Rare Pituitary Metastasis from Adenocarcinoma of Right Lung in 18F FDG PET/CT.

IF 0.5 Q4 RADIOLOGY, NUCLEAR MEDICINE & MEDICAL IMAGING
Indian Journal of Nuclear Medicine Pub Date : 2025-05-01 Epub Date: 2025-08-07 DOI:10.4103/ijnm.ijnm_25_25
Srijani Mandal, T Kishan Subudhi, Santosh C Kannur, Girish Kumar Parida, Manoj Kumar Nayak, P Sai Sradha Patro, Kanhaiyalal Agrawal
{"title":"Rare Pituitary Metastasis from Adenocarcinoma of Right Lung in <sup>18</sup>F FDG PET/CT.","authors":"Srijani Mandal, T Kishan Subudhi, Santosh C Kannur, Girish Kumar Parida, Manoj Kumar Nayak, P Sai Sradha Patro, Kanhaiyalal Agrawal","doi":"10.4103/ijnm.ijnm_25_25","DOIUrl":null,"url":null,"abstract":"<p><p>Lung cancer is the leading cause of cancer and cancer-related deaths, and India ranks the fourth highest country. Lung cancer is a highly aggressive malignancy with a tendency for rapid progression, making early detection and prompt treatment essential for improving patient outcomes. Lung cancer can spread locally into surrounding tissue as well as travel through lymphatics to other parts of the body, most often to bone, brain, liver, and adrenal glands. Metastasis to pituitary and pineal glands is extremely rare. The differential diagnosis for pituitary metastasis could be pituitary adenoma where lesion usually lies at the anterior aspect of pituitary fossa, whereas metastasis is seen at the posterior aspect. There is a paucity of published literature, with only a few cases reported of pituitary and pineal gland metastasis. Hence, to add to the literature, we present a case of pituitary metastasis in an older woman with lung cancer.</p>","PeriodicalId":45830,"journal":{"name":"Indian Journal of Nuclear Medicine","volume":"40 3","pages":"178-180"},"PeriodicalIF":0.5000,"publicationDate":"2025-05-01","publicationTypes":"Journal Article","fieldsOfStudy":null,"isOpenAccess":false,"openAccessPdf":"https://www.ncbi.nlm.nih.gov/pmc/articles/PMC12416595/pdf/","citationCount":"0","resultStr":null,"platform":"Semanticscholar","paperid":null,"PeriodicalName":"Indian Journal of Nuclear Medicine","FirstCategoryId":"1085","ListUrlMain":"https://doi.org/10.4103/ijnm.ijnm_25_25","RegionNum":0,"RegionCategory":null,"ArticlePicture":[],"TitleCN":null,"AbstractTextCN":null,"PMCID":null,"EPubDate":"2025/8/7 0:00:00","PubModel":"Epub","JCR":"Q4","JCRName":"RADIOLOGY, NUCLEAR MEDICINE & MEDICAL IMAGING","Score":null,"Total":0}
引用次数: 0

Abstract

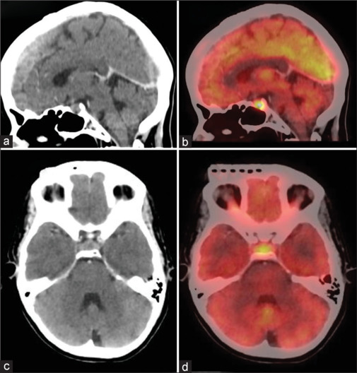
Lung cancer is the leading cause of cancer and cancer-related deaths, and India ranks the fourth highest country. Lung cancer is a highly aggressive malignancy with a tendency for rapid progression, making early detection and prompt treatment essential for improving patient outcomes. Lung cancer can spread locally into surrounding tissue as well as travel through lymphatics to other parts of the body, most often to bone, brain, liver, and adrenal glands. Metastasis to pituitary and pineal glands is extremely rare. The differential diagnosis for pituitary metastasis could be pituitary adenoma where lesion usually lies at the anterior aspect of pituitary fossa, whereas metastasis is seen at the posterior aspect. There is a paucity of published literature, with only a few cases reported of pituitary and pineal gland metastasis. Hence, to add to the literature, we present a case of pituitary metastasis in an older woman with lung cancer.

Abstract Image

Abstract Image

Abstract Image

罕见右肺腺癌垂体转移的18F - FDG PET/CT表现。
肺癌是癌症和癌症相关死亡的主要原因,印度排名第四。肺癌是一种高度侵袭性的恶性肿瘤,具有快速进展的趋势,因此早期发现和及时治疗对于改善患者预后至关重要。肺癌可以局部扩散到周围组织,也可以通过淋巴管传播到身体的其他部位,最常见的是骨骼、大脑、肝脏和肾上腺。转移到垂体和松果体是极为罕见的。垂体转移的鉴别诊断可为垂体腺瘤,其病变通常位于垂体窝前部,而转移见于垂体窝后部。目前文献报道较少,仅有少数垂体和松果体转移的病例报道。因此,为了增加文献,我们提出一个老年妇女肺癌垂体转移的病例。
本文章由计算机程序翻译,如有差异,请以英文原文为准。
求助全文
约1分钟内获得全文 求助全文
来源期刊
Indian Journal of Nuclear Medicine
Indian Journal of Nuclear Medicine RADIOLOGY, NUCLEAR MEDICINE & MEDICAL IMAGING-
CiteScore
0.70
自引率
0.00%
发文量
46
×
引用
GB/T 7714-2015
复制
MLA
复制
APA
复制
导出至
BibTeX EndNote RefMan NoteFirst NoteExpress
×
提示
您的信息不完整,为了账户安全,请先补充。
现在去补充
×
提示
您因"违规操作"
具体请查看互助需知
我知道了
×
提示
确定
请完成安全验证×
copy
已复制链接
快去分享给好友吧!
我知道了
右上角分享
点击右上角分享
0
联系我们:info@booksci.cn Book学术提供免费学术资源搜索服务,方便国内外学者检索中英文文献。致力于提供最便捷和优质的服务体验。 Copyright © 2023 布克学术 All rights reserved.
京ICP备2023020795号-1
ghs 京公网安备 11010802042870号
Book学术文献互助
Book学术文献互助群
群 号:604180095
Book学术官方微信