像未见垂体后叶亮点。诊断为GPA伴垂体累及。开始使用皮质类固醇和利妥昔单抗进行缓解治疗。疾病控制后,垂体激素缺乏持续存在,需要长期激素替代治疗。学习要点:GPA累及垂体是一种罕见的表现,常被误诊。重要的是要意识到垂体炎是一种GPA活动性并发症,需要及时诊断和治疗。垂体炎的病理生理可能由肉芽肿病变或血管损伤介导。GPA患者的垂体功能障碍可能在任何时刻出现,作为初始表现或作为伴随综合征与其他器官损害。精氨酸抗利尿激素缺乏和中枢性性腺功能减退是最常见的垂体激素改变。垂体功能障碍通常持续存在,尽管全身活动缓解,需要长期激素替代治疗和监测。
本文章由计算机程序翻译,如有差异,请以英文原文为准。
求助全文
约1分钟内获得全文 求助全文
来源期刊
CiteScore
1.50
自引率
0.00%
发文量
142
审稿时长
9 weeks
期刊介绍: Endocrinology, Diabetes & Metabolism Case Reports publishes case reports on common and rare conditions in all areas of clinical endocrinology, diabetes and metabolism. Articles should include clear learning points which readers can use to inform medical education or clinical practice. The types of cases of interest to Endocrinology, Diabetes & Metabolism Case Reports include: -Insight into disease pathogenesis or mechanism of therapy - Novel diagnostic procedure - Novel treatment - Unique/unexpected symptoms or presentations of a disease - New disease or syndrome: presentations/diagnosis/management - Unusual effects of medical treatment - Error in diagnosis/pitfalls and caveats
×
引用
GB/T 7714-2015
复制
MLA
复制
APA
复制
导出至
BibTeX EndNote RefMan NoteFirst NoteExpress
×
提示
您的信息不完整,为了账户安全,请先补充。
现在去补充
×
提示
您因"违规操作"
具体请查看互助需知
我知道了
×
提示
确定
请完成安全验证×
copy
已复制链接
快去分享给好友吧!
我知道了
右上角分享
点击右上角分享
0
联系我们:info@booksci.cn Book学术提供免费学术资源搜索服务,方便国内外学者检索中英文文献。致力于提供最便捷和优质的服务体验。 Copyright © 2023 布克学术 All rights reserved.
京ICP备2023020795号-1
ghs 京公网安备 11010802042870号
Book学术文献互助
Book学术文献互助群
群 号:604180095
Book学术官方微信