Echocardiographic assessment of left ventricular function in mules under general anesthesia induced with a high-dose xylazine-based protocol.

IF 2 Q2 AGRICULTURE, DAIRY & ANIMAL SCIENCE
Veterinary World Pub Date : 2025-07-01 Epub Date: 2025-07-17 DOI:10.14202/vetworld.2025.1936-1943
Pannawat Puangsubsin, Ashannut Isawirodom, Porrakote Rungsri, Nuttapon Satumay, Aree Laikul, Worakij Cherdchutham
{"title":"Echocardiographic assessment of left ventricular function in mules under general anesthesia induced with a high-dose xylazine-based protocol.","authors":"Pannawat Puangsubsin, Ashannut Isawirodom, Porrakote Rungsri, Nuttapon Satumay, Aree Laikul, Worakij Cherdchutham","doi":"10.14202/vetworld.2025.1936-1943","DOIUrl":null,"url":null,"abstract":"<p><strong>Background and aim: </strong>Echocardiographic assessment in equines is typically performed on standing animals; however, no studies have evaluated left ventricular function in anesthetized mules using high-dose xylazine. Given the unique pharmacokinetics in mules and their higher anesthetic requirements, this study aimed to assess the effects of acepromazine-xylazine-diazepam-ketamine anesthesia, using the upper limit xylazine dose (1.6 mg/kg), on the left ventricular size and function in mules.</p><p><strong>Materials and methods: </strong>Six healthy adult mules (18.83 ± 0.75 years; 263.83 ± 39.34 kg) were evaluated using standard two-dimensional and M-mode transthoracic echocardiography. Measurements were obtained before sedation (standing) and 13-min post-anesthetic induction (dorsal recumbency). Each mule received an intravenous injection of acepromazine (0.04 mg/kg), xylazine (1.6 mg/kg), diazepam (0.1 mg/kg), and ketamine (2.2 mg/kg). Key echocardiographic parameters included interventricular septum thickness (interventricular septum in diastole and interventricular septum in systole), left ventricular internal diameters (left ventricular internal diameter in diastole and left ventricular internal diameter in systole [LVIDs]), posterior wall thickness (left ventricular posterior wall in diastole and left ventricular posterior wall in systole), ejection fraction (EF), and fractional shortening (FS). Statistical comparisons were made using paired t-tests and Wilcoxon signed-rank tests (p < 0.05).</p><p><strong>Results: </strong>Heart rate, EF, and FS significantly decreased post-anesthesia (p < 0.01), indicating reduced systolic function. Specifically, LVIDs increased from 4.60 ± 0.65 cm to 6.26 ± 0.48 cm (p < 0.01), while no significant changes were observed in diastolic parameters or respiratory rate. Anesthetic induction was smooth and graded as good to excellent in all cases.</p><p><strong>Conclusion: </strong>High-dose xylazine significantly suppressed systolic cardiac function in anesthetized mules without causing arrhythmias or bradyarrhythmia. The combination protocol was effective and provided safe anesthesia induction, with echocardiography proving feasible under dorsal recumbency. These findings support the cautious use of upper-limit xylazine dosing in mules and suggest echocardiographic monitoring as a valuable tool during anesthesia.</p>","PeriodicalId":23587,"journal":{"name":"Veterinary World","volume":"18 7","pages":"1936-1943"},"PeriodicalIF":2.0000,"publicationDate":"2025-07-01","publicationTypes":"Journal Article","fieldsOfStudy":null,"isOpenAccess":false,"openAccessPdf":"https://www.ncbi.nlm.nih.gov/pmc/articles/PMC12415125/pdf/","citationCount":"0","resultStr":null,"platform":"Semanticscholar","paperid":null,"PeriodicalName":"Veterinary World","FirstCategoryId":"1085","ListUrlMain":"https://doi.org/10.14202/vetworld.2025.1936-1943","RegionNum":0,"RegionCategory":null,"ArticlePicture":[],"TitleCN":null,"AbstractTextCN":null,"PMCID":null,"EPubDate":"2025/7/17 0:00:00","PubModel":"Epub","JCR":"Q2","JCRName":"AGRICULTURE, DAIRY & ANIMAL SCIENCE","Score":null,"Total":0}
引用次数: 0

Abstract

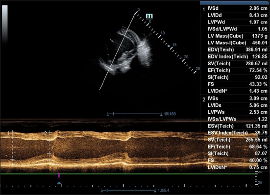
Background and aim: Echocardiographic assessment in equines is typically performed on standing animals; however, no studies have evaluated left ventricular function in anesthetized mules using high-dose xylazine. Given the unique pharmacokinetics in mules and their higher anesthetic requirements, this study aimed to assess the effects of acepromazine-xylazine-diazepam-ketamine anesthesia, using the upper limit xylazine dose (1.6 mg/kg), on the left ventricular size and function in mules.

Materials and methods: Six healthy adult mules (18.83 ± 0.75 years; 263.83 ± 39.34 kg) were evaluated using standard two-dimensional and M-mode transthoracic echocardiography. Measurements were obtained before sedation (standing) and 13-min post-anesthetic induction (dorsal recumbency). Each mule received an intravenous injection of acepromazine (0.04 mg/kg), xylazine (1.6 mg/kg), diazepam (0.1 mg/kg), and ketamine (2.2 mg/kg). Key echocardiographic parameters included interventricular septum thickness (interventricular septum in diastole and interventricular septum in systole), left ventricular internal diameters (left ventricular internal diameter in diastole and left ventricular internal diameter in systole [LVIDs]), posterior wall thickness (left ventricular posterior wall in diastole and left ventricular posterior wall in systole), ejection fraction (EF), and fractional shortening (FS). Statistical comparisons were made using paired t-tests and Wilcoxon signed-rank tests (p < 0.05).

Results: Heart rate, EF, and FS significantly decreased post-anesthesia (p < 0.01), indicating reduced systolic function. Specifically, LVIDs increased from 4.60 ± 0.65 cm to 6.26 ± 0.48 cm (p < 0.01), while no significant changes were observed in diastolic parameters or respiratory rate. Anesthetic induction was smooth and graded as good to excellent in all cases.

Conclusion: High-dose xylazine significantly suppressed systolic cardiac function in anesthetized mules without causing arrhythmias or bradyarrhythmia. The combination protocol was effective and provided safe anesthesia induction, with echocardiography proving feasible under dorsal recumbency. These findings support the cautious use of upper-limit xylazine dosing in mules and suggest echocardiographic monitoring as a valuable tool during anesthesia.

Abstract Image

Abstract Image

Abstract Image

超声心动图评价以大剂量噻嗪为基础的方案诱导全身麻醉的骡子左心室功能。
背景和目的:马的超声心动图评估通常是在站立动物上进行的;然而,没有研究评估使用大剂量噻嗪麻醉小鼠的左心室功能。考虑到骡子体内独特的药代动力学和较高的麻醉需求,本研究旨在评估乙酰丙嗪-羟嗪-地西泮-氯胺酮麻醉对骡子左心室大小和功能的影响,使用羟嗪上限剂量(1.6 mg/kg)。材料与方法:对6头成年健康骡子(18.83±0.75岁;263.83±39.34 kg)进行标准二维及m型经胸超声心动图评价。在镇静前(站立)和麻醉诱导后13分钟(仰卧)测量。每头骡子静脉注射乙酰丙嗪(0.04 mg/kg)、噻嗪(1.6 mg/kg)、地西泮(0.1 mg/kg)和氯胺酮(2.2 mg/kg)。超声心动图主要参数包括室间隔厚度(舒张期室间隔和收缩期室间隔)、左心室内径(舒张期左心室内径和收缩期左心室内径[LVIDs])、后壁厚度(舒张期左心室后壁和收缩期左心室后壁)、射血分数(EF)、缩短分数(FS)。采用配对t检验和Wilcoxon符号秩检验进行统计学比较(p < 0.05)。结果:麻醉后心率、EF、FS明显降低(p < 0.01),提示收缩功能降低。其中LVIDs由4.60±0.65 cm增加至6.26±0.48 cm (p < 0.01),而舒张参数和呼吸频率无明显变化。麻醉诱导顺利,所有病例均分为好至优。结论:大剂量噻嗪能明显抑制麻醉小鼠的收缩期心功能,但未引起心律失常或缓性心律失常。联合方案是有效的,提供了安全的麻醉诱导,超声心动图证实了在背部仰卧下是可行的。这些发现支持在骡子中谨慎使用上限剂量,并建议超声心动图监测作为麻醉期间有价值的工具。
本文章由计算机程序翻译,如有差异,请以英文原文为准。
求助全文
约1分钟内获得全文 求助全文
来源期刊
Veterinary World
Veterinary World Multiple-
CiteScore
3.60
自引率
12.50%
发文量
317
审稿时长
16 weeks
期刊介绍: Veterinary World publishes high quality papers focusing on Veterinary and Animal Science. The fields of study are bacteriology, parasitology, pathology, virology, immunology, mycology, public health, biotechnology, meat science, fish diseases, nutrition, gynecology, genetics, wildlife, laboratory animals, animal models of human infections, prion diseases and epidemiology. Studies on zoonotic and emerging infections are highly appreciated. Review articles are highly appreciated. All articles published by Veterinary World are made freely and permanently accessible online. All articles to Veterinary World are posted online immediately as they are ready for publication.
×
引用
GB/T 7714-2015
复制
MLA
复制
APA
复制
导出至
BibTeX EndNote RefMan NoteFirst NoteExpress
×
提示
您的信息不完整,为了账户安全,请先补充。
现在去补充
×
提示
您因"违规操作"
具体请查看互助需知
我知道了
×
提示
确定
请完成安全验证×
copy
已复制链接
快去分享给好友吧!
我知道了
右上角分享
点击右上角分享
0
联系我们:info@booksci.cn Book学术提供免费学术资源搜索服务,方便国内外学者检索中英文文献。致力于提供最便捷和优质的服务体验。 Copyright © 2023 布克学术 All rights reserved.
京ICP备2023020795号-1
ghs 京公网安备 11010802042870号
Book学术文献互助
Book学术文献互助群
群 号:604180095
Book学术官方微信