Telomere biology disorder associated lung disease- case report of a TERT gene variant as the cause of pleuroparenchymal fibroelastosis.

IF 2.3 3区 医学 Q2 RESPIRATORY SYSTEM
Chronic Respiratory Disease Pub Date : 2025-01-01 Epub Date: 2025-09-10 DOI:10.1177/14799731251370357
Julian Pott, Ann-Sophie Höing, Alexander Volk, Lennart Well, Fabian Beier, Dirk Lebrecht, Lars Harbaum, Hans Klose, Tim Oqueka
{"title":"Telomere biology disorder associated lung disease- case report of a <i>TERT</i> gene variant as the cause of pleuroparenchymal fibroelastosis.","authors":"Julian Pott, Ann-Sophie Höing, Alexander Volk, Lennart Well, Fabian Beier, Dirk Lebrecht, Lars Harbaum, Hans Klose, Tim Oqueka","doi":"10.1177/14799731251370357","DOIUrl":null,"url":null,"abstract":"<p><p>Case presentationDescription of a patient with a progressive destructive lung disease resembling pleuroparenchymal fibroelastosis, liver cirrhosis and bone marrow changes. Genetic workup identified a rare heterozygous coding variant in the <i>TERT</i> (telomerase reverse transcriptase) gene c.472 C>T; p.(Leu158Phe) and telomere length testing revealed significant telomere shortening, supporting the diagnosis of telomere biology disorder (TBD).DiscussionTBD is an underrecognized cause of interstitial lung disease (ILD). It is a heterogeneous disease that can affect different organs, including lungs, liver and bone marrow. Genetic testing in ILD is crucial for early diagnosis, risk assessment, and family screening. Identifying this variant enables targeted genetic testing for relatives, allowing preventive measures and lifestyle modifications.</p>","PeriodicalId":10217,"journal":{"name":"Chronic Respiratory Disease","volume":"22 ","pages":"14799731251370357"},"PeriodicalIF":2.3000,"publicationDate":"2025-01-01","publicationTypes":"Journal Article","fieldsOfStudy":null,"isOpenAccess":false,"openAccessPdf":"https://www.ncbi.nlm.nih.gov/pmc/articles/PMC12423533/pdf/","citationCount":"0","resultStr":null,"platform":"Semanticscholar","paperid":null,"PeriodicalName":"Chronic Respiratory Disease","FirstCategoryId":"3","ListUrlMain":"https://doi.org/10.1177/14799731251370357","RegionNum":3,"RegionCategory":"医学","ArticlePicture":[],"TitleCN":null,"AbstractTextCN":null,"PMCID":null,"EPubDate":"2025/9/10 0:00:00","PubModel":"Epub","JCR":"Q2","JCRName":"RESPIRATORY SYSTEM","Score":null,"Total":0}
引用次数: 0

Abstract

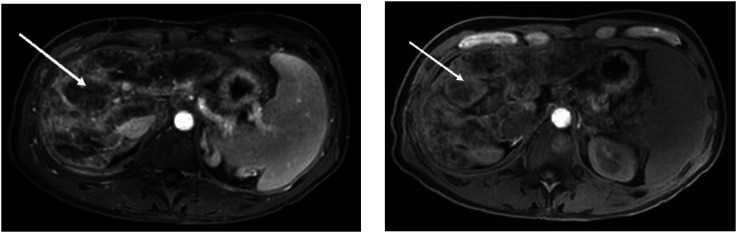
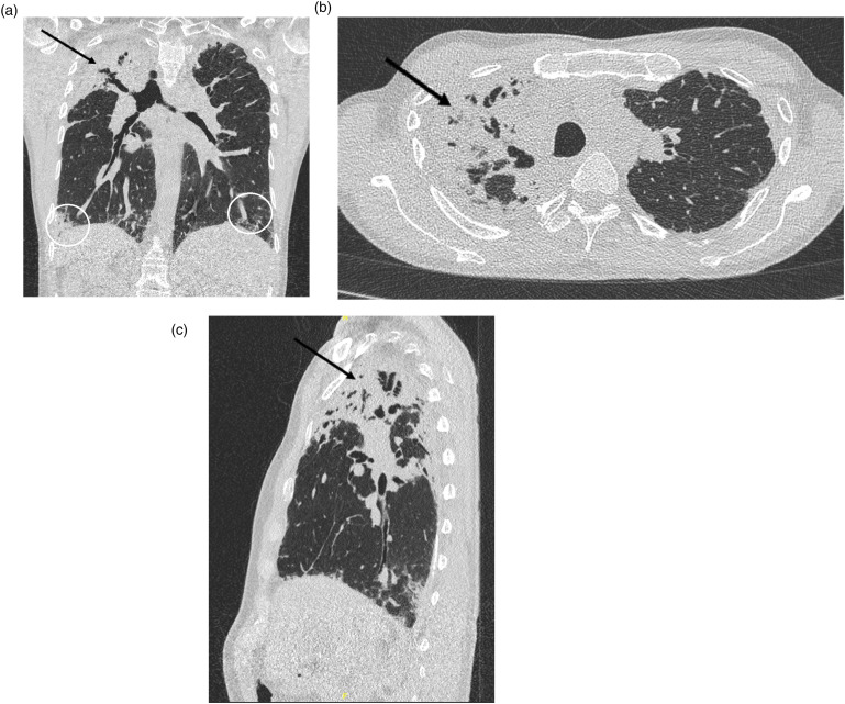
Case presentationDescription of a patient with a progressive destructive lung disease resembling pleuroparenchymal fibroelastosis, liver cirrhosis and bone marrow changes. Genetic workup identified a rare heterozygous coding variant in the TERT (telomerase reverse transcriptase) gene c.472 C>T; p.(Leu158Phe) and telomere length testing revealed significant telomere shortening, supporting the diagnosis of telomere biology disorder (TBD).DiscussionTBD is an underrecognized cause of interstitial lung disease (ILD). It is a heterogeneous disease that can affect different organs, including lungs, liver and bone marrow. Genetic testing in ILD is crucial for early diagnosis, risk assessment, and family screening. Identifying this variant enables targeted genetic testing for relatives, allowing preventive measures and lifestyle modifications.

Abstract Image

Abstract Image

端粒生物学紊乱相关肺部疾病——TERT基因变异引起胸膜实质纤维弹性增生的病例报告。
病例描述:一例进行性肺损害,类似于胸膜实质纤维弹性增生、肝硬化和骨髓改变。遗传检查在TERT(端粒酶逆转录酶)基因c.472中发现了一个罕见的杂合编码变异C > T;p.(Leu158Phe)和端粒长度检测显示端粒明显缩短,支持端粒生物学障碍(TBD)的诊断。tbd是间质性肺疾病(ILD)的一种未被充分认识的病因。它是一种异质性疾病,可影响不同的器官,包括肺、肝和骨髓。ILD的基因检测对于早期诊断、风险评估和家庭筛查至关重要。识别这种变异可以对亲属进行有针对性的基因检测,从而采取预防措施和改变生活方式。
本文章由计算机程序翻译,如有差异,请以英文原文为准。
求助全文
约1分钟内获得全文 求助全文
来源期刊
Chronic Respiratory Disease
Chronic Respiratory Disease RESPIRATORY SYSTEM-
CiteScore
5.90
自引率
7.30%
发文量
47
审稿时长
11 weeks
期刊介绍: Chronic Respiratory Disease is a peer-reviewed, open access, scholarly journal, created in response to the rising incidence of chronic respiratory diseases worldwide. It publishes high quality research papers and original articles that have immediate relevance to clinical practice and its multi-disciplinary perspective reflects the nature of modern treatment. The journal provides a high quality, multi-disciplinary focus for the publication of original papers, reviews and commentary in the broad area of chronic respiratory disease, particularly its treatment and management.
×
引用
GB/T 7714-2015
复制
MLA
复制
APA
复制
导出至
BibTeX EndNote RefMan NoteFirst NoteExpress
×
提示
您的信息不完整,为了账户安全,请先补充。
现在去补充
×
提示
您因"违规操作"
具体请查看互助需知
我知道了
×
提示
确定
请完成安全验证×
copy
已复制链接
快去分享给好友吧!
我知道了
右上角分享
点击右上角分享
0
联系我们:info@booksci.cn Book学术提供免费学术资源搜索服务,方便国内外学者检索中英文文献。致力于提供最便捷和优质的服务体验。 Copyright © 2023 布克学术 All rights reserved.
京ICP备2023020795号-1
ghs 京公网安备 11010802042870号
Book学术文献互助
Book学术文献互助群
群 号:604180095
Book学术官方微信